作者:南阳市中心医院神经内科脑血管病介入二病区 苏宁 孙军 汪宁 温昌明 张在行 郭彦俊 郭仕乾 郭元展 邱星辰
目前已有多项RCT研究证明了颅内动脉粥样硬化狭窄(ICAS)行血管内治疗的有效性,包括2011年SAMMPRIS研究(北美,NEJM1);2015年VISSIT研究(国际协作,JAMA2);2022年CASSISS研究(中国宣武,JAMA3)。
但这些试验所涉及的治疗往往指向4个“典型部位”,即颅内一级大动脉粥样硬化性病变,包括:椎动脉颅内段、基底动脉、大脑中动脉M1段、颈内动脉颅内段。

而颅内动脉的二级分支,如症状性大脑前动脉A1/A2/A3段等部位狭窄,治疗仍存争议或空白,主要原因在于:发病率及死亡率低;缺乏二级血管介入证据;治疗指征:药物无效?一定要≥2次卒中?血管直径小,治疗策略:支架or单纯球囊扩张(PTA)?因此,最佳方案尚存争议。
此外,从解剖角度考虑,ACA介入治疗存在诸多挑战,主要来自于:ACA直径小:A1段直径0.9-4.0mm,平均2.6mm;而MCA M1段直径2.5-4.0mm,平均3mm);A1段走形成角度锐利,甚至扭曲、倾斜;A1段的解剖变化也较大,常见A1段发育低、缺如以及开窗。这些解剖学因素致使ACA病变导丝/球囊到位困难,导丝操控性差,容易造成血管痉挛/破裂。

近年来,随着脑血管介入治疗材料和技术的进步,现已能将球囊和支架输送至更远和更迂曲的颅内血管,一些小样本研究表明,ACA的介入治疗是可行的。
近期我科对一例症状性大脑中动脉狭窄合并大脑前动脉狭窄的患者行介入治疗,现分享如下。
病例分享
患者,杨XX,39岁,男性,以“突发左侧肢体麻木无力10天余,加重1天”为主诉入院。
既往高血压病、长期加班熬夜史。
入院神经科查体见:左侧肢体肌力4级、左侧肢体浅感觉减弱,左侧病理征阳性。
外院头颅MRI:右侧大脑半球多发散在急性脑梗死。

外院头颅MRA:右侧MCA、ACA重度狭窄。

入院后完善头颈部CTA检查:右侧MCA重度狭窄,双侧ACA共干,左侧A1缺如,右侧A2重度狭窄。


给予抗血小板聚集、调脂、稳定斑块、营养神经、改善循环、调控血压等对症支持治疗后症状较前好转。
根据《症状性颅内动脉粥样硬化性狭窄血管内治疗中国专家共识2022》择期行血管内介入治疗。

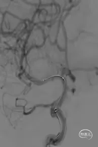
DSA提示右侧MCA、ACA重度狭窄。




全麻下行右侧ACA、MCA球囊扩张支架植入术。
Synchro-14 300cm微导丝到位。

白驹颅内球囊扩张导管 2.0*10mm到位。

球囊扩张后管腔较前明显好转。

Enterprise-2 4.0mm*16mm支架植入。

造影见支架贴壁良好,血流通畅。

Synchro-14 300cm微导丝到位。

白驹颅内球囊扩张导管 2.0*15mm到位。

球囊扩张后管腔较前好转。

Enterprise-2 4.0mm*23mm支架释放。

正侧位造影提示管腔较前明显好转,支架贴壁良好,内血流通畅。


患者术后无明显不适,好转出院。
术者体会
目前针对颅内二级分支病变国际上尚无指南或专家共识,大多数中心的经验为通常在患者药物治疗无效,出现≥2次脑梗或影像学上提示靶向供血区域存在mismatch才会选择腔内治疗,通常也首选球扩,如果出现反弹、限流性夹层,则考虑行支架植入。
远端迂曲血管的通路建立,需要导丝维持头端形状,相比于Synchro2导丝,Synchro SELECT导丝头端塑形保持力大大提升、使用后形变量明显减少,加上头端柔软度和导丝管身的改进,使得Synchro SELECT导丝操控性能整体升级。
远端动脉狭窄的介入治疗,稳定的通路选择:选用可高到位支撑性好的通路导管;球囊导管选用通过性好的同轴球囊;选择支撑性强的标准型或支撑型导丝。
当前,虽然无相关指南或专家共识等循证医学证据,支持A1/A2/A3段病变的介入治疗。术者相信伴随着术者经验逐步提升,学习曲线获取、介入器械快速发展,颅内大动脉二级分支病变的介入治疗会更加可行和安全。
术者简介
苏宁
主治医师
主治医师,吉林大学神经病学硕士毕业;目前主要从事脑血管病介入治疗及相关临床研究,在急性缺血性脑血管病溶栓、取栓、蛛网膜下腔出血、动脉瘤等神经系统疾病的诊疗方面有丰富经验,熟悉自身免疫性脑炎、癫痫、周围神经病变、睡眠障碍、眩晕等常见病诊疗;发表核心医学期刊论文数篇。
孙军
副主任医师
神经内科副主任医师,中共党员,南阳市中心医院神经内科脑血管病介入二病区主任,南阳市学术技术带头人,河南省医学会神经病学分会青年委员,河南省医学会神经介入学组委员,河南省卒中学会青年理事会理事,河南省中医结合神经介入委员会委员,河南省医师协会神经介入专委会急性缺血性卒中血管内治疗学组委员,南阳市医师协会神经介入分会副主任委员,南阳市脑心同治委员会委员,南阳市高压氧学会委员。曾在北京天坛医院、北京宣武医院、长海医院、河南省人民医院学习脑血管病介入技术。南阳市中心医院神经内科脑血管病介入团队主要成员。近年来完成脑动脉取栓术、眼动脉溶栓、脑动脉支架植入术、脑动脉慢闭再通术、脑动脉瘤栓塞术、脑动静脉畸形栓塞术、脑动静脉瘘栓塞术、血流导向装置植入术、瘤内扰流装置植入术等介入手术4000余例。擅长脑血管病的介入治疗。
汪宁
副主任医师
神经内科副主任医师,神经内科脑血管病介入二病区副主任,河南省医学会神经病学分会神经介入学组委员、河南省医师协会神经介入青年委员会委员、河南省中医结合学会神经介入分会委员、南阳市医师协会神经介入分会秘书、南阳市脑心同治委员会委员。擅长急诊缺血性脑血管病血管內治疗、颅内外大血管慢性闭塞再通、颅内外支架治疗、颅内动脉瘤介入栓塞等神经介入治疗。年完成颅内外神经介入手术四百余例。在国内一、二类杂志共发表论文近20篇;主持省科技厅科技公关项目一项;获省科技进步奖二项。
温昌明
主任医师
协会神经介入专业委员会副主任委员,河南省医学会神经介入分会常委兼神经介入学组副组长,河南省中西医结合学会介入分会副主任委员,中国医师协会神经介入分会青年委员会委员,河南省神经内科学会委员,河南省神经内科医师协会神经介入学组委员,南阳市介入治疗学会副主委,南阳市神经脑血管学会常委兼学术秘书 神经介入学组组长。在急性缺血性卒中的静脉溶栓以及桥接介入取栓方面,做了大量开拓性和探索性的工作,在脑动脉狭窄支架植入、脑动脉瘤介入治疗等方面,均有较高造诣。2017年,获河南省第八届优秀医师奖。
![]()
声明:脑医汇旗下神外资讯、神介资讯、脑医咨询、Ai Brain 所发表内容之知识产权为脑医汇及主办方、原作者等相关权利人所有。
投稿邮箱:NAOYIHUI@163.com
未经许可,禁止进行转载、摘编、复制、裁切、录制等。经许可授权使用,亦须注明来源。欢迎转发、分享。
投稿/会议发布,请联系400-888-2526转3。








