患者,男性,40岁,突发右侧上下肢无力,言语含糊经基层医院溶栓后转入我院。
外院核磁显示:左侧侧脑室后角梗塞,MRA显示:C6段以远血管显影浅淡。
转入后,患者肢体较溶栓后略有加重。
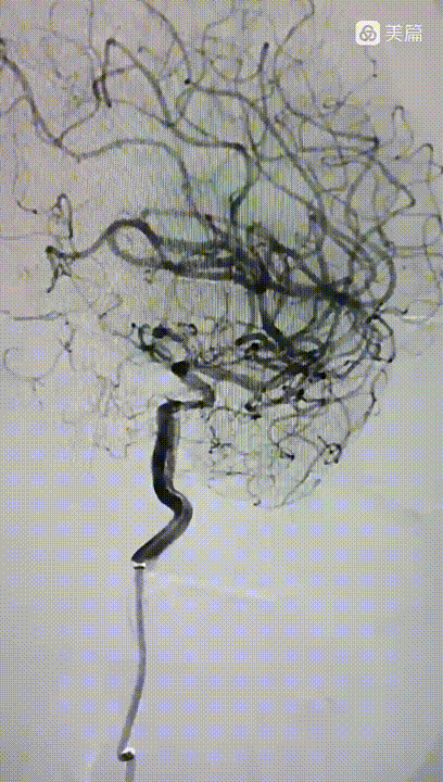
造影显示:左侧颈内动脉C1段呈火苗样窜动,提示:远端闭塞可能。说明病情在持续加重,血栓堆积闭塞了血管。
颈内动脉C1~C3血管迂曲呈u型、S型改变。血液滞留。
泥鳅导丝、130cm西蒙导管、Neuron MAX长鞘同轴到达C1段到达S迂曲。
Neuron长鞘高到位有助于起到近端阻断作用。
引入6F通桥中间导管。打开中间导管尾部裸奔通过S型迂曲到C5段导管。
尾部流血停止,说明到达狭窄或血栓部位,连接50mL注射器踹马桶抽吸,抽出30mL血液,见0.5Cm大小硬质血栓。
再次清理防止碎栓逃逸:抽吸至血流通畅,造影显示血管再通。但极重度狭窄。一抽见真情。
微导丝携带微导管到达大脑中动脉M1段远端。
沿微导丝输送2.5mm颅内白驹球囊扩张狭窄部位
https://video.medtion.com/103e0328fe1a71eebfe74531959c0102/1563eade0ae2418f9bd2258a36eda287-28e934827572099a015340a6839362f5-sd.mp4
撤回球囊造影狭窄明显改善,血管快速且通畅。但仍有狭窄,推注替罗非班10mL。
造影显示血流良好,结束手术。
术后24小时复查CT无明显血栓逃逸梗塞和出血征象。

1.年轻患者,糖尿病,血管迂曲呈S型,四十岁的年龄七十岁的血管。控制血糖、低盐、低脂饮食很重要。
2.造影颈内动脉呈火苗样窜动,与院前影像不一致,说明血栓堆积闭塞了狭窄血管。
3.Neuron MAX长鞘头端柔软,容易通过S型、u型迂曲血管高到位起到近端阻断血流的作用。
4.打开中间导管尾部流血裸奔,血流停止说明到达闭塞或血栓部位。
5.踹马桶负压抽吸,一抽见真情。一次抽出血栓,狭窄露出真面貌。
6.球囊扩张改善血管狭窄,达到血流通畅。

作者简介
赵宝元 主任医师
武威市中医院 神经内科
主任医师。 武威市中医医院脑病科主任。甘肃省陇原人才,武威市中医院脑血管介入团队学科带头人,武威市脑血管介入与卒中早期康复创新工作班组组长。 从事神经内科工作20余年,曾在兰大二院进修神经内科和急诊,中国人民解放第940医院神经内科高级卒中中心、陆军军医大附属新桥医院高级卒中与介入中心学习脑血管介入。 任武威市老年病专业委员会主任委员、武威市中西医结合神经内科专业委员会副主任委员、武威市中西医结合眩晕专业委员会副主任委员、武威市神经内科学会常务委员、甘肃省脑血管专业委员会委员。 开展脑出血微创锥颅引流近500余例,经桡动脉脑血管造影500余例,开展急性脑梗塞血管内机械取栓,动、静脉桥接、颈内动脉狭窄、椎动脉狭窄、锁骨下动脉狭窄或闭塞的血管支架成形术。
声明:脑医汇旗下神外资讯、神介资讯、神内资讯、脑医咨询、Ai Brain 所发表内容之知识产权为脑医汇及主办方、原作者等相关权利人所有。