
无论是外科夹闭亦或是介入治疗,分叉部宽颈动脉瘤的治疗效果和安全性仍然面临着诸多挑战。瘤内扰流装置WEB™的出现则提供了一种全新的选择,在世界多项临床试验中,WEB™均能安全且有效地治疗复杂动脉瘤。
本期神介资讯病例夹为大家带来蒋永祥教授应用WEB™治疗病例合集及随访结果。
蒋永祥
重庆医科大学附属第二医院
重庆医科大学附属第二医院副主任医师,医学博士,硕士生导师。
第一届海峡两岸医药卫生交流协会神经外科专业委员会脑缺血外科治疗学组委员。
重庆市医学会神经外科介入学组副主任委员。
重庆市医学会神经外科脑血管外科治疗学组委员。
瘤内扰流装置WEB™手术带教导师。
从事神经外科工作21年,长期从事脑血管病的外科治疗及颅底显微外科的临床治疗工作,包括颅内动脉瘤、脑血管畸形的显微手术及神经介入手术,颅内复杂动脉瘤、烟雾病、脑血管狭窄的颅内外血管重建手术、复杂颅底肿瘤的显微手术。
主持和参与多项国家自然科学基金等科研基金,发表多篇SCI论文。
患者女性,68岁 。
主诉:头晕7天。
现病史:患者入院前7天于家中无明显诱因出现头晕,后自行好转,无恶心、呕吐,无四肢抽搐,无大小便失禁,患者当时未予重视,未至医疗机构诊治。3天前患者头晕无明显好转,伴间断性视觉模糊,遂就诊于当地医院。完善头颅CTA提示:基底段膨胀,为进一步治疗。遂以“动脉瘤”收入我科。
判断:基底动脉尖部动脉瘤WEB™术。


经测量可得动脉瘤宽度平均值为7.28mm,动脉瘤最小高度为4.91mm,参考尺寸选择表,选择WEB™ SL 8*4。


绝对瘤颈宽,右侧P1与瘤颈部分融合,容易疝出从而遮挡P1,应提前进行“分支保护”。


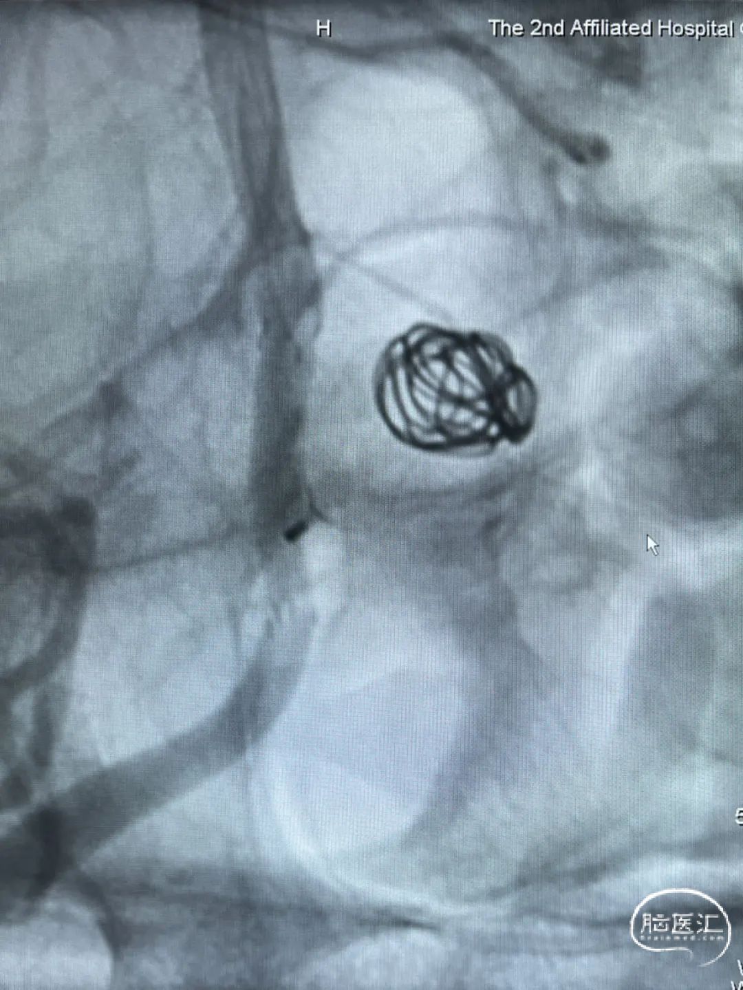
经VIA™微导管推送并释放WEB™ SL 8*4。





6个月后随访,Boss评分0级,动脉瘤完全闭塞不显影,WEB™完全栓塞。





患者男性,58岁 。
主诉:呕吐后头痛2+天。
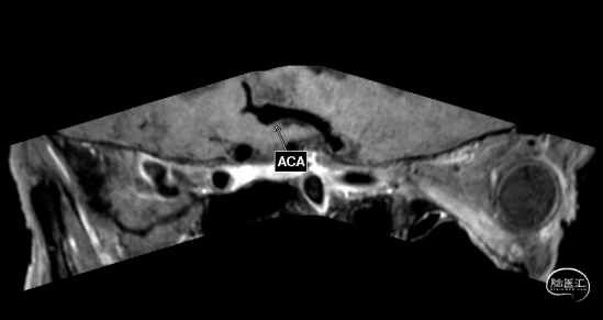
现病史:2+天前,患者饭后突发呕吐,为胃内容物,非喷射性,未见明显咖啡色物体,呕吐后患者自觉头痛胀痛,双额部为主,无肢体抽搐,无意识丧失,大小便失禁等;患者未予重视,未行特殊处理;头痛症状未见明显好转,遂于昨日于当地医院就诊,完善头部MR及CTA提示蛛网膜下腔出血,前交通动脉瘤;予以抗纤溶、止痛等对症处理;患者家属为求进一步治疗,遂120转院至我科,急诊以“前交通动脉瘤破裂伴蛛网膜下腔出血”收入我科。
经测量可得动脉瘤宽度平均值为7.0mm,动脉瘤高度为5.18mm,选用WEB™ SL 8*4。


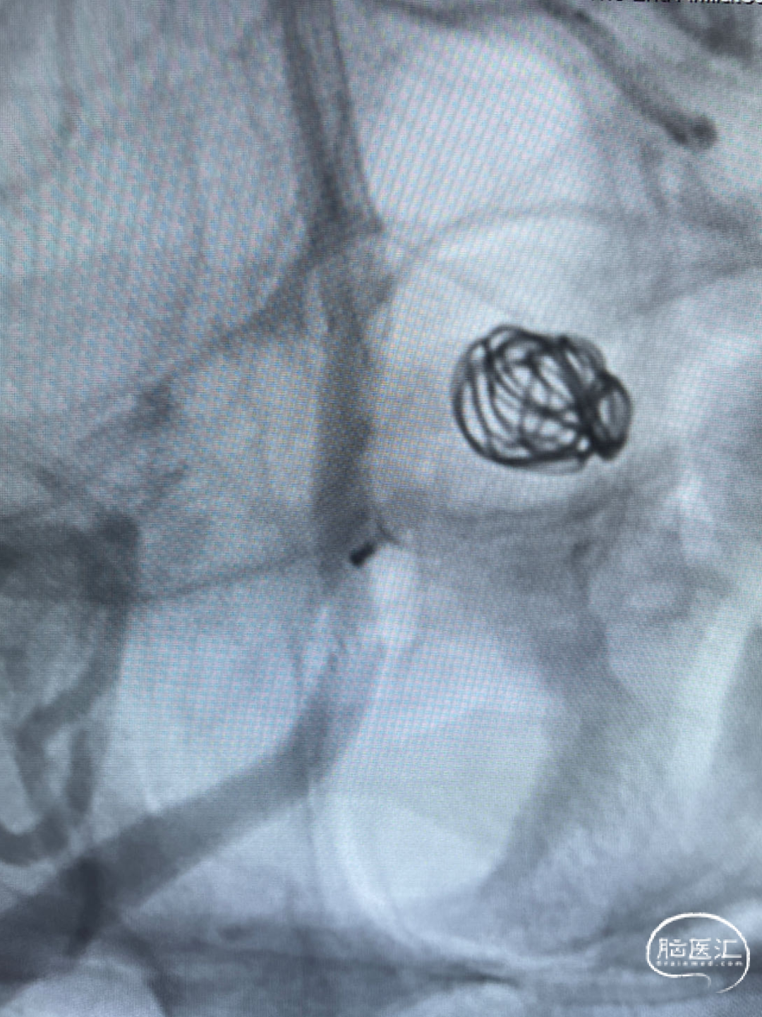
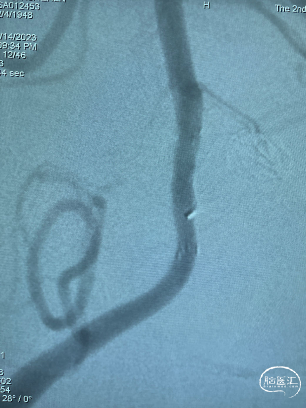
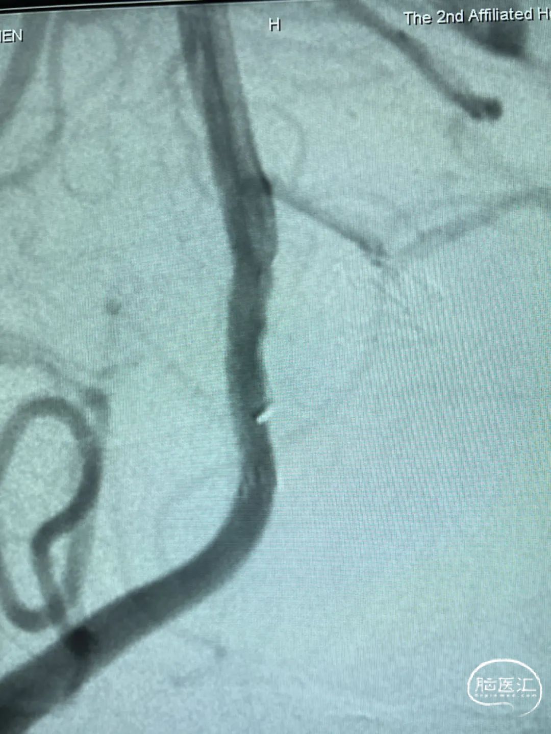
WEB™经由VIA™微导管送入动脉瘤瘤腔并完全释放。术后即刻造影显示WEB™尺寸合适,贴壁良好,分支等血流通畅。解脱后再次造影,可见动脉瘤瘤腔内有明显造影剂滞留。



术后3个月随访,WEB™完全栓塞,动脉瘤完全闭塞。




患者女性,63岁。
主诉:因“突发爆裂样头痛2天”入院。
现病史:2天前突发爆裂样头痛,颈僵,伴呕吐,以“蛛网膜下腔出血”收入住院。
既往史:有高血压病史15年;原发性高血压3级,极高危。
查体:GCS评分15分(E4V5M6),Fisher分级2级,H-H分级1级。
辅助检查:
1.蛛网膜下腔出血
2.双肺少许炎性改变及纤维灶
3.双肺胸膜局限性稍增厚
4.主动脉弓管壁钙化
5.双侧颈内动脉虹吸部管壁钙化,管腔轻度狭窄
6.右侧颈内动脉C7段、左侧大脑中动脉M1段、基底动脉末端动脉瘤



动脉瘤一
动脉瘤二
动脉瘤三
动脉瘤一:基底动脉末端动脉瘤
(小脑上动脉瘤,侧壁)
动脉瘤一:基底动脉末端动脉瘤,由左侧大脑后动脉与左侧小脑上动脉瘤夹角处动脉瘤形成且为不规则状;瘤体上有子囊形成,左侧小脑上动脉从近心端瘤颈处动脉瘤瘤体上发出,动脉瘤与载瘤动脉近直角。




经测量可得动脉瘤宽度平均值为8.88mm,动脉瘤最小高度为7.71mm,瘤颈约为4.03mm。参考尺寸选择表,选择WEB™ SL 10*5,VIA™ 33微导管。


缓慢推出WEB™从种子至萌芽状态,继续向瘤腔内远端缓慢推送WEB™至萌芽至开花间状态;将WEB™和VIA™送至瘤顶,固定WEB™推送杆回撤VIA™,WEB™完全释放。




经造影可见WEB™尺寸合适,贴合瘤壁,小脑上动脉分支,大脑后动脉分支等血流通畅。解脱后,再次造影和Dyna-CT评估,可见动脉瘤瘤腔内有明显造影剂滞留,小脑上动脉瘤显影良好,分支血管血流正常。



此为左侧大脑中动脉瘤,近端血管极为迂曲,瘤体有突出的子囊,动脉瘤与载瘤动脉有一定夹角,动脉瘤呈上窄下宽形状,M2段下干从瘤颈近端发出。


动脉瘤平均宽度5.41mm, 最小高度为3.71mm,瘤颈约为4.94mm,使用WEB™ SL 6*3mm瘤内扰流装置进行栓塞治疗。


释放WEB™:缓慢推出WEB™从种子至萌芽状态,继续向瘤腔内远端缓慢推送WEB™至萌芽至开花间状态;将WEB™和VIA™送至瘤顶,固定WEB™推送杆回撤VIA™,WEB™完全释放。




经造影可见WEB™尺寸合适,贴合瘤壁,覆盖瘤颈,且下支M2段分支及其他分支血管血流通畅。

解脱后,再次造影和Dyna-CT评估,可见动脉瘤瘤腔内有明显造影剂滞留,分支血管血流正常。






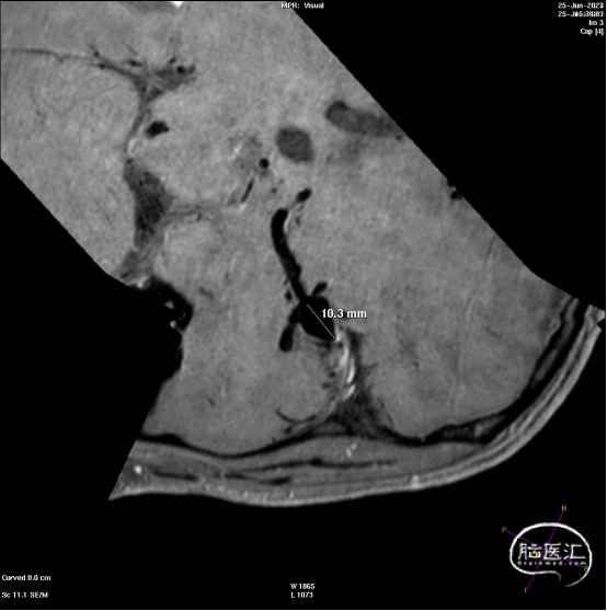
右侧后交通段动脉瘤,大小约13.36mm*13.26mm,瘤体上有子囊形成,床突段至后交通段血管稍狭窄,脉络膜前动脉距瘤颈部有一定距离。


Headway 17微导管塑形后置入动脉瘤瘤体内,半释放18mm*44cm complex弹簧圈成篮,半释放3.5mm*20mm LVIS支架保护瘤颈后完全释放18mm*44cm complex弹簧圈成篮,后依次释放6枚弹簧圈栓塞动脉瘤,最后一枚弹簧圈释放完成后造影,后交通动脉瘤少量造影剂进入,完全释放支架,右侧后交通动脉瘤瘤体内极少量造影剂进入,子囊不显影,Raymond分级3级,同时造影见各主干级分支血管显影良好,遂退出系统。




手术顺利,麻醉满意,术中生命体征平稳。
6个月随访:



术后14个月随访:



基底动脉末端动脉瘤不显影,动脉瘤完全闭塞,WEB™完全栓塞。

大脑中动脉瘤充分栓塞,瘤颈残留,WEB™充分栓塞。WEB™被压缩且位置偏转,分支血管有影响。

右侧后交通段动脉瘤完全闭塞。
患者女性,75岁 。
主诉:突发意识障碍后头痛、头晕2天。
现病史:入院前2天,患者无明显诱因出现意识障碍后摔倒,伤致头枕部,约20多分钟后患者逐渐清醒,诉头痛、头晕,无呕吐,无大小便失禁,无肢体偏瘫等症状,遂由家属联系120送入当地医院,完善头部CTA后提示:椎动脉V4段动脉瘤伴蛛网膜下腔出血,现为求进一步治疗就诊于我院急诊,急诊以“蛛网膜下腔出血”收入我科。


经测量可得动脉瘤宽度平均值为7.0mm,动脉瘤高度为7.4mm,最终选择WEB™ SL 9*6。

动脉瘤远端子囊先进行填圈,近端动脉瘤植入WEB™。



术后6个月影像提示血栓形成,动脉瘤完全闭塞,WEB™完全栓塞。









患者女性,55岁。
主诉:突发爆裂样头痛4天,发现颅内动脉瘤2天。
现病史:4天前,患者上厕所时出现爆裂样头痛、大汗淋漓、呕吐,未出现意识障碍、大小便失禁、四肢运动障碍、视力下降、视野缺失等症状,遂至当地社区医院就诊,予以输液治疗(具体不详)后自觉缓解,遂出院,1天前患者无明显诱因再次出现爆裂样头痛,较前加重,未出现意识障碍,大小便失禁等症状,遂至当地医院就诊,完善头颅CT、CTA检查提示:蛛网膜下腔出血,双侧大脑中动脉瘤(M1分叉前),左侧颞叶出血,予以对症治疗后,为进一步诊治,遂至我院,急诊以“颅内动脉瘤破裂伴蛛网膜下腔出血”收入我科。




经测量可得动脉瘤宽度平均值为9.1mm,动脉瘤最小高度为8.9mm,最终选择WEB™ SL 11*6。


WEB™经由VIA™微导管缓慢推送至微导管头端。缓慢推出WEB™从种子至萌芽状态,继续向瘤腔内远端缓慢推送WEB™至萌芽至开花间状态;将WEB™送至瘤顶,固定WEB™推送杆回撤VIA™,WEB™完全释放。


经造影可见WEB™尺寸合适,贴合瘤壁。解脱后,再次造影可见动脉瘤瘤腔内有明显造影剂滞留。WEB™对分支血流有影响,使用支架保护分支。


术后6个月随访造影,WEB™充分栓塞,瘤颈残留,WEB™被压缩。




患者男性,57岁。
主诉:突发头痛14小时。
现病史:入院前14小时前,患者无明显诱因出现头痛,性质呈持性性胀痛,无晕厥,无四肢抽搐、口吐白沫、二便失禁、无双手麻木、无肢体偏瘫、言语不利,无口角歪斜等,病后就诊于当地医院,住院完善头颈部CTA提示:1.蛛网膜下腔出血;2.右大脑中动脉M1段动脉瘤。现为求进一步治疗就诊于我院,门诊以“右侧大脑中动脉M1段动脉瘤破裂伴蛛网膜下腔出血”收入我科住院治疗。









术后6个月随访造影,动脉瘤闭塞,WEB™完全栓塞。



声明:脑医汇旗下神外资讯、神介资讯、脑医咨询、Ai Brain 所发表内容之知识产权为脑医汇及主办方、原作者等相关权利人所有。
投稿邮箱:NAOYIHUI@163.com
未经许可,禁止进行转载、摘编、复制、裁切、录制等。经许可授权使用,亦须注明来源。欢迎转发、分享。
投稿/会议发布,请联系400-888-2526转3。





