
赵志新
浙江省台州医院
神经外科副主任,脑血管介入组组长,副主任医师,硕士
浙江省卒中学会青年理事
浙江省医学会介入委员会青年委员
浙江省医师协会神经介入委员会青年委员
浙江省医师协会数字医学专业委员会委员
浙江省神经科学学会神经介入科学与技术专业委员会委员
擅长颅内动脉瘤的介入治疗、硬脑膜动静脉瘘的介入治疗、颅内狭窄的介入治疗、颅内动静脉畸形的介入治疗等,其中颅内动脉瘤的介入治疗已完成约2000例
患者女性,70岁。
主诉:检查发现颅内动脉瘤8天。
查体:GCS评分15分,意识清楚,言语清晰,余查体未见明显异常。
诊断:颅内动脉瘤(后交通段右侧)
1.颈内动脉后交通段动脉瘤,同时存在胚胎型大脑后动脉自瘤体发出,一直是介入栓塞治疗的难点,普通支架+弹簧圈栓塞技术,介入操作复杂、治疗困难。
2.血流导向密网支架,其通过改变血流动力学,减少动脉瘤内血流,降低复发率,同时避免胚胎型大脑后动脉的闭塞。
3.综合评估患者病情及动脉瘤位置、大小、形态,拟行FRED®血流导向密网支架置入术。
6F 90cm 长鞘
6F 115cm 中间导管
14 200cm 微导丝
Headway™ 27 156cm 微导管(支架微导管)
FRED 4012血流导向密网支架
围手术期管理
1.术前双抗,拜阿司匹林100mg,氯吡格雷75mg,每天一次,术前口服5天。
2.术后静脉泵注替罗非班4ml/h,泵至术后24小时。
3.术后口服双抗3个月,阿司匹林口服1年。
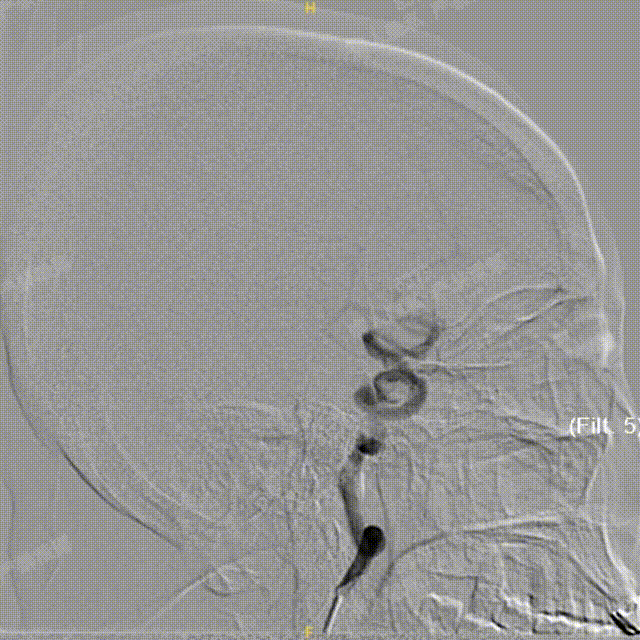
术中DSA造影:右侧颈内动脉侧位及3D造影,显示右侧颈内动脉后交通段动脉瘤。



术中DSA造影:左侧颈总动脉3D造影及左侧锁骨下正位造影。


Headway™ 27 156cm微导管内输送FRED 4012血流导向密网支架,系统远端精准定位于预计着陆区远端,回撤微导管原位释放支架,头端即刻打开且锚定牢固后,继续原位释放支架。


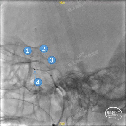
正位
①输送导丝头端
②支架远端扩口显影点
③工作区螺旋显影丝
④支架近端扩口显影点
平衡释放支架中段,过弯时确保系统头端处于血管中央,观察到支架自膨打开后,轻推支架以保证支架贴壁。确定近端着陆点处于血管平直区且贴壁良好后,平衡释放支架末端并解脱。


工作角度
①输送导丝头端
②支架远端扩口显影点
③工作区螺旋显影丝
④支架近端扩口显影点
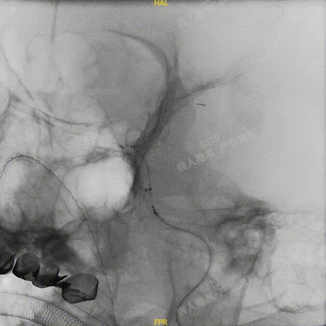
正、侧位造影观察,载瘤动脉通畅、支架贴壁良好、动脉瘤内造影剂滞留。


工作角度、侧位造影CT复查结果观察,载瘤动脉通畅、支架贴壁良好、动脉瘤内造影剂滞留,颅内未见明显异常。



患者女性,64岁。
主诉:视物双影1月余。
查体:GCS评分15分,意识清楚,言语清晰,余查体未见明显异常。
诊断:颅内动脉瘤(海绵窦段右侧)
1.颈内动脉海绵窦段巨大动脉瘤复发概率高,一直是介入栓塞治疗的难点,普通支架+弹簧圈栓塞技术复发概率偏高。血流导向密网支架对于颈内动脉未破裂宽颈动脉瘤中型、大型/巨大型动脉瘤,具有非常高的有效性及安全性(血流导向装置治疗颅内动脉瘤中国指南:Ⅰ级推荐,B级证据)。
2.血流导向密网支架,其通过改变血流动力学,减少动脉瘤内血流,提供内皮细胞爬行的“脚手架”修复瘤颈处载瘤动脉缺损处,降低复发率。
3.综合评估患者病情及动脉瘤位置、大小、形态,拟行FRED®血流导向密网支架置入术。
6F 90cm 长鞘
6F 115cm 中间导管
14 200cm 微导丝
Headway™ 27 156cm 微导管(支架微导管)
微导管
FRED 5514血流导向密网支架
1.术前双抗,拜阿司匹林100mg,氯吡格雷75mg,每天一次,术前口服5天。
2.术后静脉泵注替罗非班3ml/h,泵至术后24小时。
3.术后口服双抗3个月,阿司匹林口服1年。
术中DSA造影:右侧颈内动脉工作角度及3D造影,显示右侧颈内动脉海绵窦段动脉瘤。


术中DSA造影:左侧颈总动脉3D造影及左侧椎动脉正位造影。


微导管超选入动脉瘤腔内,通过微导管使用弹簧圈填塞动脉瘤腔。


工作角度
Headway™ 27 156cm微导管内输送FRED 5514血流导向密网支架,系统远端精准定位于预计着陆区以远2-3mm,回撤微导管原位释放支架,头端锚定在颈内眼动脉段。继续原位释放支架,注意保证微导管头端在释放过程中位于血管中央。


正位
①输送导丝头端
②支架远端显影点
③工作段螺旋显影丝
④支架近端显影点
完全释放FRED 5514血流导向密网支架,正、侧位造影及术后CT复查结果观察,载瘤动脉通畅、支架贴壁良好、动脉瘤内造影剂滞留、颅内未见明显异常。



患者女性,75岁。
主诉:体检发现颅内动脉瘤1天。
查体:GCS评分15分,意识清楚,言语清晰,余查体未见明显异常。
诊断:颅内动脉瘤(后交通段左侧)
1.颈内动脉后交通段动脉瘤,同时存在胚胎型大脑后动脉自瘤体发出,一直是介入栓塞治疗的难点,普通支架+弹簧圈栓塞技术,介入操作复杂、治疗困难。
2.血流导向密网支架,其通过改变血流动力学,减少动脉瘤内血流,降低复发率,同时避免胚胎型大脑后动脉的闭塞。
3.综合评估患者病情及动脉瘤位置、大小、形态,拟行FRED®血流导向密网支架置入术。
6F 90cm 长鞘
6F 115cm 中间导管
14 200cm 微导丝
Headway™ 27 156cm 微导管(支架微导管)
FRED 4518血流导向密网支架
1.术前双抗,拜阿司匹林100mg,氯吡格雷75mg,每天一次,术前口服5天。
2.术后静脉泵注替罗非班3ml/h,泵至术后24小时。
3.术后口服双抗3个月,阿司匹林口服1年。
手术过程
术中DSA造影:左侧颈内动脉正、侧位及3D造影,显示左侧颈内动脉后交通段动脉瘤。


术中DSA造影:右侧颈总动脉3D造影及右侧锁骨下正位造影。


Headway™ 27 156cm微导管内输送FRED 4518血流导向密网支架,系统远端精准定位于预计着陆区以远3-5mm,回撤微导管原位释放支架,头端锚定在颈内末端处。


正位
①输送导丝头端
②支架远端扩口显影点
③有效段起始点
④支架近端扩口显影点
确认支架远端定位于计划位置,预估近端可完全覆盖动脉瘤颈,且锚定距离充足。继续平衡释放系统,确保支架整体充分打开且贴壁良好后,解脱支架。


工作角度
①支架远端扩口显影点
②有效段螺旋显影丝
③支架近端扩口显影点
造影确认,载瘤动脉通畅、支架远端分支血流通畅、支架贴壁良好、动脉瘤内造影剂滞留。
撤出支架系统,无需后处理按摩。

正、侧位造影及术后CT复查结果观察,载瘤动脉通畅、支架贴壁良好、动脉瘤内造影剂滞留、颅内未见明显异常。



FRED®血流导向密网支架的双层设计实现自膨打开,释放全程无需反复推拉甩动,减少支架对血管内壁的摩擦和损伤。同时顺应性极佳,无需依赖后处理即实现整体贴壁优秀,大幅简化密网支架释放操作。
FRED®血流导向密网支架两端的无效段扩口设计,可以在保障锚定稳固的同时,避免覆盖重要的血管分支。释放过程中,远端不易短缩,真正实现精准定位的原位释放。
声明:脑医汇旗下神外资讯、神介资讯、脑医咨询、Ai Brain 所发表内容之知识产权为脑医汇及主办方、原作者等相关权利人所有。
投稿邮箱:NAOYIHUI@163.com
未经许可,禁止进行转载、摘编、复制、裁切、录制等。经许可授权使用,亦须注明来源。欢迎转发、分享。
投稿/会议发布,请联系400-888-2526转3。





