本 / 期 / 病 / 例
一
病历简介
患者:女性,74岁。
主诉:突发意识不清3小时入院。
简要病史:
患者于入院前3小时无明显诱因突发意识不清,呼之不应,四肢无抽搐,无恶心及呕吐,无大、小便失禁。
当地未作任何处理,来我院急诊就诊,于13:36到达急诊科,急诊以急性脑卒中常规检验血常规、感染四项、BNP、D-二聚体、凝血常规、肾功、电解质及血糖。于14:03行磁共振(颅脑平扫+MRA+弥散加权成像)检查示“符合脑内多发缺血变性灶、梗死灶(左侧大脑半球大面积急性梗死)、软化灶T2-FLAIR/DWI表现;符合颅脑动脉硬化并多发狭窄MRA表现;左侧颈内动脉颅内段、大脑中动脉及分支未见显示,考虑闭塞或重度狭窄。”
遂予以重组人TIK组织型凝血酶原复合物16mg静脉溶栓治疗,效果不佳。为进一步治疗,门诊以“大脑动脉的闭塞或狭窄引起的脑梗死”收住我科。
患者自发病以来,未进饮食,大小便未解。
既往史:冠状动脉粥样硬化性心脏病10年余,规律口服阿司匹林肠溶片等药物;近几年活动耐力下降,严重时喉部可闻及喘鸣音,未系统诊治。
入院查体:
神志不清楚,虽深昏迷状态,言语不能,疼痛刺激无发音,头颅无畸形,两侧瞳孔等大等圆,直径约3mm,对光及调节反射灵敏,双眼向左下凝视。
颈软,压眶及疼痛刺激四肢稍屈曲,肌张力稍增高,肱二头肌反射(++),肱三头肌反射(++),膝腱反射(++),跟腱反射(++),双侧Babinski征(+),Oppenheim征(+),Gordon征(+),Chaddock征(+),Kernig征(-),BrudzinsKi征(-)。
GCS:5分,NHISS:15分。
二
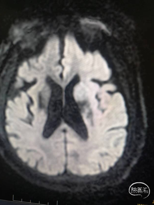
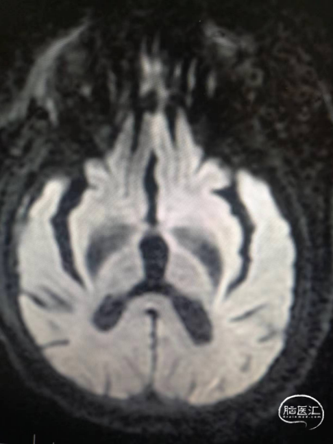
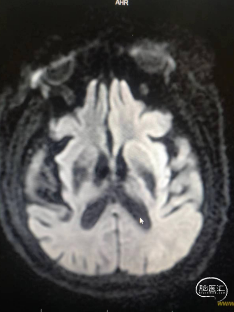
术前影像信息
符合脑内多发缺血变性灶、梗死灶(左侧大脑半球大面积急性梗死)、软化灶T2-FLAIR/DWI表现;
符合颅脑动脉硬化并多发狭窄MRA表现,左侧颈内动脉颅内段、大脑中动脉及分支未见显示,考虑闭塞或重度狭窄,建议CTA进一步检查。



三
术前讨论
➢初步诊断
大脑动脉闭塞脑梗死
冠状动脉粥样硬化性心脏病
高血压3级
2型糖尿病
脑出血后遗症
➢手术策略
先造影明确病变位置,直接支架加中间导管抽吸取栓。
四
手术器械准备
RECO取栓支架 6*30cm
微导管
微导丝
五
治疗过程
造影显示左侧的颈内动脉末端闭塞,中间导管造影显示大脑前和大脑中动脉显影,明确颈内末端闭塞。



中间导管到位之后送入RECO取栓支架 6*30cm、微导管,调整好微导管位置之后释放RECO取栓支架 6*30cm,支架展开之后血管血流通畅。



先负压抽吸,然后释放RECO取栓支架 6*30cm在负压下进行取栓操作。
六
术后处理及复查
➢术后即刻影像
术后颈内动脉末端血流通常,左侧大脑前动脉和大脑中动脉显影正常。


取出的血栓。
➢术后处理及复查
术后检查表现良好,术后查体也基本恢复。



总结和讨论
此病例是一个常见的颈内动脉急性闭塞的病变,相信绝大多数开展介入治疗的医院也做过很多相似病例。术中亮点是使用了负压抽吸,防止血栓的逃逸;其次是器械的选择,选择太小的支架可能无法达到一次再通。本病例选择RECO取栓支架 6*30cm,释放之后径向支撑力大,能够应对颈内末端比较粗的血管,并且卷曲的设计也能防止对大脑中动脉的损伤。

术者简介
李虎庆
高唐县人民医院
高唐县人民医院神经外科,主任医师,发表多篇论文,论著,及专利。
山东省疼痛医学会第一届神经重症委员会常务委员、山东省脑血管病防治协会脑血流重建及侧枝循环专业委员会委员、山东省卒中医学会神经介入分会委员、山东省卒中医学会脑血管介入与手术治疗分会常务委员、山东省疼痛研究会神经外科专业委员会常务委员、山东省疼痛研究会第一届神经脊柱脊髓专业委员会常务委员、山东省疼痛医学会第三届神经外科专业委员会常务委员、聊城市卒中学会理事、聊城市医学会神经外科分会委员。


声明:脑医汇旗下神外资讯、神介资讯、脑医咨询、Ai Brain 所发表内容之知识产权为脑医汇及主办方、原作者等相关权利人所有。
投稿邮箱:NAOYIHUI@163.com
未经许可,禁止进行转载、摘编、复制、裁切、录制等。经许可授权使用,亦须注明来源。欢迎转发、分享。
投稿/会议发布,请联系400-888-2526转3。