
Ali Krisht教授是位备受尊敬的神经外科学教授,服务于美国小石城CHI St.Vincent North医院。作为阿肯色神经外科研究院(ANI)的院长和首席神经外科医生,他在脑血管病、垂体瘤和颅底肿瘤领域发表了系列经典论著。


Ali Krisht教授在海绵窦、脑动脉瘤和胶质瘤手术治疗方面作出的开创性贡献,为他赢得了多个奖项,其中包括2019年的Herbert Olivecrona奖(被誉为神经外科的诺贝尔奖)。Castle Connolly和“当代神经外科”均将他评为美国顶尖1%的神经外科专家。毫无疑问,他是先进显微神经外科领域的杰出领袖之一。

脑医汇-神外资讯有幸获得了对Ali Krisht教授经典著作进行中文翻译和传播的独家授权,将陆续通过连载发布,方便大家分享学习。
特别感谢ANI显微神经外科解剖室联合主任蔡理医生对Krisht教授经典著作的整理,同时感谢复旦大学附属华山医院宋剑平主任医师在内容整理及组织编译、审校工作上的辛勤付出。
以下是第十四期内容:《前交通动脉复杂动脉瘤术中经动脉瘤弹簧圈辅助夹闭术》。感谢福建医科大学附属第一医院、复旦大学附属华山医院福建医院神经外科金珂医生,以及蔡理和宋剑平主任医师的编译校对。
巨大而复杂的脑动脉瘤对显微外科手术和血管内治疗都是一种挑战。对于大多数复杂的动脉瘤,精细的显微外科技术可直接夹闭大部分动脉瘤,且效果良好[12]。宽基动脉瘤的现有血管内治疗技术仍有较高的再通率[2,14]。此外,弹簧圈的使用使得后期夹闭过程更加困难,风险更大。这两种方法各有优势,并且它们的结合使用似乎对某些动脉瘤更有益[4,10,11,13,15,16]。迄今为止,所有报道的病例都是采用分期手术治疗,即先做手术,然后再行血管内治疗,或者反之亦然。为了完善复杂前交通动脉瘤的夹闭过程,避免二次分期手术,我们采用了一种术中直接经动脉瘤弹簧圈辅助闭塞动脉瘤的方法。据我们所知,这是首次报道这种技术。
![]()
病例报道
![]()
病史及检查
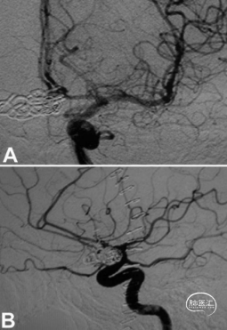
该例39岁男性患者从另一家医院转来,主诉为急性剧烈头痛,持续1天,对镇痛药无反应,神经系统检查结果正常。计算机断层扫描没有发现任何出血迹象,显示一个鞍上肿块,提示有动脉瘤。磁共振成像随后证实这一发现。腰椎穿刺没有发现蛛网膜下腔出血的迹象。脑血管造影显示,左侧A1-A2交界处有一个宽基、大型ACoA动脉瘤和两个小型动脉瘤。两个A2节段供血均来自左侧A1节段,推测右侧A1段缺如或发育不良(图1)。

手术
我们通过右侧眶颧入路到达动脉瘤。我们在颧骨切迹处进行钻孔,尽可能向下翻转颞肌,并切除了眶缘和眶顶的上外侧部分,广泛分离基底池和侧裂。正如我们在血管造影中注意到的那样,右侧的A1段已经硬化并完全闭塞。动脉瘤压迫视交叉,视通路被推向左下方。很明显,动脉瘤非常巨大,血管造影只显示了其充盈的部分,瘤顶的其余部分已经硬化,部分出现了钙化。皮下切除部分右侧直回,直至看到两个A2节段及左侧A1节段。动脉瘤周围的蛛网膜较厚,伴有疤痕和含铁血黄素沉积的淡黄色褪变,提示之前曾有出血。
临时阻断左A1段后,我们使用两个直夹和一个45˚开窗夹重塑ACoA。右侧回返动脉起自部分动脉瘤体,并穿过部分瘤顶(图2),使用这种动脉瘤夹可以保留回返动脉血流。然而,这种结构特点给动脉瘤留下了一个潜在的血流入口,使血液可以通过沿回返动脉开窗夹的窗口从前交通动脉段流向部分瘤顶。尽管动脉瘤增厚的瘤壁堵塞了这个入口,穿刺时瘤顶也没有充盈,但对回返动脉上的开窗夹稍加移动,血液就流入瘤顶区域。

为了闭合残余的瘤顶空间,我们决定使用复杂的含纤维铂金弹簧圈进行经动脉瘤弹簧圈栓塞术。在现场血管内神经放射科医生的帮助下,且基于填塞瘤腔不会让弹簧圈向重建的ACoA节段移动,我们认为直接穿刺动脉瘤瘤顶并将弹簧圈直接填入这一潜在空间是安全的(图3)。通过这种方法,我们相信,一旦任何血流动力学或其他因素导致血液通过流入道,将受到弹簧圈填塞的瘤囊或瘤顶的阻碍。我们进一步解剖左侧A2远端的其余两个动脉瘤,并顺利夹闭这两个动脉瘤。

术后情况
患者没有出现任何神经功能障碍,术后恢复顺利。术后血管造影证实动脉瘤已完全闭塞(图4)。

![]()
讨论
![]()
![]()
结论
![]()
推荐阅读
20. Thornton J, Dovey Z, Alazzaz A, Misra M, Aletich VA, Debrun GM, et al: Surgery following endovascular coiling of intracranial aneurysms. Surg Neurol 54:352–360, 2000

![]()
声明:脑医汇旗下神外资讯、神介资讯、神内资讯、脑医咨询、Ai Brain 所发表内容之知识产权为脑医汇及主办方、原作者等相关权利人所有。
投稿邮箱:NAOYIHUI@163.com
未经许可,禁止进行转载、摘编、复制、裁切、录制等。经许可授权使用,亦须注明来源。欢迎转发、分享。







