
本 / 期 / 病 / 例
患者基本信息
主诉:右侧肢体乏力3年余。
现病史:
患者3年前间断出现右侧肢体发作性无力,行磁共振检查发现左侧大脑中动脉重度狭窄,住院后造影结果提示左侧大脑中动脉次全闭塞、右侧大脑前动脉血运相关性动脉瘤。
2020.12.19于我院脑血管病科行“动脉瘤密网支架植入术”。手术顺利,术后无不适。
2021.04.11行“左侧大脑中动脉狭窄支架植入术”,次日出现右侧肢体偏瘫,颅脑MR提示左侧基底节区-放射冠区急性期脑梗死。予抗血小板聚集、改善侧枝循环、调脂稳斑、康复理疗等治疗后,患者肢体肌力恢复正常。此次返院检查了解支架情况,必要时进一步治疗。
入院查体:
T:36.6℃,P:72 次/分,R:20 次/分,BP:161 /77mmHg。
神清,言语流利,对答切题,双侧瞳孔等大等圆,直径约2.5mm,对光反射存在,双侧眼球各项运动正常,双眼未引出眼震,双侧额纹、鼻唇沟对称,构音清晰,伸舌居中,颈软,无抵抗,四肢肌张力正常,四肢肌力5级,双侧指鼻试验稳准,四肢腱反射、感觉检查正常,双侧病理征阴性。
双肺呼吸音清,未闻及干湿性啰音,心律规整,各瓣膜区未闻及杂音,腹平软,无压痛,肝脾肋下未触及,肠鸣音正常。
既往史:高血压病。
造影信息
2020.12 造影情况:




2020.12.19 行动脉瘤密网支架植入术,术后影像:


2021.04.11 行左侧大脑中动脉狭窄支架植入术,术后磁共振检查影像:


术前准备
1、脑梗死后遗症;
2、左侧大脑中动脉狭窄(支架植入术后);
3、大脑前动脉远侧段(A3)动脉瘤(密网植入术后);
4、高血压病3级(极高危)。
拟行球囊扩张术治疗支架内狭窄。
术中器械
6F 088in内径 通桥玄武™长鞘
2.0mm*15mm 通桥白驹®颅内球囊扩张导管
通桥银蛇®颅内支持导管
2.0*15mm 紫杉醇球囊
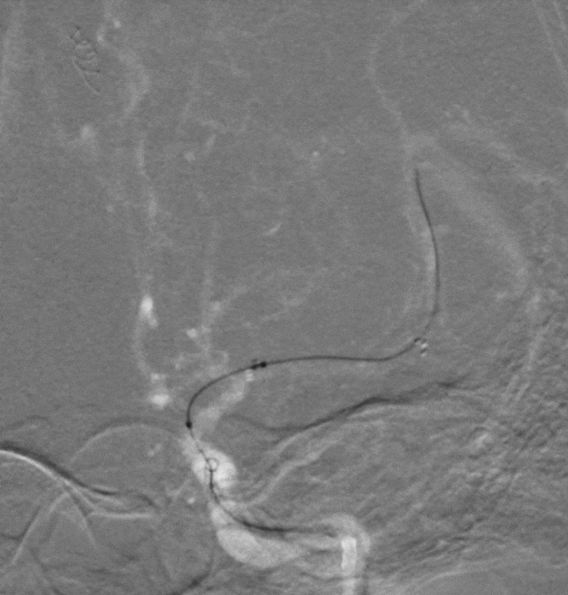
治疗过程
手术过程:



治疗术后效果:

使用感受
1、通桥玄武™长鞘轻松到位,可以提供稳定支持;
2、通桥玄武™长鞘头端柔软,推送性良好;
3、更多好的介入产品,让手术更加可行安全。

术者简介
程光森
珠海市人民医院
珠海市人民医院脑血管病科主任,脑血管病诊疗中心副主任,主任医师,医学博士
中华放射学会神经介入学组委员
广东省医师协会神经介入分会常务委员、广东省医师协会脑血管病分会常务委员、珠海市医师协会脑血管分会主任委员、神经介入资讯编委
岭南名医,从事神经介入20余年,擅长各类急慢性脑梗塞的微创介入治疗,脑动脉瘤、血管畸形等各种脑出血的介入治疗;血流导向装置全球导师,共进行各类神经介入诊疗5000余例,先后于德国基尔大学附属医院、美国纽约康奈尔大学神经介入中心学习交流
主持多项省市级课题,参与多项国际国内多中心临床研究,发表论文20余篇
郭亚东
珠海市人民医院
副主任医师,毕业于暨南大学神经病学专业,研究方向脑血管病
2012年于北京宣武医院神经介入中心学习,已经完成脑血管造影、脑梗死急诊取栓、脑血管支架植入手术、动脉瘤栓塞等手术600台以上,在核心期刊发表论文3篇,主持珠海市医学科研基金项目一项
广东省医师协会神经内科医师分会第四届委员会青年医师专业组成员、广东省健康管理学会神经科学专业委员会第一届委员会委员、广东省健康管理学会神经科学委员会第一届委员会委员
擅长治疗疾病包括脑梗死、脑出血、中风后遗症、脑血管狭窄、脑动脉瘤、脑血管畸形,对头晕、头痛等相关疾病鉴别诊断及治疗有丰富临床经验

本内容仅供医学专业人士作线上专业交流
本内容不向非医学专业人士开放,敬请理解
讲课内容仅代表专家个人观点,非通桥医疗推广产品
声明:脑医汇旗下神外资讯、神介资讯、脑医咨询、Ai Brain 所发表内容之知识产权为脑医汇及主办方、原作者等相关权利人所有。
投稿邮箱:NAOYIHUI@163.com
未经许可,禁止进行转载、摘编、复制、裁切、录制等。经许可授权使用,亦须注明来源。欢迎转发、分享。
投稿/会议发布,请联系400-888-2526转3。







