本文来源于公众号:第91病区
![]()
知识点
![]()
在MRA图上观察一下这三支动脉。如图所示,红箭:小脑上动脉;绿箭:右侧小脑下前动脉;小脑下后动脉未在图中显示(MRA中小脑下后动脉很少能显示出来)。
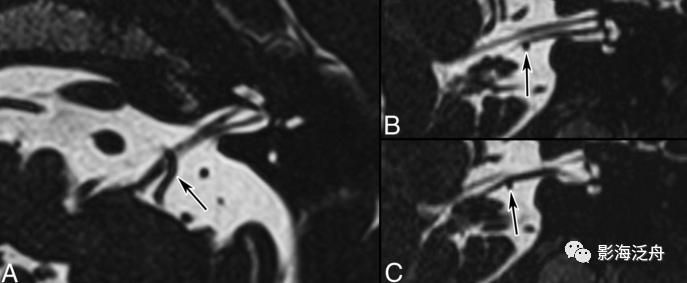
在轴位MR图像上观察并准确辨识出相应的神经和血管,常规的FSE T2WI也可以看到这些颅神经和血管,但不够清晰,尽量还是在更专业的3D重T2WI序列或3D B_FFE序列上观察,如下图↓
MR是目前诊断面肌痉挛及三叉神经痛的主要检查手段。
T2-TSE3D-RST-TRA成像是重T2成像,脑脊液呈高信号,三叉神经,面听神经和血管在脑脊液的高信号衬托下呈低信号可清晰显示,即使周围很小的血管分支也可能成像。
此外,T2-TSE3D-RST-TRA能对静脉以低信号成像,而且无须造影剂,通过多层面分析可确定压迫血管的来源,与常规磁共振技术相比不仅扫描速度成倍提高,并且通过三维薄层技术弥补对比度和分辨率的损失,获得高分辨率、高信噪比的图像,是检查脑神经和血管成像的最佳技术。
![]()
![]()
![]()
声明:脑医汇旗下神外资讯、神介资讯、神内资讯、脑医咨询、Ai Brain 所发表内容之知识产权为脑医汇及主办方、原作者等相关权利人所有。
投稿邮箱:NAOYIHUI@163.com
未经许可,禁止进行转载、摘编、复制、裁切、录制等。经许可授权使用,亦须注明来源。欢迎转发、分享。




