
本次「精选编译」由海军特色医学中心赵明主治医师编译,为大家带来《前循环大血管闭塞血栓影像特征预测早期再灌注》,欢迎大家阅读分享!
来自荷兰阿姆斯特丹大学医学中心生物医学工程与物理系的Nerea Arrarte Terreros根据患者的临床和血栓基线特征,确定了转运的AIS患者早期再通的预测因素,结果于2024年3月发表在《Journal of Cardiovascular Development and Disease》上。
——摘自文章章节
【REF: Arrarte Terreros, et al. J Cardiovasc Dev Dis. 2024 Mar 29;11(4):107. doi: 10.3390/jcdd11040107】
目前大血管闭塞(LVOs)的急性缺血性卒中患者的治疗方法主要为静脉溶栓(IVT)和机械取栓(EVT),IVT能够比EVT获得更快的再灌注,也可以增加EVT再灌注的成功率,还可以溶解掉EVT难以触及的远端血栓。然而EVT之前进行IVT会增加颅内出血和血栓碎片化的风险。另外,IVT在近端LVO的治疗上远不及远端的有效性,而EVT却可以有效治疗近端血栓尤其是IVT无效的LVO。
从初级卒中中心(CSC)转运的急性LVO卒中患者,IVT后的早期再灌注率在20%-40%,这体现了转运的LVO患者行IVT的重要性。能够早期预测患者是否会在CSC再通可能会改善治疗流程,从而优化资源消耗并降低成本。由于综合卒中中心(PSC)的容量限制,在准确预测早期再通的情况下,可以限制院间的无效转运。确定哪些患者不会早期再通则有助于加快转运至导管室的时间。例如,可以避免患者在CSC入院时进行重复的影像学检查,这平均需要20分钟。
血栓的大小或组成等特征在血管再通过程中起着重要作用,因此其可以决定治疗的效果和患者的预后。这些特征可通过基线影像结果进行评估并指导如何治疗。因此,来自荷兰阿姆斯特丹大学医学中心生物医学工程与物理系的Nerea Arrarte Terreros根据患者的临床和血栓基线特征,确定了转运的AIS患者早期再通的预测因素,结果于2024年3月发表在《Journal of Cardiovascular Development and Disease》上。
纳入了81例早期再通的前循环LVO转运患者,定义为在重复影像学检查后,LVO消失或血栓迁移到血管内治疗无法到达的远端位置。将这些患者的临床和影像学特征与MR CLEAN研究中所有(322)例持续性LVO转运患者进行了比较。在基线CT图像上测量颈动脉末端到血栓的距离(DT)、血栓长度、密度和渗透性。建立logistic回归模型预测血管早期再通。通过计算100个5倍交叉验证的受试者工作特征曲线的中位曲线下面积(AUC)来验证预测能力。
静脉溶栓、转运时间长、远端闭塞多、血栓较短、通透性较好,血栓密度较小是早期再通的特征。逆向剔除后IVT给药、血栓距离和血栓密度仍保持在多变量模型中,AUC为0.77(IQR为0.72-0.83)。
围手术期DWI病变患者的基线影像学特征:

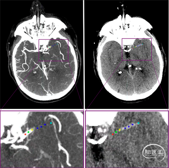
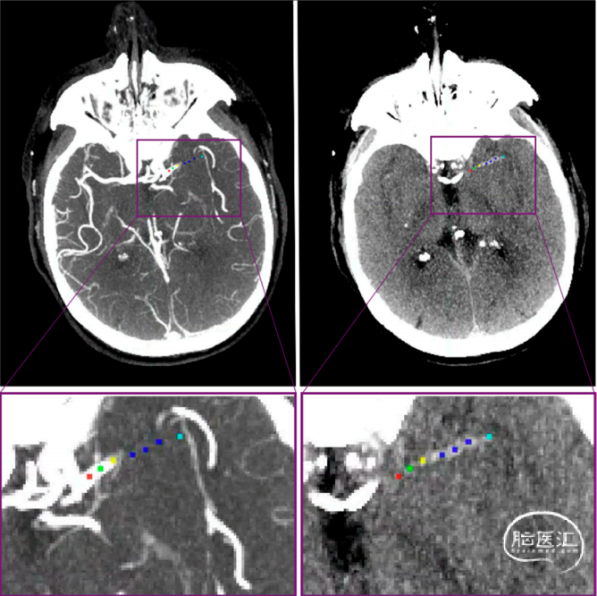
图1. 血栓的影像学特征。
人工放置标记物计算血栓特征。左图:CT血管造影的厚板最大密度投影,显示由于闭塞导致造影剂突然停止。右图:非对比CT厚板最大强度投影,可见血栓高密度征象。红色标记:位于颈内动脉末端(ICA-T)。绿色标记:位于ICA-T与血栓近端边界之间。黄色标记:近端血栓边界。蓝色标记:血栓的近端、中端和远端。青色标记:血栓远端边界。
表1. 临床基线特征、血栓影像学特征和患者的功能结局。
表2. 早期再通预测模型。多变量二元logistic回归模型的前后倒向剔除结果。
图2. 模型性能和校准曲线。
(a)100个5折交叉验证的ROC曲线的中位数(品红色)和四分位间距(灰色)。中位AUC为0.77(IQR 0.72-0.83)。(b)校准曲线显示真实概率高于预测概率。AUC:曲线下面积;ROC曲线:受试者工作特征曲线。
IVT使用、更长的转运时间、更远端的闭塞以及更短、更具渗透性、密度更低的血栓与早期再通有关。血栓成像特征,特别是血栓位于远处和血栓密度,在预测早期再通中起着重要作用。这些特征预测早期再通具有中等辨别能力,并最终更好地规划重复影像检查流程。

关注静脉溶栓(IVT)
组 稿
张颖影 副主任医师
复旦大学附属中山医院
编 译
赵明 主治医师
海军特色医学中心
审 校
刘斌 副主任医师
上海交通大学医学院附属瑞金医院
终 审
洪波 教授
上海市第一人民医院

声明:脑医汇旗下神外资讯、神介资讯、脑医咨询、Ai Brain 所发表内容之知识产权为脑医汇及主办方、原作者等相关权利人所有。
投稿邮箱:NAOYIHUI@163.com
未经许可,禁止进行转载、摘编、复制、裁切、录制等。经许可授权使用,亦须注明来源。欢迎转发、分享。
投稿/会议发布,请联系400-888-2526转3。