病例简介
姓名:潘**,性别:女,年龄:29岁。
主诉:腰部疼痛2月余。
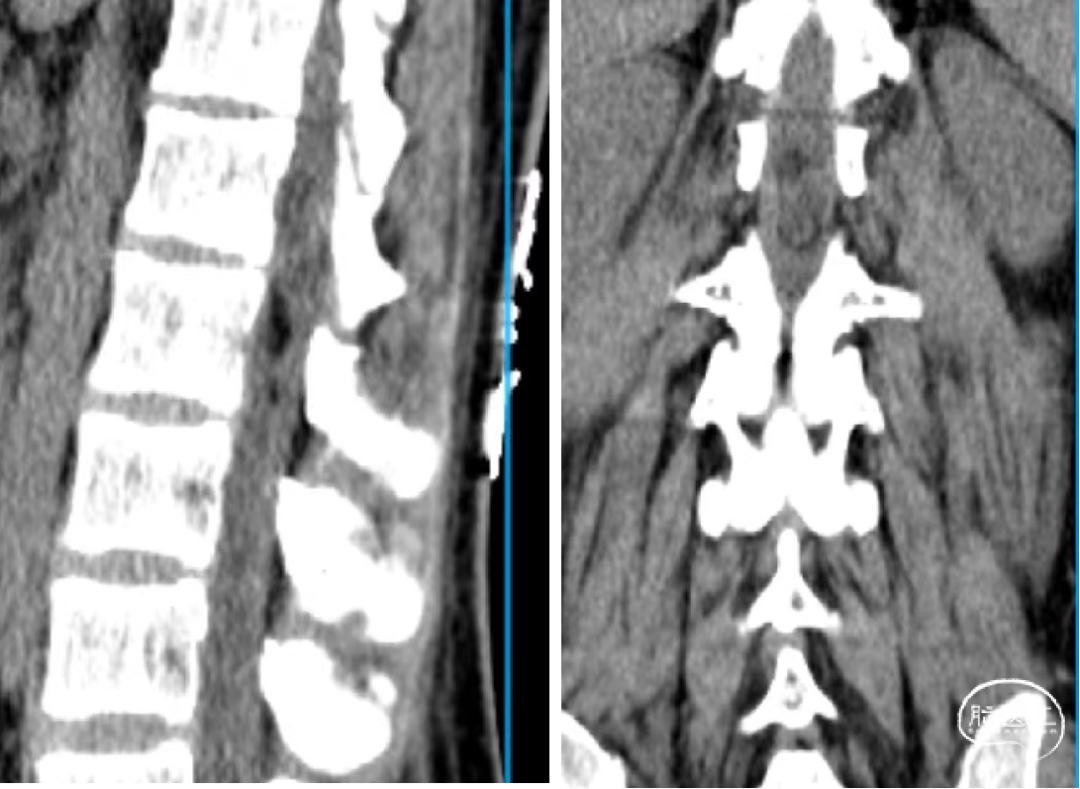
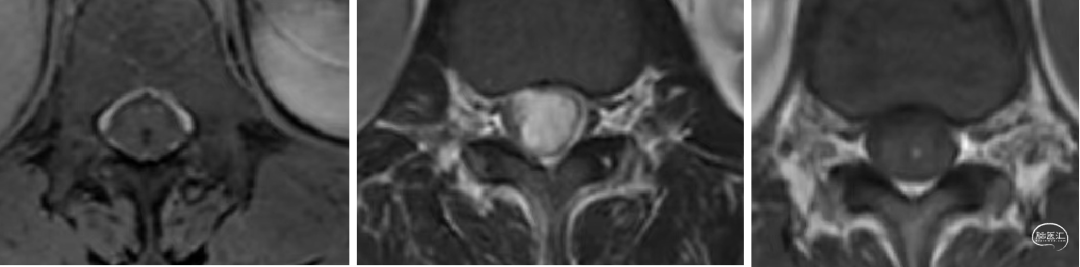
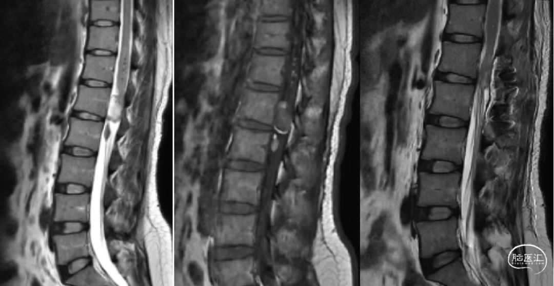
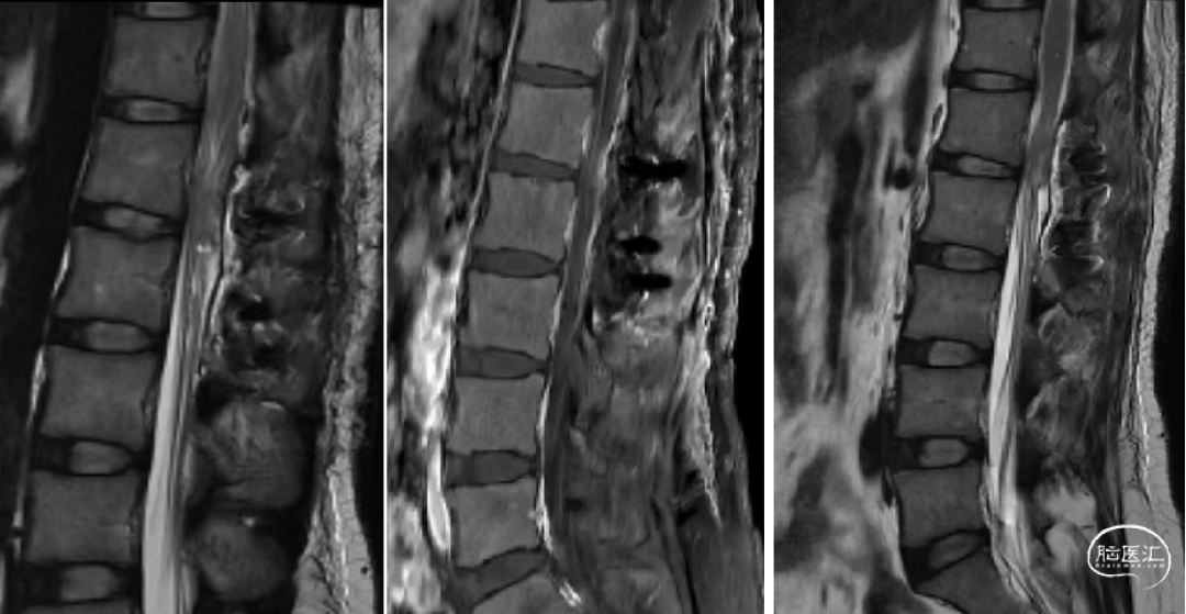
辅助检查:腰椎CT和MR示:L1-2椎管内硬膜下见一软组织信号结节,大小约24mm×12mm×10mm,T1W1低信号,T2W1稍高信号,增强扫描明显强化,但欠均匀,临近脊髓受压改变等。
术前腰椎CT和MR如下:





初步诊断
L1-2椎管内肿瘤:畸胎瘤?
手术情况





陈卓鹏医师在内镜和显微镜中的协助为手术的顺利完成提供了帮助。肿瘤挤压脊髓圆锥,与其及马尾神经根粘连紧密,显微下切除视野直视下肿瘤,内镜辅助下予以切除肿瘤两端,马尾神经根完好保留,内镜下操作直视外部分肿瘤,减少对神经根的牵拉,降低了术后患者不适发生的机率。术后患者腰部下疼痛及肢体活动障碍症状明显改善。


术后病理

专家简介
张继 教授
中山大学附属肿瘤医院
医学博士,副主任医师,研究生导师
从事神经外科工作15余年,在神经系统肿瘤的诊断和治疗方面有丰富的临床经验。曾到Seoul National University Hospital、Prince of Wales Hospital、Kaohsiung Medical University等单位学习交流
近年,在Science Advances, BRIEF BIOINFORM等专业顶级期刊发表论文10余篇,主持及参与国自然和省级基金6项,获国家级发明专利2项。担任Molecular neurobiology, Journal of Food Technology and Food Chemistry, Journal of Chemotherapy, Neuroscience International等杂志的审稿人
在神经系统肿瘤的诊断和显微、内镜和立体定向治疗上积累了丰富的临床经验
刘海彬 主管技师
中山大学附属肿瘤医院
从事肿瘤影像技术工作,擅长CT和MRI的肿瘤影像检查工作,在头颈部的肿瘤影像技术方面有丰富的临床经验
近年,参与发表SCI等期刊论文2篇
陈卓鹏 住院医师
中山大学附属肿瘤医院
外科学硕士,住院医师
从事神经外科工作2年,主要从事中枢神经系统肿瘤的显微外科治疗、内镜治疗及综合治疗等
专业特长:1. 脑膜瘤、神经鞘瘤、垂体瘤等脑、脊髓椎管良性肿瘤外科治疗;2. 胶质瘤的外科治疗;3. 脑转移性肿瘤的外科治疗
![]()
声明:脑医汇旗下神外资讯、神介资讯、神内资讯、脑医咨询、Ai Brain 所发表内容之知识产权为脑医汇及主办方、原作者等相关权利人所有。










