

“远大计划”前言
近期,心玮医疗针对LVO解决方案推出的心玮吞川颅内血栓抽吸导管088超大内腔型号已正式获批,它与心玮MeVO组合解决方案共同构成了心玮“远大计划”。该计划旨在向机械取栓领域发起新挑战,并引领走向更远大的未来!
对于颅内大血管闭塞(Large Vessel Occlusion,LVO),机械取栓技术发展相对成熟,但仍存在传统器械组合无法完全解决血栓逃逸问题等临床痛点,因此关于能够进一步提高一次再通率的新型器械理念备受期待。
本期病例
病历简介
患者:男性,75岁。
主诉:言语不清,左侧肢体活动不灵2.5小时。
现病史:患者2.5小时前无明显诱因出现言语不清晰,左侧肢体活动不灵,上述症状持续不缓解,来院就诊。
既往史:体健。
入院查体:T 36.3℃,P 76次/分,R 16次/分,BP 160/81mmHg,心音低钝,心律不齐,神志清,反应迟钝,言语欠流畅,左侧中枢性面瘫,双眼向右侧凝视,双侧瞳孔等大等圆,光反应灵敏。左侧肢体肌力0级,浅感觉迟钝;右侧肌力感觉正常。左侧巴氏征(+)。NIHSS评分14分。
影像信息
入院心电图发现心房颤动。

CT平扫未见明显缺血性。

CT平扫(ASPECT评分及CTP灌注)。


头颅及颈部血管:右侧颈内动脉起始部重度狭窄狭窄、颈内动脉末端闭塞,考虑房颤导致的颈动脉串联栓塞。


术前讨论

术前诊断
脑栓塞
颈内动脉闭塞
心房颤动

手术方案
患者房颤,考虑颈总动脉末端及颈内动脉末端大负荷血栓。
术中器械
8F长鞘
心玮吞川088颅内血栓抽吸导管(8F 115)
微导管
取栓支架

手术过程

正位

侧位
8F长鞘送至右侧颈总动脉远端,心玮吞川088抽吸导管抽吸颈总动脉末端及颈内动脉起始部的血栓。


造影颈内动脉末端仍有大负荷血栓,决定采用心玮吞川088抽吸导管+支架抽拉结合的术式。


心玮吞川088抽吸导管撤到颈总动脉末端,路图下导丝导引进入颈外动脉抽吸血栓。



抽出大量血栓。

术后情况

术后复查
CT平扫


术后CTA:颈内外动脉均通畅

术后CTP:术前低灌注区明显好转

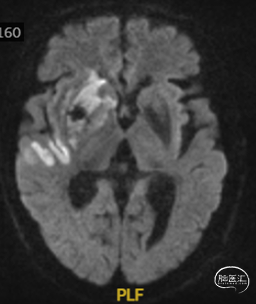
术后MRI





出院前查体
神志清,言语欠流畅,左侧中枢性面瘫,双侧瞳孔等大等圆,光反应灵敏,左侧肢体肌力4级,右侧肢体肌力正常,左侧巴氏征(+),NIHSS评分2分。
病例总结
8F长鞘可稳定建立通路,为心玮吞川088颅内血栓抽吸导管推送建立良好基础。
颈动脉大负荷血栓时,通过性良好的大内腔抽吸导管可助力快速血管再通。
术者简介
*仅供医疗专业人士参考


心玮医疗
HEART CARE
上海心玮医疗科技股份有限公司(股票代码:06609.HK)成立于 2016 年,公司致力于提高创新医疗技术的可及性,守护生命健康。七年时间,心玮医疗在神经介入领域开拓性地打造了国内卒中治疗及预防一站式解决方案,拥有从急性缺血性卒中和神经血管狭窄治疗、缺血性卒中预防、出血性卒中治疗到介入通路器械的全产品管线,申请专利超过300项,销售渠道覆盖了国内除香港和澳门地区以外的全部省份。


声明:脑医汇旗下神外资讯、神介资讯、脑医咨询、Ai Brain 所发表内容之知识产权为脑医汇及主办方、原作者等相关权利人所有。
投稿邮箱:NAOYIHUI@163.com
未经许可,禁止进行转载、摘编、复制、裁切、录制等。经许可授权使用,亦须注明来源。欢迎转发、分享。
投稿/会议发布,请联系400-888-2526转3。








