
本次「精选编译」由温州市中心医院李志伟主治医师、孙军主任医师编译,为大家带来《支架成形术治疗症状性颈动脉蹼》,欢迎大家阅读分享!
加拿大多伦多大学的Christopher R. Pasarikovski等对多中心颈动脉蹼病例急性回顾性研究,评估对有症状的颈动脉蹼患者接受颈动脉支架置入术的经验,结果已于2024年1月在线发表在《Interventional Neuroradiology》上。
——摘自文章章节
【REF:Christopher R Pasarikovski, et al. Interv Neuroradiol. Published online January 17, 2024. doi:10.1177/15910199231226293】
隐源性卒中是指那些在诊断评估后没有确定可能原因的卒中,占所有缺血性卒中的30%。颈动脉蹼可能是复发性缺血性卒中未受到充分重视的原因,并可能是隐源性卒中的潜在原因。目前尚不存在管理有症状的颈动脉蹼的循证指南。加拿大多伦多大学的Christopher R. Pasarikovski等对多中心颈动脉蹼病例急性回顾性研究,评估对有症状的颈动脉蹼患者接受颈动脉支架置入术的经验,结果已于2024年1月在线发表在《Interventional Neuroradiology》上。
这是一项多中心回顾性观察性研究。纳入自2012年1月1日至2021年3月1日在大多伦多地区的两个综合性区域卒中中心接受有症状颈动脉蹼CAS的患者,这些中心的血管内取栓术量很高(>150例/年)。记录的其他呈现/治疗特征包括基线国家卫生研究院卒中评分(NIHSS)、艾伯塔卒中计划早期CT评分(ASPECTS)、围手术期抗血栓方案、血管内取栓术(EVT)、颈动脉支架置入的时机和技术(支架类型、球囊血管成形术、远端栓塞术保护装置)。
颈动脉蹼的影像与诊断
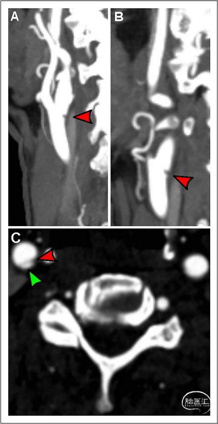
中心的所有形式的卒中在发病时都要经头颈部的CT血管成像(CTA)。因此,所有的颈动脉蹼首先都是在CTA上诊断出来的,并在CAS手术过程中通过导管血管造影得到证实。当矢状/斜位图像上颈动脉球后壁可见管腔板状充盈缺损区,轴位图像上可见薄膜状间隔(图1)时,即可诊断为颈动脉蹼。将同侧卒中归因于颈动脉蹼,必须满足ORF 10175急性卒中治疗试验(TOAST)阴性,并且具有潜在病因的患者不被归类为有症状的颈动脉蹼患者。因此,当满足以下三个标准时,患者被诊断为具有症状性颈动脉蹼:(1)相应血管区域的急性卒中或TIA;(2)CTA观察到的与颈动脉蹼一致的成像标准;(3)综合卒中检查未发现其他可能的卒中病因。

图1. 颈动脉蹼的计算机断层血管成像(CTA)。(A)斜位CTA,显示后颈动脉球部的充盈缺损(红色箭头)。(B)矢状位CTA再次显示充盈缺损区(红色箭头)。(C)轴位成像显示管腔充盈缺陷,有一细隔(红色箭头)将颈动脉蹼(绿色箭头)与颈动脉腔分开。
临床和放射学结果
在支架置入后3个月用改良的Rankin量表(mRS)评分来确定功能结果。对于接受EVT的患者,使用脑梗塞改良治疗(mTICI)评分来确定再通。记录所有CAS围手术期并发症,以及抗血栓药物引起的术后并发症。所有CAS患者在支架植入后3个月和6个月以及此后每年进行CTA或颈动脉多普勒成像,并记录狭窄程度的任何变化。记录支架植入后卒中或短暂性脑缺血发作复发的随访数据。所有连续变量以四分位数范围内的中位数记录,分类变量以计数和百分比记录。

图2. 2号患者CAS术。(A)颈总动脉外侧注射显露后颈动脉球部的板状缺损。(B)延迟的侧方血管造影图像显示蹼内的造影剂瘀滞(红色箭头),表明血液瘀滞。(C)颈动脉支架置入后的血管造影(红色箭头)以蹼为中心,支架位置良好,蹼扁平化。
连续14例有症状的颈动脉蹼患者接受了CAS。12名患者为女性(86%),所有患者的平均年龄为54岁(IQR,48-64岁)。12例(86%)患者发生卒中,2例(14%)出现同一血管区域内TIA。动脉粥样硬化危险因素中,高血压3例(21%),高脂血症5例(36%),糖尿病2例(14%),吸烟者4例(29%),无房颤。没有患者接受抗凝治疗,4例(29%)接受阿司匹林(ASA)治疗。两名患者既往有卒中史,其他患者无卒中或TIA史。
发病时NIHSS评分的中位数为4(IQR,2-16),ASPECTS的中位数为8(IQR,7-10)。7例患者(50%)行EVT,所有患者均达到mTICI 3级再通。所有患者在卒中/TIA时接受ASA治疗,在第二天重复CT成像显示没有颅内出血后,接受双重抗血小板治疗。12名患者接受氯吡格雷作为第二抗血小板药物,2名患者接受替卡格雷治疗。

图3. 颈动脉蹼的血管内OCT成像。(a和b)颈内动脉管腔(白色*)与颈动脉蹼发育不良的隔膜(蓝色箭头),形成一个口袋(红色箭头),导致血液瘀滞和血栓形成;导管形成的伪影(绿色箭头)。白色比例尺=1mm。
CAS
所有患者在支架植入前至少接受3天的双重抗血小板治疗。支架植入的时机取决于患者的临床状况。在保留神经功能(mRS≤2)的情况下,在同一入院期间7天内进行支架置入术。2例卒中致残(mRS>2)的患者在3个月后康复期间神经功能显著改善,随后接受了支架治疗。所有支架置入术均在清醒镇静状态下进行。患者在股动脉穿刺后进行肝素化,以达到活化凝血时间250-300秒。进行诊断血管造影以确认蹼的存在(图2)。
在9例(64%)的手术中使用了远端栓塞保护器,其中3例(38%)使用了EmboShield NAV-6(雅培),6例(43%)使用了Spider-FX(美敦力)。在支架类型方面,6名(43%)患者植入了Protégé(美敦力)开环式支架,4名(28%)患者植入了XACT(雅培),4名(28%)患者植入了Wallstent闭环式支架。所有患者均未进行支架置入前或支架置入后血管成形术。每个患者只使用了一个支架。所有患者都接受了至少3个月的双重抗血小板治疗,然后进行单抗治疗。

图4. 颈动脉分叉处颈动脉蹼的典型动态图示。(A)颈动脉蹼是一种纤维肌肉发育不良的形式,它在颈动脉分叉的远端与颈内动脉的后壁形成一个口袋。血液瘀滞或内皮功能障碍导致血栓在口袋内形成。(B)随着血管壁收缩和舒张,导致血栓从颈内动脉的蹼袋内脱落,导致卒中。(C)如果蹼袋内没有血栓或血栓很少,并且蹼的发育不良部分靠在血管壁上,则在成像上可能观察不到板状充盈缺陷,导致蹼的诊断结果为假阴性。作者设想颈动脉蹼是动态的,它的大小和形状将根据蹼袋中血栓的数量而变化。(D)颈动脉支架可将发育不良的蹼贴至血管壁,并促进沿支架的远期新内膜形成,从而消除未来的血栓栓塞症。
临床和放射学结果
术后90天mRS评分0~2分11例(79%),mRS 3~5分2例(14%),失访1例。中位随访时间为12个月(IQR,10-12)。所有患者均无复发卒中或TIA样症状。围手术期有一例并发症,即腹膜后出血,所有患者均无神经系统并发症。随访常规颈动脉多普勒或CTA未发现任何不良改变或支架内狭窄。每个患者完成的颈动脉多普勒超声检查次数的中位数为3(IQR,2-3)。
CAS在预防有症状的颈动脉蹼引起的卒中复发方面是安全的、技术上可行的和有效的。未来需要进行前瞻性研究,以确定这些患者的最佳治疗方案。
关注颈动脉蹼
组 稿
张颖影 副主任医师
复旦大学附属中山医院
编 译
李志伟 主治医师
温州市中心医院
孙军 主任医师
温州市中心医院
审 校
李子付 教授
海军军医大学第一附属医院
终 审
洪波 教授
上海市第一人民医院
声明:脑医汇旗下神外资讯、神介资讯、脑医咨询、Ai Brain 所发表内容之知识产权为脑医汇及主办方、原作者等相关权利人所有。
投稿邮箱:NAOYIHUI@163.com
未经许可,禁止进行转载、摘编、复制、裁切、录制等。经许可授权使用,亦须注明来源。欢迎转发、分享。
投稿/会议发布,请联系400-888-2526转3。














