
第一作者:易婷玉1,隋轶2
通讯作者:陈文伙1,3,隋轶2
作者单位:1漳州市医院神内脑血管病介入科,2沈阳市第一人民医院,3福建医科大学附属协和医院脑血管病科
Yi, Tingyu et al. “Diagnostic Performance of Carotid Ring Sign on CT-Angiography in Internal Carotid True Occlusion.” Stroke vol. 55,4 (2024): 1025-1031. doi:10.1161/STROKEAHA.123.045156
颈内动脉(ICA)的假性闭塞(PO)和真性闭塞(TO)的鉴别对于制定急性缺血性卒中患者的血栓切除术治疗计划非常重要。虽然造影剂延迟充盈征已区分颈动脉PO和TO,但是造影剂延迟充盈征只能通过多时相CTA判断。在本研究中,我们假设从单时相CTA中很容易获得的颈动脉环征,可以充分区分颈动脉TO和PO。
通过基于医院的网络登记性数据库,对连续收治的1420例接受血管内治疗的前循环卒中患者进行筛选。通过回顾性筛查后,200例CTA近端ICA不显影的患者被纳入分析,通过DSA检查来确定ICA颈段PO或TO。评估并比较了动脉相CTA上颈动脉环征和多时相CT血管造影上延迟造影剂填充的诊断颈动脉真假性闭塞的能力。
共200例患者入组,112名为ICA-PO,88名为ICA-TO。更多TO患者出现颈动脉环征(70.5% vs 6.3%;P<0.001),更多的PO患者出现造影剂延迟填充征(94.9% vs 7.7%;P<0.001)。颈动脉环征诊断ICA-TO的敏感性和特异性分别为0.70和0.94,而延迟造影剂填充征判断ICA-PO的敏感性和特异性分别为0.95和0.92。
颈动脉环征是诊断ICA-TO的有效影像学标志。颈动脉环征可以补充造影剂延迟填充征去区分TO和PO,特别是在只有单时相CTA的中心。

颈内动脉(ICA)真性闭塞(TO)和假性闭塞(PO)的鉴别对于急性缺血性卒中(AIS)的血管内治疗至关重要。计算机断层扫描血管造影(CTA)已被建议作为评估血栓长度、血块负荷、侧支循环和血管内治疗决策的可靠工具。多时相CTA(mCTA)产生的延迟造影剂填充在区分PO和TO方面显示出足够的诊断价值。然而,这项小规模研究可能需要进一步验证,而且经验丰富的神经科医生甚至可能会错过管腔内对比染色微弱变化的视觉评估而产生漏诊,更重要的是,许多卒中中心并没有办法进行多时相CTA检查。在本研究中,我们假设单时相CTA衍生的颈动脉环征可以有效区分颈动脉TO和PO。
该研究基于2018年6月至2022年2月期间连续接受血管内治疗的大血管闭塞患者的前瞻性、基于医院网络前瞻性登记性血管内治疗数据库登。患者入院后,通过电子数据库常规收集患者特征、医疗和血管内干预、围手术管理和临床预后等信息。该报告遵循了STARD(诊断准确性研究报告标准)的诊断准确性研究指南。
TO、PO、颈动脉环征标志和延迟造影剂填充的定义
采用数字减影血管造影(DSA)作为诊断近端颈内动脉真性闭塞或假性闭塞的参考标准成像。DSA上显示C1近端ICA闭塞,且无造影剂通过C1至远端或导丝或导管无法通过,称为颈动脉真性闭塞(ICA-TO)。CTA上的C1近端ICA闭塞被定义为动脉期CTA上的颈ICA近端节段完全不显影。ICA-TO被定义为CTA和DSA均显示闭塞。我们将CTA颈动脉环征定义为轴向最大强度投影图像上ICA C1最大狭窄水平下血管壁一半及以上周长的环状外观(图1A)。CTA颈动脉环征可以是增强的或非增强的。我们将延迟造影剂填充现象定义为mCTA的第二时相显示在远端ICA C1段延迟显示动脉造影剂,而不是在mCTA的第一时相。

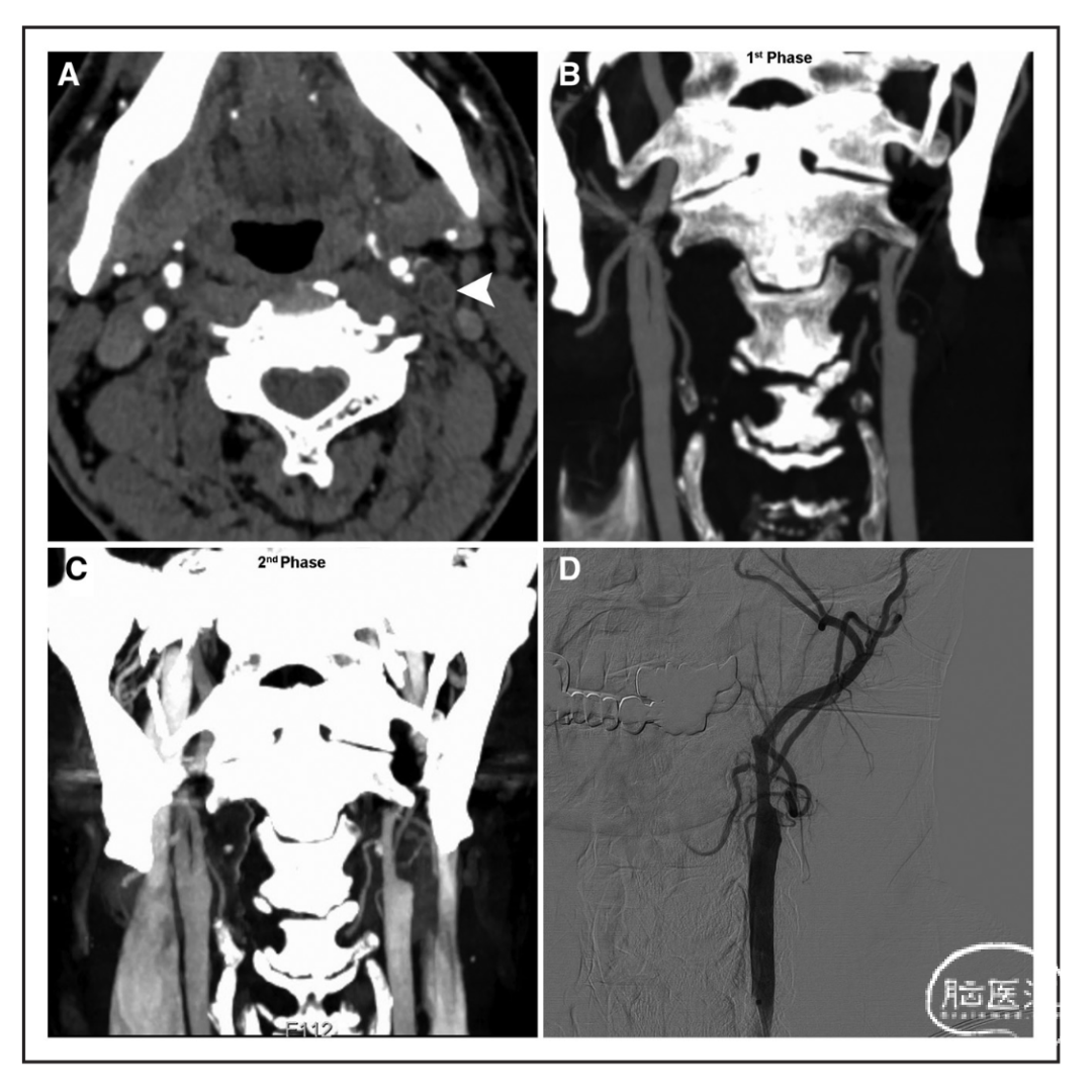
图1. 一个典型病例,左颈内动脉(ICA)C1段真性闭塞的患者,颈动脉环征呈阳性,延迟造影剂填充呈阴性。在轴向最大强度投影图像(箭头,A)显示颈动脉环征阳性。与多时相CTA的第一时相相比,第二时相(C)没有显示造影剂填充延迟,左侧颈动脉闭塞在CTA早期和晚期(C和D)均位于同一位置,这一点通过数字减影血管造影和血管内操作(D)得到证实。

图2. 一个代表性病例,一名左颈内动脉(ICA)C1段假性闭塞患者,颈动脉环征呈阴性,造影剂延迟充盈征阳性。在多时相CTA的第一时相(箭头,A)中,在轴向最大强度投影图像上未检测到颈动脉环征标志和造影剂填充,而在左颈内动脉近端C1段的第二时相中发现延迟造影剂填充(箭头)。矢状图像显示造影剂填充从近端(第一阶段)到远端(第二阶段)ICA C1段明显延迟上升(B)。数字减影血管造影图像显示C3段及以上的ICA闭塞(C)。血管内治疗后取得良好再通,改良的脑梗塞溶栓评分(mTICI)2c(D)。
纳入标准如下:(1)由于前循环大血管闭塞而导致AIS,(2)动脉期CTA上显示C1闭塞,(3)在急性期接受了血管内治疗。
排除标准如下:(1)CTA成像质量不足以进行分析,(2)证明C1闭塞不是责任血管。
该研究使用了两台CT机。对于西门子扫描仪,CTA参数为切片厚度0.75mm,增量0.5mm,管电压80kV(参考mAs,129–72mAs),重建视场200mm。,对于GE Revolution扫描仪,CTA参数为切片厚度0.625mm、增量0.625mm、管电压80至120kV、重建视场250mm。对于两台扫描仪,静脉注射造影剂后均应用自动推注跟踪技术(100Hu,流速4.5–6mL/s,造影剂体积,45–60mL;NaCl体积,45–60mL)。对于动脉期,采用造影剂跟踪触发方法。监测部位是主动脉弓水平的升主动脉。注射造影剂后,延迟8秒才开始监测。每1.5秒进行一次监测,触发阈值设置为100HU(通常为1-3圈)。一旦触发,在启动颅骨定向动脉期扫描之前会有额外的3秒延迟,扫描范围从气管分叉处一直延伸到头骨顶点,扫描时间大约为3s。对于静脉期,有5.5秒的延迟,扫描范围从颈总动脉分叉处延伸到颅骨顶点。延迟阶段有7秒的延迟,扫描范围从C1椎骨到头骨顶点。
定量变量表示为平均值和SD或中位数和四分位距,分类变量表示为N数和频率(%)。使用Student t检验、Pearson χ2检验和Cochran Mantel Haenszel χ2比较TO组和PO组之间的差异。为了评估不同成像特征区分TO和PO的诊断能力,计算受试者工作特征曲线下面积。采用DeLong法比较颈动脉环形征与延迟造影剂充盈曲线下面积。所有统计推断均为双侧,P<0.05定义为显著。所有统计均使用SPSS软件。基于在线计算器(https://turkjemergmed.com/calculator)进行样本量估计,该计算器来源于Akoglu 11和HajianTilaki 12的原理。简言之,选择了单一试验设计(新诊断试验)模块。我们设定5%作为1型错误的值,0.95作为敏感性和特异性的值,6%作为边缘误差。Ni等人最近发表的一项研究确定了45%的患病率。获得的样本量为205例,其中113例受试者用于敏感性研究,92例用于特异性研究。
通过前瞻性设计的基于医院的电子数据库对患者进行回顾性筛选和选择。2018年6月至2022年2月,连续筛选了1420例前循环急性大血管闭塞并接受紧急血管内治疗的患者的电子病历。370例患者在入院CTA时发现颈动脉闭塞,其中211例C1段闭塞患者被纳入,159例C2至C7闭塞患者被排除。在排除7例影像质量差的患者和4例神经介入手术不确定的患者后,最终分析共纳入200例患者,其中69例患者使用mCTA进行了延迟造影剂填充分析。分析了所有200例患者的双期单期CTA或动脉期mCTA图像的闭塞部位颈动脉环征(图3)。本试验含TO 88例,PO 112例。

图3.患者选择流程图。CTA表示计算机断层扫描血管造影术;EVT表示血管内治疗;ICA表示颈内动脉。
患者的主要特征总结见表1。TO患者男性多于PO患者(78.4% vs 53.6%;P=0.001)。与TO患者中更高的高脂血症发现一致(26.1% vs 8.9%;P<0.001),PO组房颤发生率高于PO组(57.1% vs 8.0%;P<0.001),TO患者的大动脉粥样硬化发病率更高(92.0% vs 24.1%;P<0.001),心源性栓塞发生率PO组为67.9%比2.3%(P<0.001)。与PO患者相比,TO患者的颈动脉支架置入率更高(92.0% vs 0%;P<0.001)。

颈动脉环征及造影剂延长征在ICA C1段PO和TO的鉴别诊断有价值。TO组的颈动脉环征阳性率更高(70.5% vs 6.3%;P<0.001)。PO组(n=112)有7例出现颈动脉环征,这7例患者有6例(85.75%)合并高血压,6例(85.75%)合并房颤,3例(42.9%)合并糖尿病。与无颈动脉环征的病例(n=105)相比,有颈动脉环征的病例(n=7)年龄较大(84 vs 70;P<0.001),男性较少(0% vs 57.1%;P=0.011)。
共69例患者接受了mCTA检查,PO患者中造影剂延迟充盈的发生率显著较高(94.9% vs 7.7%;P<0.001)。TO组(n=88)仅2例造影剂延迟充盈,真正闭塞部位位于C1中段,1例DSA显示C1内造影剂少。
CTA颈动脉环征与造影剂延迟充盈诊断性能的比较
表2总结了颈动脉环征对TO和延迟造影剂充盈对PO的鉴别诊断价值。颈动脉环征的曲线下面积为0.86(SE±0.05),灵敏度0.70(95% CI,0.60-0.79),特异性为0.94(95%CI,0.87-0.97),阳性预测值为0.90(95%CI,0.80-0.95),阴性预测值为0.80(95%CI,0.72-0.86)。造影剂延迟充盈征的曲线下面积为0.94(SE±0.04),灵敏度为0.95(95% CI,0.92-0.99),特异性为0.92(95% CI,0.73-0.99),阳性预测值为0.95(95% CI,0.81-0.99),阴性预测值为0.92(95% CI,0.73-0.99)。C1段TO的颈动脉环征和PO的延迟造影剂充盈的代表性图像分别见图2和图3。Cohen κ系数用于衡量观察者之间对各种成像标记物的一致性。颈动脉环征和延迟造影剂充盈征的一致性极佳(κ=0.90)。

本研究的主要发现是,单期CTA或mCTA动脉期的颈动脉环征是识别ICA C1段TO的可靠标志物。此外,我们证实了延迟造影剂填充征是识别颈动脉PO的一个有价值的影像学征像。
颈动脉环征定义为颈动脉壁环状增强和轴向CTA切片腔内低密度。Michel等人首先提出了一种病理生理学解释,即环征的发生可能是由于动脉壁中滋养血管的强化所致。此外,血管外膜的滋养血管参与了动脉粥样硬化的发生和动脉粥样硬化斑块的进展过程,CTA上滋养血管的强化与颈动脉症状性狭窄的患者密切相关。这些病理和病理生理学有助于解释本研究中颈动脉环征在预测颈动脉TO中的高阳性预测价值。
既往研究表明,TO的病因中动脉粥样硬化性狭窄占60%~70%,夹层占20%~30%,其余为颈动脉蹼和心源性栓子。我们的研究显示,92%的TO原因是动脉粥样硬化性狭窄,6%是夹层,2%是心源性栓塞。这种差异可能来自于研究样本和种族。同时,我们的研究显示四分之三的TO有颈动脉环征,而很少(6%,7例)的PO有颈动脉环征。这7例患者有共同的动脉粥样硬化特征,如高龄、高血压和糖尿病。由于这些患者中的大多数(87.5%,6/7)也表现出房颤,我们建议对老年房颤患者应谨慎考虑TO。
据报道,mCTA上的延迟造影剂填充是识别颈动脉闭塞部位的一个有效的图像标记物。Wareham等人首先提出使用mCTA来区分PO和TO,直到Choi等人成功地验证了这个假设。延长的延迟时间可能会导致造影剂从靶动脉中被冲洗掉,而mCTA无法检测到,而Choi等人则采用了更短的延迟时间。值得注意的是,TO患者延迟造影剂填充的假阳性可能是由于(1)初始C1高度/近闭塞狭窄;(2)责任血管位于C1中段或以上。
颈动脉环征和延迟造影剂填充各有其优缺点。颈动脉环征可以很容易地从动脉相位CTA中获得,而不考虑延迟时间,但其视觉评估取决于评分者的经验和适当的窗位和窗宽。相比之下,虽然mCTA的延迟造影剂填充可以很容易地识别出高强度的ICA-PO,但成像质量可能会受到心功能、静脉血管系统、运动伪影和延迟时间的影响。
我们的研究有局限性。首先,本研究的回顾性性质可能会引入不受控制的偏倚。其次,所有200例单期/动脉期CTA患者均纳入颈动脉环征分析,而只有69例mCTA患者进行延迟造影剂填充分析。这两个数据集可能会受到不受控制/未经调整的变量的影响。第三,由于颈动脉环征在本研究中是视觉识别的,它将不可避免地受到CT扫描仪的配置、成像采集过程和观察者间的差异的影响。最后,与Michel等人的研究相比,我们采用了更严格的颈动脉环征定义,即仅在C1最大狭窄水平处出现环状外观大于50%的周长。这个定义使得环征识别出TO的特异性更高,但牺牲了敏感度。未来的研究将有必要来验证这些研究结果的普遍性。
总之,我们证实了单相CTA上的颈动脉环征是诊断C1 ICA近端TO的可靠影像学标志物,同时也证实了mCTA延迟造影剂填充征对ICA PO的诊断价值。
易婷玉 副主任医师
漳州市医院神内脑血管病介入科
福建省漳州市医院神内介入科科室副主任、副主任医师。
中国医师协会神经介入专业委员会青年委员。
中国老年医学学会青年委员。
中国医药教育协助脑卒中血运重建专业委员会委员。
中国研究型医院学会介入神经病学专业委员会经桡动脉入路神经介入协作组组长。
福建省海峡卫生交流会心脑血管病防治分会理事。
漳州市医学专家协会康复委员会委员。
主持4个省部级课题,在研经费超100万元。
以第一作者或通讯作者发表SCI文章18篇,累计影响因子达40余分,单篇影响因子最高达8分。
多次获得全国神经介入比赛大奖。
获得2022年度国家卫生健康委能力建设和继续教育中心授予“中国神经介入十佳手术医师”。
获得漳州市科学技术协会的自然科学优秀论文三等奖。
陈文伙 主任医师
福建医科大学附属协和医院脑血管病科
漳州市医院神内脑血管病介入科
主任医师、副教授,硕士研究生导师,福建医科大学附属协和医院脑血管病科主任、福建省漳州市医院神内脑血管病介入科主任。
2008年在北京宣武医院神经介入中心进修神经介入1年。
目前担任中国医师协会神经介入分会常务委员、中国卒中学会神经介入分会委员、中国研究型医院学会介入神经病学专业委员会委员、福建省医学会神经病学分会委员、福建省神经病学学会介入学组副组长、发表论文20余篇,其中以第一作者或通讯作者发表SCI 12篇。
隋轶 主任医师
沈阳市第一人民医院
主任医师,副教授,硕士生导师,墨尔本大学博士/博士后。沈阳市第一人民医院(沈阳脑科医院)副院长、神经内科学科带头人、辽宁省临床重点专科学科带头人、沈阳市脑病研究所所长、沈阳市神经系统疾病临床医学研究中心主任。
国家自然科学基金评审专家,国家卫计委脑卒中防治专家委员会委员,国家卫计委脑防委卒中急救地图工作委员会委员,中国老年医学学会神经医学分会委员,中国研究型医院学会神经科学专业委员会青年委员,中国卒中学会青年理事会常务理事,辽宁省细胞生物学学会脑血管病分会主任委员。
研究方向为缺血性卒中影像学、神经介入影像学、成熟个体CNS神经发生、急性卒中治疗体系优化和质量控制。发表SCI文章50余篇。
声明:脑医汇旗下神外资讯、神介资讯、脑医咨询、Ai Brain 所发表内容之知识产权为脑医汇及主办方、原作者等相关权利人所有。
投稿邮箱:NAOYIHUI@163.com
未经许可,禁止进行转载、摘编、复制、裁切、录制等。经许可授权使用,亦须注明来源。欢迎转发、分享。
投稿/会议发布,请联系400-888-2526转3。










