


患者男性,69岁
主诉:言语不清伴左侧肢体活动不灵5小时。
现病史:患者于1天前突发吐字不清、左侧肢体活动不灵,左上肢尚可抬举、握拳无力,左下肢无法站立及行走,伴腹部疼痛,无明显头晕头痛,无恶心呕吐,无复视耳鸣,无吞困难,急来我院急诊就诊,急诊行头CT提示未见出血,患者病来神清,无发热,无咳咳,无胸闷及胸痛,无腹痛腹泻,无黑便。平素饮食可及睡眠尚可,二便正常。
既往史:脑出血病史约8-9年,遗留吐字欠清、左侧肢体活动不灵,左上肢尚可抬举及持物,左下肢行走无拖电。冠心病、陈旧性心肌梗死、冠状动脉支架植入后状态病史约12年,规律口服1年阿司匹林肠溶片及“立普妥”后自行停药,高血压病病史约8-10年,已自行停药2年,否认糖尿病病史,否认肝绕结核等传染病史,否认手术外伤史输血史,头孢过敏史,否认食物过敏史。
入院查体:嗜睡,言语欠清,双侧瞳孔等大正圆,直径3.0mm。直接间接对光反射灵敏,双眼各向活动正常,右侧鼻唇沟浅,伸舌右偏,左侧肢体肌力5级,右侧上肢0级,下肢肌力3级,右侧巴氏征阳性。急诊NIHSS评分:9分。

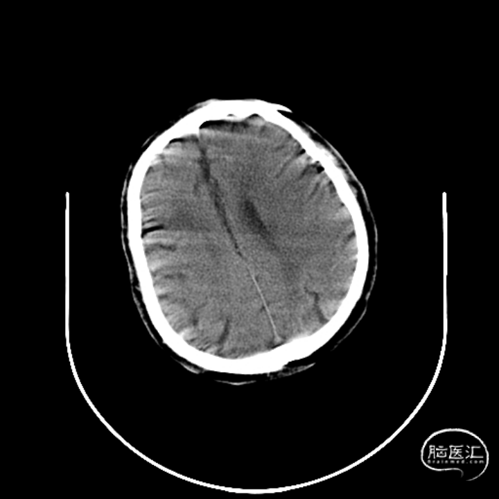
术前CT








入院时头部 DWI+MRA(7h)




右侧顶叶新发脑梗死。右侧颈内动脉及大脑中动脉闭塞。




1. 手术策略:
利用泥鳅导丝、外周微导丝、微导管辅助等技术尝试穿过颈内动脉闭塞部位。
由远及近给予颈内动脉C1段球囊扩张。
微导管造影明确颈内动脉情况。
采用ADAPT技术先处理大脑中动脉栓塞所致血栓。
再处理颈内动脉近端闭塞病变,必要时给予颈内动脉支架置入。
2. 器械选择:
沃比医疗Esperance® 6F 125cm 远端通路导管
沃比医疗Pilote™ 088远端通路导管(长鞘),90cm
0.021″微导管*1
205cm微导丝*1 / 300cm 微导丝*2
7mm*50mm颈动脉支架*1
2.5mm*15mm冠脉球囊*1
4mm*30mm球囊导管*1 / 5mm*30mm球囊导管*1
保护伞*1

1. 术中造影检查。以改良Seldinger法穿刺右侧股动脉成功后,置8F动脉鞘,在泥鳅导丝引导下,和沃比Pilote™ 088导管同轴入路,带领Pilote™ 088导管顺利越过主动脉弓后,行主动脉弓造影及颅内造影,证实右侧劲内动脉段闭塞。



2. 颈动脉段抽吸取栓。反复尝试超选微导丝,穿过颈内动脉闭塞段已确认真腔。

通过微导丝和微导管的同轴通路搭建,顺利入路Esperance® 6F 125cm远端通路导管到达颈内动脉C1近端。与闭塞段置入2.5mm*15mm的冠脉球囊,对准闭塞部位以额定压由远及近扩张球囊。


撤出球囊后,造影见颈内动脉白色血栓影。


将Esperance® 6F 远端通路导管抵进颈动脉闭塞段,予以负压吸引,与闭塞段由远及近反复抽吸,见大负荷血栓吸出。



3. 颈内动脉段再次取栓。与颈内动脉C1末端置入并释放保护伞。

撤回Pilote™ 088导管及Esperance® 6F 远端通路导管至颈总动脉后造影示,颈内动脉端仍存在血栓影。

继续上高Pilote™ 088导管及Esperance® 6F 远端通路导管至颈内动脉近端,置入4.0mm*30mm球囊,对准闭塞处扩张后复查造影,见栓子堵于保护伞端。

通过Esperance® 6F 远端通路导管输送微导管到位,与闭塞段植入7mm*50mm颈动脉支架,定位准确后释放。支架释放后见血管扩张,前向血流进一步恢复。


回收保护伞后见造影示颈内动脉血流恢复。

10分钟后复查造影,见支架内血栓形成,大脑中动脉闭塞。


4. 大脑中动脉M1段取栓。Esperance® 6F 远端通路导管在微导丝、微导管的同轴入路配合下,送入大脑中动脉M1段的血栓处,予以负压抽吸血栓,直到前向血流恢复。


5. 再次扩张颈内动脉狭窄段。经Esperance® 6F 远端通路导管再次释放保护伞后造影,近端血管可做进一步扩张。


将5.0mm*30mm球囊送至已植入的颈内动脉支架内,再次扩张。造影见支架贴壁良好。


术后即刻颈总动脉造影示近远端前向血流恢复良好。


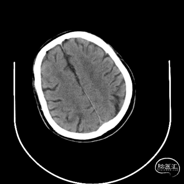
术后24小时CT示








术后24小时查体:神清,言语欠清,双侧瞳孔等大正圆,直径3.0mm。直接间接对光反射灵敏,双眼各向活动正常,右侧鼻唇沟浅,伸舌右偏,左侧肢体肌力5级,右侧上肢3级,下肢肌力4级,右侧巴氏征阳性。急诊NIHSS评分:5分。

该病例是比较典型的颈内动脉段及大脑中动脉闭塞的串联病变,由于近端血栓负荷量大、以及血管有较严重的狭窄,考虑先与近端取栓的方式,开通近端血管的血流,再至远端取栓,持续观察近端血管的狭窄情况,近端如有必要需植入支架以确保近端前向血流的持续恢复。
本例手术过程较为复杂,Pilote™ 088远端通路导管(长鞘)能顺利越过主动脉弓并且实现稳健的近端支撑。同时右侧颈内动脉段由狭窄以致的闭塞较严重,血栓负荷量大,同时伴有远端闭塞的情况,所以中间导管的作用显得尤为重要。Esperance® 6F 远端通路导管采用直接抽吸取栓的方式,实现颈内动脉段大负荷血栓的抽吸。后续颈内动脉闭塞和狭窄的处理就顺势而为,水到渠成。Esperance® 6F 远端通路导管的高到位特点,抵达大脑中动脉M1段,快速抽吸取栓。患者术后辅以综合治疗,将做好随访,指导用药,力争实现良好的远期预后。

· 王 冶 ·
· 营口市中心医院 ·
副主任医师,毕业于大连医科大学临床医学专业。曾于2004年于天坛医院进修学习。现任营口市中心医院神经内一科主任。有多年神经内科工作经验,熟悉并掌握神经内科专业常见病,疑难病的诊断和治疗。开展了多年脑血管介入治疗,多次独立完成取栓,支架等血管内治疗。多次获得市科技进步一,二,三等奖,发表论文多篇。
社会任职:辽宁省医学会神经内科分会委员、辽宁省医学会介入医学分会第四届委员会血管介入学组组员、营口市医学会神经内科分会副主任委员、辽宁省医师协会神经内科第一届委员会分会委员、辽宁省医学会卒中学会委员、辽宁省医学会神经分会免疫与感染学组委员、辽宁省医学会医学教育分会青年委员、第二届辽宁省脑血管病临床医学协同创新联盟理事会理事、辽宁省预防医学会卒中预防与控制专业委员会委员。


沃比医疗控股有限公司(以下简称“沃比医疗”)成立于2015年12月,专注于提供创新性、突破性和经临床验证的卒中治疗技术和解决方案。2022年4月,沃比医疗成功收购了总部位于德国的全球神经介入行业的领先企业phenox GmbH。本次收购丰富了沃比医疗的神经介入产品组合,使其更具全球竞争力。截至目前,沃比医疗在全球拥有5个研发中心、3个生产基地及700余位员工,已获全球专利超过200项。
沃比医疗一直以“挽救更多中风患者的生命”为愿景,为世界医疗持续贡献力量。如今,沃比医疗提供的卒中整体解决方案覆盖出血性卒中、缺血性卒中和通路三大领域,销售网络遍布全球包括中国、美国、欧洲主要经济体及日本在内的60多个国家和地区。已上市产品包括Avenir家族机械解脱弹簧圈、p64/p48血流导向装置、pEGASUS弹簧圈辅助栓塞支架、pCONUS分叉动脉瘤栓塞植入装置、Esperance®抽吸导管、pRESET取栓支架、Esperance®远端通路导管、pNOVUS® 17微导管、Pilote远端通路导管(长鞘)、Paragon球囊导引导管和pORTAL®神经血管微导丝等。
更多详情,敬请访问:
www.wallabymedical.com

特别声明:本页面所载的内容、信息、评论仅供参考。如果您是一位医疗卫生专业人士,您应该通过您自己的专业判断来评估本页面所提供的所有信息。我们也建议在做出任何评价或治疗决定前请咨询其他专业人士并查阅其他参考资料。
声明:脑医汇旗下神外资讯、神介资讯、脑医咨询、Ai Brain 所发表内容之知识产权为脑医汇及主办方、原作者等相关权利人所有。
投稿邮箱:NAOYIHUI@163.com
未经许可,禁止进行转载、摘编、复制、裁切、录制等。经许可授权使用,亦须注明来源。欢迎转发、分享。
投稿/会议发布,请联系400-888-2526转3。





