
病例展播
患者:男性,62岁。
主诉:因“ 发现左侧大脑中动脉闭塞6年,再发肢体乏力1次”入院。
现病史:
患者2024.03.24早晨发病,患者于早晨醒后突发右侧肢体活动障碍,持续约数分钟后自行好转,无言语不清,无视物成双,无肢体麻木、抽搐,无吞咽困难及饮水呛咳等。
患者2024.03.24 13:00到达我院急诊,头颅CT:左侧额颞枕叶稍低密度影,双侧额顶叶皮层下、基底节区及半卵圆中心缺血灶,予以依达拉奉清除自由基、丁苯酞改善循环等治疗,收入院。
既往史:
2018年脑梗发现左侧大脑中动脉M1闭塞,遗留右侧肢体活动障碍,后长期规律服用阿托伐他汀钙片、硫酸氢氯吡格雷。
高血压,脑梗死病史6年,当时发现大脑中动脉闭塞。
个人史:
吸烟30余年,1包/天;饮酒30余年,4两黄酒/天。
入院查体:
神清,气平,语明,应答合理。粗测双瞳等大等圆,直径0.2cm,对光反射(+),双眼各向活动不受限,双侧面部针刺觉对称,双侧鼻唇沟对称,两侧软腭抬举正常,双侧咽反射存在,伸舌右偏。
颈软,两肺呼吸音粗,未闻及明显干湿性啰音。心率61次/分,律齐。腹软,无压痛。四肢肌张力正常,右侧肢体肌力V-级,左侧肢体肌力V级,双侧肢体针刺觉对称存在,双上肢腱反射(++),双下肢腱反射(++)。
双侧babinski征(-),脑膜刺激征(-),血压 151/79mmHg。
辅助检查:血液检查、颈部血管超声、心脏超声、心电图等检查无特殊。
➢ 头颅CT、CTP
左侧大脑中动脉闭塞,左侧大脑中动脉供血区存在低灌注区。


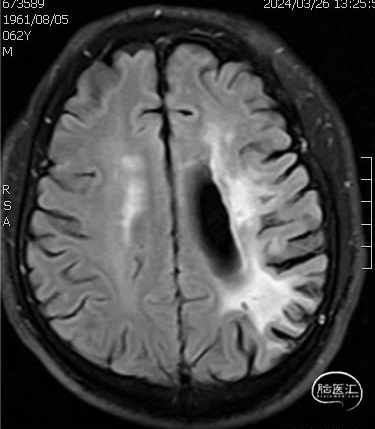
➢ 头颅MRI
左侧顶枕叶陈旧性梗塞,未见新发梗塞病灶。


➢ 头颅高分辨磁共振
管壁高分辨磁共振提示闭塞段斑块有强化,闭塞段不长。



➢ 脑血管造影



➢ 手术指征
患者术前生活基本正常,mRS评分≤2;
术前存在与闭塞部位相关的TIA症状发作;
6年前左侧大脑中动脉闭塞,规律服用抗血小板/他汀治疗;
CTP提示左侧大脑中动脉供血区存在大片低灌注区。
➢ 手术策略
使用支撑性较好的长鞘、通过性较好的中间导管靠近闭塞病变处提供良好支撑;
微导丝配合微导管探路,穿越闭塞段后置于闭塞段远端相对较直、较粗的血管;
通过后予以小球囊预扩后视具体情况后使用其它球囊。
通桥白驹®颅内球囊扩张导管 1.25*8、1.5*10mm
6F金属长鞘
Stiff导丝
泥鳅导丝
0.014inch微导丝
自膨支架 4*39mm
经Stiff导丝更换6F金属长鞘,泥鳅导丝引导中间导管至左侧C2段;0.014inch微导丝导引微导管越过左侧大脑中动脉M1段闭塞病变段。

微导管造影提示位于血管真腔。

微导丝交换,分别以通桥白驹®颅内球囊扩张导管 1.25*8、1.5*10mm球囊扩张,复查造影血管狭窄程度较前好转。


经微导丝交换支架微导管,沿微导管送入4*39mm自膨支架至左侧大脑中动脉M1段闭塞病变处,支架成功打开,贴壁良好,支架内血流通畅。

➢ 术后造影


➢ 术后情况
患者术后未再次出现右侧肢体乏力情况,无其它头痛、头晕等不适。
术后复查头颅CT无出血,查体:无神经系统新发阳性体征。
病例小结
有研究表明发病超过24小时的大血管闭塞称为非急性大血管闭塞;闭塞时间超过4周以上的称为大血管慢性闭塞患者。慢性闭塞后,侧支循环不能满足大脑半球血供,影响脑梗死后康复治疗效果,甚至再发脑梗死。
颅内外大动脉慢性闭塞,经规范药物治疗仍有症状波动及症状恶化,影像学评估责任血管存在低灌注区,CTP评估处于II期的情况可考虑行介入再通。时间越长,开通的可能性越低。3个月以内开通的可能性为90.9%;3个月-1年开通的成功率为66.7%;1年以上开通的可能性非常低。术前可结合高分辨MRI判断血管闭塞的时间,管壁明显机化,则闭塞时间较长,管壁存在且塌陷则闭塞时间较短。
术中使用了通桥白驹®颅内球囊扩张导管,具有较好的通过性及回抱性能好,规格型号齐全,本例使用了小型号1.25*8mm、1.5*10mm,均具有良好到位与扩张性,安全性能好。
手术指导
李刚
同济大学附属东方医院
教授,主任医师,博士研究生导师,现任同济大学附属东方医院副院长、神经内科主任、脑卒中中心主任。
毕业于复旦大学(PhD)、德国马尔堡大学(MD)和哈佛大学医学院(GCSRT),麻省总院临床访问学者。
中华医学会神经内科分会脑血管专业组委员。
上海市医学会神经内科分会脑血管学组组长。
中国卒中学会神经重症分会委员。
中国卒中学会远程医疗分会委员。
青年理事会常务理事。
上海市医学会神经内科专业委员会委员。
上海市神经科医师协会委员。
上海市浦东新区医学会神经内科专业委员会主任委员等。
主要从事脑血管病院前院内急救及干细胞技术转化应用的临床与基础研究。牵头脑血管病多中心随机对照临床研究(INTERACT4,OPTIMISTIC等),参与科技部重点研发项目2项(组长、骨干)。
主持国家自然科学基金面上项目3项,以通讯或第一作者在Stroke等SCI期刊杂志发表论文30余篇。
术者简介
肖亚平
同济大学附属东方医院
神经内科副主任医师,医学硕士研究生,毕业于同济大学医学院。
上海医学会脑卒中专科分会青年委员。
神经内科分会脑血管病学组组员。
上海市中西医结合学会介入医学专业委员会青年委员。
专注于脑血管病诊治,擅长颅颈部血管狭窄支架植入术、急性脑梗死颅内动脉开通术、颅内动脉瘤栓塞术等介入手术。
申浩
同济大学附属东方医院
上海市东方医院(南院)神经内科,脑卒中中心副主任医师,同济大学讲师,神经病学硕士,毕业于第二军医大学。
中国老年医学学会神经病学分会委员。
上海市浦东新区脑卒中质控小组秘书。
中国卒中学会认证的“全国百佳取栓治疗金牌医师”。
2022年上海市东方医院“党员之星”、上海市浦东新区卫生健康系统“优秀共产党员”。
擅长脑血管疾病的介入手术治疗,包括颅颈部动脉支架植入术、颅颈部动脉慢性闭塞开通术、颅内动脉瘤栓塞术等,以及急性脑梗死的静脉溶栓、机械取栓等急诊救治;对于颈动脉斑块的规范化治疗有丰富经验。
徐陆冉
同济大学附属东方医院
上海市东方医院(南院)神经内科,主治医师。
主诊脑血管病-介入方向。擅长急性脑梗死血管内治疗、缺血性颅颈部动脉狭窄介入治疗等。
隆昱明
同济大学附属东方医院
上海市东方医院(南院)神经内科,主治医师,医学博士。
主要从事脑卒中相关的介入工作,已完成数百例脑血管造影及颈动脉、椎动脉及颅内血管支架植入手术。

本内容仅供医学专业人士作线上专业交流
本内容不向非医学专业人士开放,敬请理解
讲课内容仅代表专家个人观点,非通桥医疗推广产品
声明:脑医汇旗下神外资讯、神介资讯、脑医咨询、Ai Brain 所发表内容之知识产权为脑医汇及主办方、原作者等相关权利人所有。
投稿邮箱:NAOYIHUI@163.com
未经许可,禁止进行转载、摘编、复制、裁切、录制等。经许可授权使用,亦须注明来源。欢迎转发、分享。
投稿/会议发布,请联系400-888-2526转3。














