脑出血(ICH)是一种危及生命的卒中类型,约占所有卒中的15%,因死亡率高,发病时需迅速应对。2024年4月17日,总部位于美国旧金山的人工智能(AI)疾病检测和智能治疗协调引领者Viz.ai宣布,其与微创神经外科的领先企业NICO Corporation(NICO)达成合作,共同提高ICH的治疗效率,改善患者疗效。
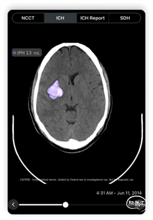
Viz.ai旗下的Viz ICH Plus旨在自动识别、标记和量化非对比CT分割脑区的出血量,用于分析颅内高密度影、侧脑室和中线移位,并提供脑出血量的测量数据,放射科、神经外科等医生可将Viz ICH Plus无缝整合至工作流程当中。(推荐阅读:《【风向标】Viz ICH Plus获FDA 510(k)批准,用于颅内出血检测和治疗协调》)

NICO旗下的BrainPath技术可为大脑疾病提供独特的手术入路,极大地改变术者经大脑自然褶皱进行安全操作的方式,目的是使用与病变长轴平行的手术通道来处理脑纤维束,从而减少脑组织损伤的可能性,降低术后缺陷风险;Myriad系统则可用于血块清除、原发或继发性肿瘤切除和脑室内肿瘤/囊肿切除,可与微创束旁手术(MIPS)、脑室镜手术和锁孔入路兼容。

BrainPath装置

Myriad系统
近日,《新英格兰医学杂志》(NEJM)发表了ENRICH(早期微创ICH清除)试验的结果,这是首个改善功能和经济结局的ICH阳性试验。该试验表明,与当前基于指南的标准治疗(单纯药物治疗)相比,使用BrainPath和Myriad技术对ICH患者进行早期MIPS具有安全性和优势。

对于此次合作,Viz.ai首席执行官兼联合创始人Chris Mansi博士表示,“ICH是治疗花费最高、最致命的疾病之一,ENRICH试验终于带来了与之相关的积极治疗数据。我们很高兴能与NICO合作,利用我们广泛部署的AI平台来帮助神经外科医生做出决策,改善ICH患者的预后。”
NICO Corporation总裁兼首席执行官Jim Pearson表示,“我们的专利技术、与Viz.ai的合作以及ENRICH试验的结果正在改变ICH的治疗方式。AI模块Viz ICH和Viz ICH Plus可增强患者护理,利用AI支持的协同治疗,在患者最需要的时候为他们提供所需的治疗支持。”

NICO(https://niconeuro.com/)是革命性微创神经外科领域的世界领先企业,其在临床和经济方面经过验证的专利技术正在创造新的手术选择,增加治疗可能性,并为患者、医生和医疗中心带来更大的价值。

Viz.ai(https://www.viz.ai/)是使用AI算法和机器学习来提高诊断和治疗速度的先驱,其服务范围覆盖美国和欧洲1500多家医院和卫生系统的超2.3亿人,致力于扩大挽救生命治疗的获取途径,并通过AI助力医疗协作,减少患者获得挽救生命治疗的医疗系统相关延迟。
![]()
声明:脑医汇旗下神外资讯、神介资讯、神内资讯、脑医咨询、Ai Brain 所发表内容之知识产权为脑医汇及主办方、原作者等相关权利人所有。
投稿邮箱:NAOYIHUI@163.com
未经许可,禁止进行转载、摘编、复制、裁切、录制等。经许可授权使用,亦须注明来源。欢迎转发、分享。




