
导语
血流导向密网支架的出现
对于一些难治动脉瘤
是最好的治疗方案
Surpass Evolve
使用简单、导流卓越、极致贴壁
为医生提供FDS有力武器
史赛克与中国医生一起
提供全面微创卒中解决方案
致力改善患者的临床预后

术者简介
程隆
徐州市中心医院
江苏省介入放射学会委员
江苏省研究型医院学会肿瘤消融专业委员会常务委员
国家肿瘤微创治疗产业技术创新战略联盟肝癌免疫专业委员会常务委员
徐州市抗癌协会肿瘤介入专委会常务委员
徐州市核学会肿瘤微创专委会副主任委员
中国医药教育协会医疗器械专委会常务委员
江苏省研究型医院介入治疗专委会委员
病例一简介
患者基本信息
患者:女性,68岁。
主诉及病史:因头晕头痛1月入院。外院颅脑CTA示双侧颈内动脉眼段多发动脉瘤。入院后完善脑血管造影术,确定左侧颈内动脉眼段2枚动脉瘤,右侧颈内动脉眼段1枚动脉瘤。
颅内多发动脉瘤
高血压病
脑梗塞
拟行左侧颈内动脉眼段血流导向装置植入术加颅内动脉瘤栓塞术。
位置:左侧颈内动脉C6段
未破裂、多发、宽颈、形态不规则动脉瘤
大小:12.87*9.21*4.73mm/3.61*3.05*3.37mm
载瘤动脉较迂曲。远端血管:4.32mm;近端血管:4.68mm
支架没有回收
高级影像:支架三维重建

6F 长鞘
6F 中间导管
Synchro-14 微导丝
SL-10 栓塞用微导管
XT-27 支架导管
7*300mm/6*150mm*2 弹簧圈
Surpass Evolve 4.5*25mm 支架
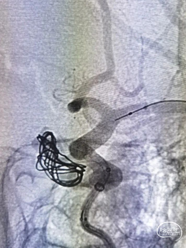
右侧股动脉入路,8F短鞘、6F长鞘在125导管及导丝引导下送入左侧颈内动脉C1段远端,经长鞘送入6F中间导管,造影确定工作位,在XT-27和微导丝引导下将中间导管送达C4段,同时XT-27进入左侧大脑中动脉M2段,塑形后SL-10进入眼段较大动脉瘤腔内,部分填入7mm弹簧圈,然后采取推拉技术于C7段开始部分释放Surpass Evolve 4.5*25mm支架先覆盖瘤颈,继续栓塞动脉瘤共3枚弹簧圈,撤出SL-10微导管,继续完成支架后半部分释放,并使用导管导丝按摩支架腔内。造影示大动脉瘤显影缓慢,瘤颈部分残余,小动脉瘤缓慢显影。三维造影可见支架贴壁良好。
支架头端打开良好,部分释放覆盖瘤颈。

支架半释放覆盖瘤颈。

继续填塞动脉瘤。

采用推拉结合支架过弯完全打开。
术毕支架展开并贴壁良好。
1、Surpass Evolve血流导向装置在手术中体现出较强的径向支撑力,贴壁好,释放简单。
2、支架输送系统顺应性好,更容易到达目标位置,适合复杂并宽颈的巨大动脉瘤。
3、支架释放过弯采取退管,整体推拉结合方式,释放不满意时可重新回收。
病例二简介
患者基本信息
患者:女性,69岁。
病史:因“头晕1月”入院。
查体情况:神志清,精神欠佳,言语流利,对答切题,双侧瞳孔等大等圆,直径约3mm,对光反应灵敏,眼球各方向活动可,未及眼震,额纹对称,闭目有力,鼻唇沟无变浅,口角无偏斜,咽反射灵敏,伸舌居中,四肢肌力5级,四肢肌张力正常,四肢腱反射正常,无不自主运动,双侧巴氏征阴性,全身深浅感觉正常,颈软,脑膜刺激征阴性,双侧上下肢共济试验阴性,闭目难立征阴性。
颅内动脉瘤
脑梗死
高血压
DSA造影结果示左侧颈内动脉眼段2枚对吻动脉瘤,大小分别为3.3*3.2mm,瘤颈2.8mm;及2.9*2.6mm,瘤颈2.7mm。
载瘤动脉远端直径4.0mm,近端直径4.2mm。





采取血流导向装置植入术。
6F AXS Infinity LS导管长鞘
AXS Catalyst 5中间导管
Excelsior XT-27微导管
Surpass Evolve 5.0*25mm密网支架
Synchro-14微导丝
患者仰卧于DSA造影台,气管插管全麻后,常规消毒铺巾,穿刺右侧股动脉成功,置入8F导管鞘,全身肝素化后,引入6F AXS Infinity LS导管鞘,在5F VER导管辅助下达左侧颈内动脉C1段,再沿6F导管鞘引入AXS Catalyst5导管达左侧颈内动脉C5段,造影明确左侧颈内动脉眼段局部2枚动脉瘤,在眼动脉水平内侧壁及外侧壁发出呈对吻状,大小分别为 3.3*3.2mm,瘤颈2.8mm;及2.9*2.6mm,瘤颈2.7mm。经AXS Catalyst 5导管引入Excelsior XT-27微导管达左侧大脑中动脉M1段,沿XT-27导管引入Surpass Evolve 5.0*25mm密网支架1枚于载瘤动脉释放,释放过程中采用推拉技术,释放后使用微导管导丝于支架腔内适当按摩,使支架充分贴壁。造影复查示Evolve支架内血流通畅,成功覆盖动脉瘤颈,支架贴壁良好。
支架头端打开良好,成功贴壁锚定远端。
支架完全打开,微导管导丝按摩支架,过弯处贴壁良好。
成功收回导丝头端及微导管,撤出输送系统。
支架完美释放贴壁良好,动脉瘤血流灌注减慢。
1、对吻动脉瘤占颅内动脉瘤的1%不到,由于动脉瘤与周围解剖结构的其毗邻关系复杂,弹簧圈栓塞通常需要对微导管进行高级塑形,额外的弹簧圈辅助措施也常需要。使用血流导向支架可以简化手术操作,但其远期结果尚待观察。
2、对吻动脉瘤较少见,应用常规支架辅助栓塞介入手术难度较大,此时密网支架成为理想选择。
2、Surpass Evolve密网支架释放简单,贴壁良好,头端及尾端打开容易,过弯处推拉结合贴壁释放难度小,成功率高。
3、支架释放后适度按摩,回收释放系统安全。
END


声明:脑医汇旗下神外资讯、神介资讯、脑医咨询、Ai Brain 所发表内容之知识产权为脑医汇及主办方、原作者等相关权利人所有。
投稿邮箱:NAOYIHUI@163.com
未经许可,禁止进行转载、摘编、复制、裁切、录制等。经许可授权使用,亦须注明来源。欢迎转发、分享。
投稿/会议发布,请联系400-888-2526转3。






