
病例难点
1
该部位动脉瘤位于前交通动脉,超选部位角度非常刁钻,越过“虹吸弯”后需导丝向前输送带栓塞微导管“调转”导丝头端向后超选。
2
需要导引支架微导管克服迂曲血管条件超选更远端。
3
血管条件弯曲处较多,不仅对导丝的操控性要求较高,且安全性及稳定支撑性是基础。



右滑查看更多
C A S E
本 期 病 例
病史简介
患者:男性,50岁。
现病史:突发头痛伴恶心、呕吐3天。
入院查体:
血压 140/80mmHg,体温 36.4℃,脉搏 84次/分,规则呼吸16次/分。
神志清楚,双侧瞳孔等大等圆,直径约3mm,对光反射存在,颈抵抗3指,双侧鼻唇沟对称,伸舌居中,双肺呼吸音清晰,双肺未闻及干性和湿性啰音,无胸膜摩擦音,心率84次/分,律齐,各瓣膜听诊区未闻及病理性杂音,无心包摩擦音。
腹部柔软,无压痛、反跳痛,双下肢无水肿。四肢肌力5级、肌张力正常,双侧病理征阴性。
术前影像
➢外院影像
2024.03.16 外院头颅CT+CTA示:前交通动脉瘤破裂伴蛛网膜下腔出血。
➢本院影像
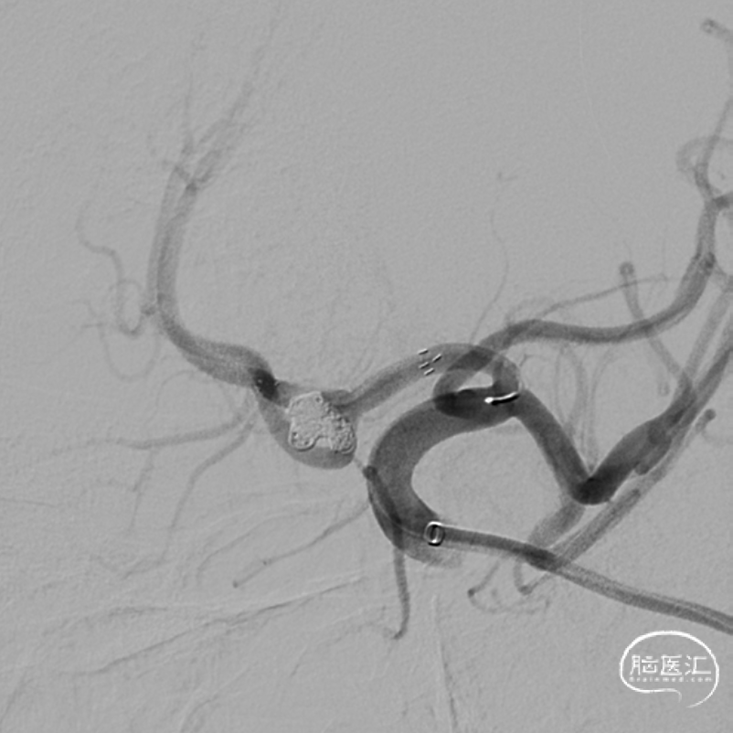
动脉瘤伴有子囊,且血管条件迂曲,动脉瘤角度刁钻,建立通路具有较大的挑战!



超选对侧A2的工作角度,受到众多血管严重干扰。



临床诊断
前交通动脉动脉瘤破裂伴蛛网膜下隙出血。
术中涉及介入器械选择
6F 115cm Tethys®中间导引导管
DCwire™ 微导丝(215cm-0.014inch-标准版)
Jasper®弹簧圈 4*10×若干
其他弹簧圈1枚
支架微导管
栓塞微导管
激光雕刻辅助支架 4*23
手术过程
Tethys®中间导引导管输送到位,稳定通路。颈内动脉末端与A1间夹角及半径都很小,采用“微构”设计的DCwire™微导丝通过对导丝的扭控调整,克服弯曲与分支精准超选成功进入A1 ,输送支架微导管到位。
微导管路图下,DCwire™微导丝成功引导支架微导管到位。
本例病例整体血管路径迂曲且病变位置较远,导丝需要超选远端,使用导丝整体柔韧,扭控性能优异。

继续使用DCwire™微导丝将栓塞微导管到达动脉瘤内,精准扭控,头端柔软安全。
支架辅助下通过栓塞微导管向动脉瘤腔内送入Jasper®弹簧圈 4*10,一圈填塞两个子囊和瘤体。
后继续送入Jasper®弹簧圈若干,最终稳定致密栓塞。



术后情况
术后正侧位造影。


病例总结
临床中,对神经微导丝的需求既要兼顾柔软安全性的前提下,又需要良好的扭控性能,平衡两者之间的性能往往是导丝满足病例建立通路需求的重要因素。尤其是本例病例,动脉瘤伴有子囊,血管条件迂曲,动脉瘤角度刁钻,无论是安全性及操控性上,对整体建立通路具有较大的挑战!
术中应用了了一款“微构”设计的神经微导丝-DCwire™微导丝,通过其微构设计的结构及材料组合设计,平衡性能,满足临床需求。DCwire™微导丝远端柔软,术中操控安全,精准操控,分别带两根微导管到位超选目标位置,性能稳定!微中见大,越小的器械,对精密度要求越高,且工艺要求更高,国产微导丝技术的进步,代表着中国神经介入事业的专注与努力,会越来越好!
术者简介
汪雷
宜昌市中心人民医院
三峡大学第一临床医学院神经病学研究所所长,硕士生导师。
宜昌市中心人民医院神经外科主任、脑血管病中心主任。
中国医师协会神经介入专业委员会委员、中国卒中学会复合介入神经外科分会常务委员、中国研究型医院学会脑血管病专业委员会委员、湖北省医学会神经外科分会委员、湖北省医师协会神经外科分会常务委员、湖北省医师协会神经介入专业委员会常务委员、湖北省微循环学会神经专业委员会副主任委员、湖北省神经科学学会神经外科专业委员会脑血运重建与脑缺血学组第一届副主任委员、湖北省脑血管病防治学会第一届理事会常务理事、神经介入专业委员会常务委员、心源性卒中专业委员会常务委员、湖北省卒中学会神经外科分会委员、湖北省儿科医疗联盟神经专科联盟神经外科学组副组长、湖北省医学生物免疫学会神经免疫专业委员会常务委员、湖北省中西医结合学会神经外科专业委员会委员。
从事神经外科临床与科研工作20年余,主要从事脑、脊髓血管性疾病的诊断及治疗。擅长颅内动脉瘤、动静脉畸形、硬脑膜动静脉瘘的介入及手术治疗;颈动脉狭窄内膜剥脱术及颈动脉慢性闭塞的复合开通手术。脑血管疾病介入加手术年治疗量600余例,在省内位居前列。
马金阳
宜昌市中心人民医院
宜昌市中心人民医院神经外科副主任医师,医学博士。
湖北省卒中学会青年理事会委员、湖北省神经介入专业委员会委员、宜昌市医学会神经学会委员。
2005年毕业于武汉大学医学院,先后获评“医院星级青年岗位能手、十佳青年岗位标兵、青年科技拔尖人才、优秀医务工作者”。2012年赴北京天坛医院进修学习脑血管病的介入及显微手术,2014年赴大连中心医院学习颈动脉狭窄手术,主持和参与省市级科研项目3项,发表SCI等核心论文10余篇,参编论著1部。
擅长出血性脑血管疾病如颅内动脉瘤、脑动静脉畸形、硬脑膜动静脉瘘、高血压脑出血的介入及显微手术,以及颈动脉狭窄的内膜剥脱手术。
黄松
宜昌市中心人民医院
宜昌市中心人民医院副主任医师,医学硕士
工作于三峡大学第一临床学院-宜昌市中心人民医院神经外科脑血管病区,从事神经介入十余年。
中国医药卫生文化协会脑血管健康促进分会委员、湖北省脑血管病防治学会神经介入专业委员会委员、宜昌市医学会神经学分会委员。
2011年赴安徽省立医院神经导航中心学习神经精准导航手术技术。2018年赴加拿大多伦多西部医院神经介入中心学习脑血管病介入诊治及手术技术。擅长颅内动脉瘤栓塞、支架置入、血流导向置入;脑血管畸形栓塞、动静脉瘘栓塞、肿瘤栓塞等介入手术;以及脑血管病显微手术和神经导航微创手术。
具有丰富的临床经验,发表SCI、国内核心期刊等十余篇文章,科研立项一项。获得院科技人才奖、优秀留学生带教老师等荣誉。
符常涛
宜昌市中心人民医院
宜昌三峡中心人民医院神经外科,主治医师,毕业于武汉大学医学院。
熟悉高血压脑出血、脑血管病变、功能神经外科疾病等神经外科常见病多发病的诊断和治疗。
专业方向为脑血管病的显微外科治疗以及介入治疗。发表论文数篇。
特别说明:本页面所包含的文字、图片、音视频等内容仅供医学专业人士参考。本页面所包含的内容,仅为专家个人观点,不能代替医疗专业人士的判断。本页面不向非医学专业人士开放,敬请理解。

声明:脑医汇旗下神外资讯、神介资讯、脑医咨询、Ai Brain 所发表内容之知识产权为脑医汇及主办方、原作者等相关权利人所有。
投稿邮箱:NAOYIHUI@163.com
未经许可,禁止进行转载、摘编、复制、裁切、录制等。经许可授权使用,亦须注明来源。欢迎转发、分享。
投稿/会议发布,请联系400-888-2526转3。












