

Marathon头端内径:0.33mm
Apollo头端内径:0.33mm
Sonic头端内径:0.30mm(感觉堵管几率略高)



Echelon10头端内径:0.43mm
Rebar18头端内径:0.53mm


查阅文献目前鲜有使用更大管径的微导管栓塞bAVM报道,大口径微管栓塞bAVM是否弥散更好更无从知晓。
我院神经外科总结了使用大口径微导管栓塞bAVM临床病例,汇报给大家。希望能为AVM的治疗提供帮助。
破裂AVM或未破裂但有明显症状AVM
体积<30ml可以一期栓塞,>30ml分期栓塞
有良好的动脉途径,大口径微导管能到位
S-M 2级
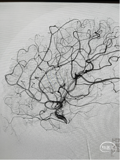
男,66岁,四脑室及小脑出血

PICA动脉供血AVM,伴多发血流相关动脉瘤。



2根Echelon分别栓塞和做塞子。


微导管超选2个血管造影,了解AVM供血情况。


Onyx胶栓塞静脉端。

AVM铸型完全。
术后复查头CT,小脑后下动脉供血区有片状梗死,但患者无明显临床症状。




S-M 2级
男,27岁,中度昏迷,AVM破裂出血破入脑室







双豆纹动脉加大脑中动脉分支供血,大脑大静脉引流,由于豆纹动脉与大脑中动脉成锐角,超选困难,采用球囊辅助echelon10才顺利进入豆纹动脉。



微导管自身block作用,无需做高压锅塞子,注胶过程几乎没有返流,Onyx胶很快完全弥散畸形团,闭塞引流静脉并倒灌其它供血动脉。




Onyx胶铸型完全,供血动脉、畸形团、引流静脉充分闭塞。术后正侧位及3D造影,畸形团及引流静脉完全不显影。


S-M 4级
男,8岁,中度昏迷,破裂AVM








用echelon10超选多支动脉进行栓塞,最后完全闭塞畸形团,治愈性栓塞AVM。



Onyx胶弥散畸形团铸型完全,供血动脉、畸形团、引流静脉完全铸型。


术后3月复查造影,畸形团无残余和复发。患者完全恢复正常。


S-M 3级
男,14岁。破裂AVM,脑室出血,豆纹动脉供血,基地静脉引流,畸形团位于基底节区




Echelon10超选超选豆纹动脉,微导管头不能深入畸形团,微管造影可见破裂出血的动脉瘤,利用管头及血管痉挛的block作用,注胶几乎无返流。



引流静脉充分铸型闭塞。


术后正侧位及3D造影畸形团不显影。




女,41岁,颞叶少量出血入院,造影提示右颞叶AVM,大脑中动脉及脉络膜前动脉多支供血,皮层静脉引流




Rebar18超选大脑中动脉供血支,Echelon10超选脉络膜前动脉供血支,均未做塞子,完全靠微管的block作用,顺利注胶,无明显返流。



完全栓塞AVM,无任何残留。



大口径微管注胶弥散性更好,速度更快。
大口径微管头自身的高压锅作用减少返流。
大口径微管更易拔管,虽然头端不可解脱管。
大口径微管无需超选到巢内,管头卡在管径相当的血管上即可。
大口径微管可以远距离注胶,期望研发头端可解脱微管
大口径微管长度要满足路径需要
术者简介
李聪慧
河北医科大学第一医院(宣武医院河北医院)
· 河北医科大学第一医院(宣武医院河北医院)神经外科学科主任,主任医师,博导,北京天坛医院神经外科博士,河北省神经介入治疗中心主任。
· 擅长:脑血管病(脑动脉瘤、脑动脉狭窄、脑血管畸形)的介入与显微外科治疗,国内首次报道微导管成袢技术治疗特殊角度动脉瘤,国际创新推广微导丝电凝技术治疗动脉瘤,烟雾综合征介入治疗(曾受邀在瑞士苏黎世大学医院做专题报告),脑动静脉畸形的治愈性栓塞,颅内动脉狭窄及取栓的治疗。
王以舟
河北医科大学第一医院(宣武医院河北医院)
河北医科大学第一医院(宣武医院河北医院)神经外科学科副主任,兼血管神经外二科主任,曾任台湾长庚医院神经外科主任。世界神经介入治疗医学会高级委员,台湾神经脊柱医学会高级委员,台湾神经血管手术与介入治疗医学会创会人,秘书长
擅长:脑血管病的微创治疗,引入球囊辅助栓塞动脉瘤技术。开展动静脉畸形/硬膜下腔动静脉瘘的球囊辅助封堵栓塞法,提升效率,降低费用。开展药物球囊扩张术治疗颅内动脉狭窄,椎动脉开口狭窄,颈内动脉支架内再狭窄,为亚洲最早开展药物球囊颅内狭窄治疗的专家,目前共完成300例以上的治疗,成功率达到98.9%。参与长海医院药物球囊颅内狭窄治疗GCP,为牵头单位之一。2022年发表多篇SCI论文,其中IF8.6分一区医学期刊一篇
李辉
河北医科大学第一医院(宣武医院河北医院)
河北医科大学第一医院(宣武医院河北医院),血管神经外一科主任,主任医师,博士在读,国家脑防委出血性卒中介入专委会委员,中国医师协会河北省神经外科专委会委员,河北省血管健康与技术协会理事会理事,脑血管介入专业委员会委员
擅长:脑血管病的介入及微创手术治疗,对脑动脉瘤、脑动静脉畸形、脑动脉及颈动脉狭窄、急性脑动脉栓塞等具有丰富的诊治经验,从事多年的神经外科前沿性的手术和工作如高流量搭桥治疗复杂巨大脑动脉瘤,发表SCI文章数篇
声明:脑医汇旗下神外资讯、神介资讯、脑医咨询、Ai Brain 所发表内容之知识产权为脑医汇及主办方、原作者等相关权利人所有。
投稿邮箱:NAOYIHUI@163.com
未经许可,禁止进行转载、摘编、复制、裁切、录制等。经许可授权使用,亦须注明来源。欢迎转发、分享。
投稿/会议发布,请联系400-888-2526转3。










