
通桥麒麟™血流导向装置
(远端闭合编织结构的全显影密网支架)

产品特性:
1.
显影性
2.
推送性
3.
贴壁性
4.
径向支撑力
5.
网格密度

显影性
![]()
通体显影:镍钛合金包裹铂金
近远端各三个显影点











推送性
![]()
支撑性和柔顺性平衡(海波管+润滑管结构)

释放80%左右,可再次回收

推送杆头端导丝长度10mm,预塑形55°,可再塑形



贴壁性
![]()
远端闭合设计,头端更好打开


超弹性镍钛选材:在不同直径血管内保持一致的贴壁性


支架近远端具有喇叭口
远端闭合编织结构

径向支撑力适中
![]()
优化的编织设计,兼顾贴壁性与径向支撑力
稳定的编织成角(θ=30°~45°),确保支架有足够径向支撑力
粗细丝混编,兼顾推送性、径向力、柔顺性的平衡



(径向力测试—— 垂直施加力,使不同密网支架产生同样的形变,比较其施加的力的大小,施加的力越大,说明其径向支撑力越强,测试型号:4.5*35)
金属覆盖率高且稳定
![]()
多种股数编织,确保不同规格支架金属覆盖率稳定均一

在适用血管内金属覆盖率范围为26%-33%

通桥麒麟™血流导向密网支架
![]()
远端闭合编织结构的全显影密网支架

尺寸选择

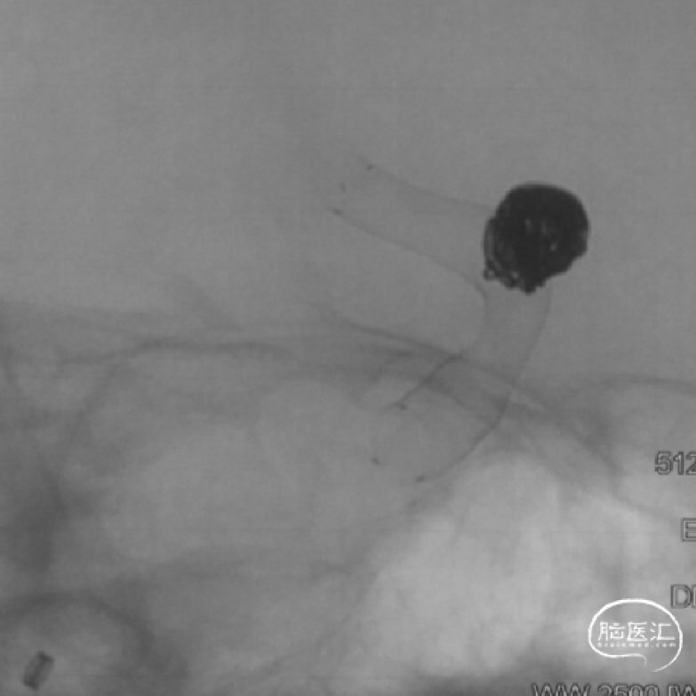
单中心小动脉瘤治疗经验
![]()


































载瘤动脉近端直径4.24mm,远端直径3.05mm,选择通桥麒麟™血流导向密网支架 TQL-40-45。


微导丝囊内成绊,超选到大脑中动脉M1远端。
撤出微导丝,送入弹簧圈微导管至瘤腔内。
固定输送系统,回撤微导管,逐步释放通桥麒麟™血流导向密网支架头端,至头端张开为V型。
继续送入弹簧圈填塞。
再次造影确认打开情况,用微导丝继续按摩支架尾端。









术者简介
李强
海军军医大学第一附属医院
海军军医大学附属长海医院脑血管病中心副主任,副主任医师,副教授,硕士研究生导师
美国加州大学旧金山分校访问学者
国家卫健委能力建设和继续教育神经介入专委会委员
中国医师协会介入医师分会神经介入学组副组长
中国中西医结合学会神经外科专委会委员
上海市医学会神经外科专委会委员
脑血管病学组副组长

本内容仅供医学专业人士作线上专业交流
本内容不向非医学专业人士开放,敬请理解
讲课内容仅代表专家个人观点,非通桥医疗推广产品
声明:脑医汇旗下神外资讯、神介资讯、脑医咨询、Ai Brain 所发表内容之知识产权为脑医汇及主办方、原作者等相关权利人所有。
投稿邮箱:NAOYIHUI@163.com
未经许可,禁止进行转载、摘编、复制、裁切、录制等。经许可授权使用,亦须注明来源。欢迎转发、分享。
投稿/会议发布,请联系400-888-2526转3。






