精准治疗 持久安全
NOVA DES®颅内药物洗脱支架植入

术者:林敏 福建省第二人民医院
林敏
福建省第二人民医院
福建省第二人民医院党委委员,神经内科主任,主任医师,硕士研究生导师。
中国研究型医院学会介入神经病学分会副主任委员
中国医药教育协会卒中教育专委会副主任委员
中华医学会神经病学分会神经介入协作组委员
中国卒中学会神经介入分会委员
福建省海峡医药交流学会神经病学分会副会长兼神经介入组组长
福建省医学会神经病学分会常务委员兼神经介入专业组副组长
福建省医师协会神经内科分会常务委员
从事神经病学24年,从事缺血性神经介入工作20年,研究方向为脑血管病。擅长各类缺血性及出血性脑血管病介入诊疗,作为第一术者年完成神经介入400余例,年完成急诊取栓150台次,累计完成神经介入6000余台次,数质量在省内领先
发表专业相关SCI论文20余篇,编撰专著2部,主持国家级重大课题1项、省级重点课题1项,获省科技进步二等奖1项
术者:林生 福建省第二人民医院
林生
福建省第二人民医院
医学硕士,主治医师,福建省第二人民医院卒中中心秘书
海峡医药卫生协会神经病学分会理事
从事脑血管病神经介入工作5年,擅长缺血性脑卒中的介入诊疗以及缺血性卒中的早期识别、术前评估及筛查、术后管理及诊治、长期随访等绿色通道全流程临床诊疗,深度参与卒中中心建设及临床质控
患者基本信息
患者:男性,63岁。
主诉:反复头晕半月余。
现病史:
于入院前半月余无明显诱因出现头晕,呈昏沉感,持续时间不定,活动后加重,闭目休息可缓解。
遂于福州第九〇〇医院住院治疗,期间完善头颈部CTA示:
1、左侧椎动脉末端未见显影,考虑闭塞;
2、右侧椎动脉末端重度狭窄(面积狭窄率约87.6%);
3、主动脉弓、双侧颈总动脉分叉处见少许软硬斑形成伴双侧颈内动脉起始段管腔轻度狭窄。
经控制血压、双联抗血小板、调脂稳斑、抑酸护胃、改善便秘等处理后,头晕稍改善,今为求进一步评估颅内血管情况,就诊我院,门诊拟“椎-基底动脉供血不足”收入院。
既往史:小儿麻痹症病史63年余,左下肢发育畸形;高血压病史10余年,平素规律服用“苯磺酸氨氯地平5mg qd”降压。
专科查体:言语清晰,行动如常,肌力5级,瞳孔正常, 对光反射灵敏,神经系统评分:NIHSS 0分,mRS 0分。
术前影像
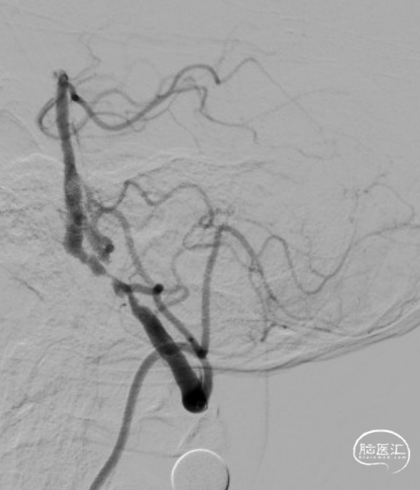
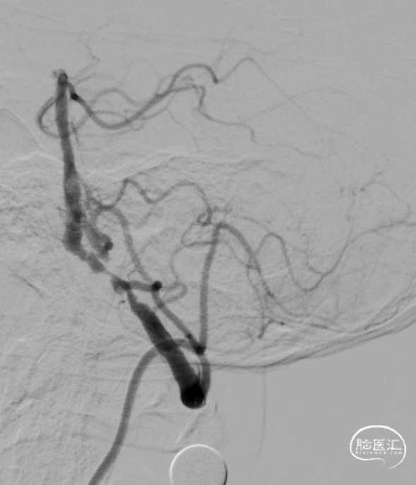
LSCA造影:LVA V2段闭塞。

RVA造影:RVA V4段重度狭窄。


术前诊断
1.左侧椎动脉闭塞
2.右侧椎动脉狭窄(末端重度狭窄)
3.双侧颈内动脉狭窄(起始段管腔轻度狭窄)
4.高血压病3级(极高危)
5.高脂血症
6.高尿酸血症
病变部位 | 左侧椎动脉V2段闭塞 右侧椎动脉V4段重度狭窄 |
远端正常血管直径 | 2.67mm |
狭窄处最小直径 | 0.71mm |
病变长度 | 11.32mm |
狭窄度 | 90% |
术前讨论
右侧椎动脉V4段球囊扩张成形+支架置入术。
症状:患者反复头晕。
DSA:RVA V4段重度狭窄90%。
保守治疗:狭窄程度重,充分治疗后,持续存在症状,不做首选。
血管内治疗:首选方式。创伤小、恢复快、并发症少、病死率及致残率低。
①血管球囊扩张成型:ICAS病变,再发狭窄率高,不做首选;
②血管内球囊扩张+支架置入:首选。
出血(√)
夹层(√)
开通失败(√)
支架内血栓形成(√)
手术耗材
操作入路
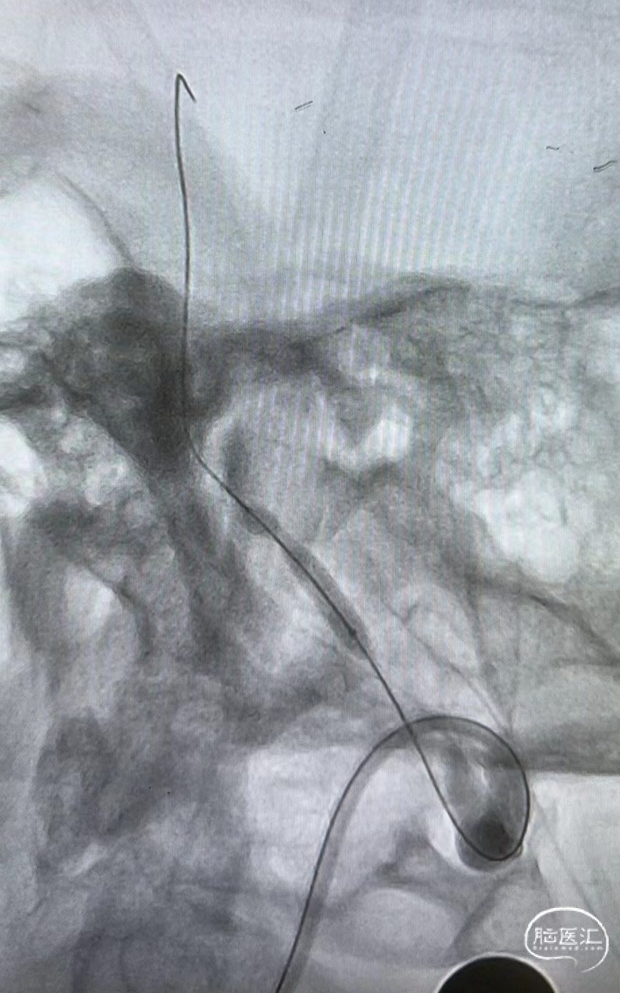
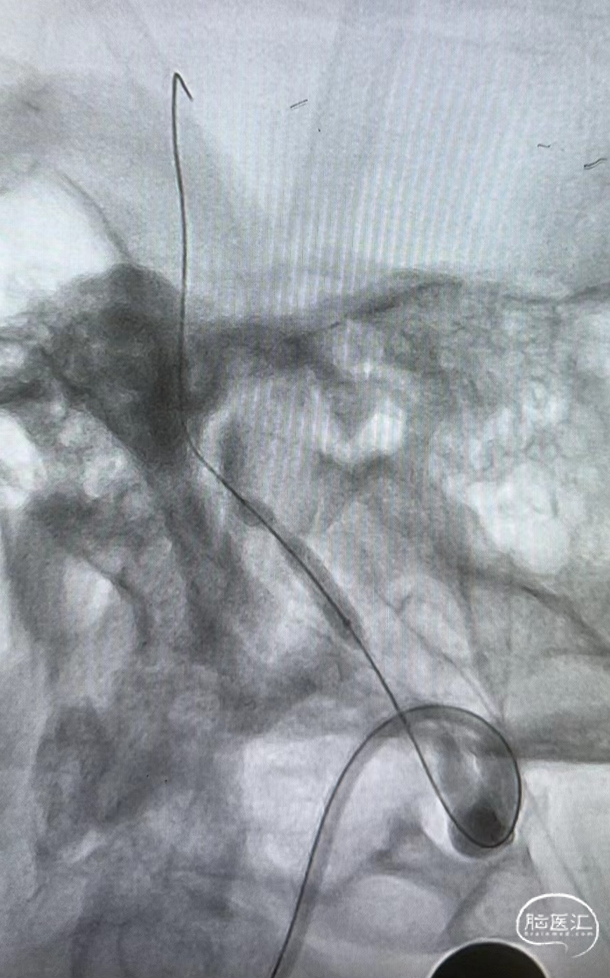
股动脉穿刺
造影
造影导丝:0.035inch 亲水涂层导丝
造影导管:
4F 100cm SIM2
5F 100cm PIG
5F 125cm多功能造影导管
通过病变
微导丝:Synchro 0.014inch*200cm
中间导管:6F 115cm远端通路导管
扩张及植入
赛诺Neuro LPS®颅内球囊扩张导管 2.75*15mm
赛诺NOVA®颅内药物洗脱支架 2.75*12mm
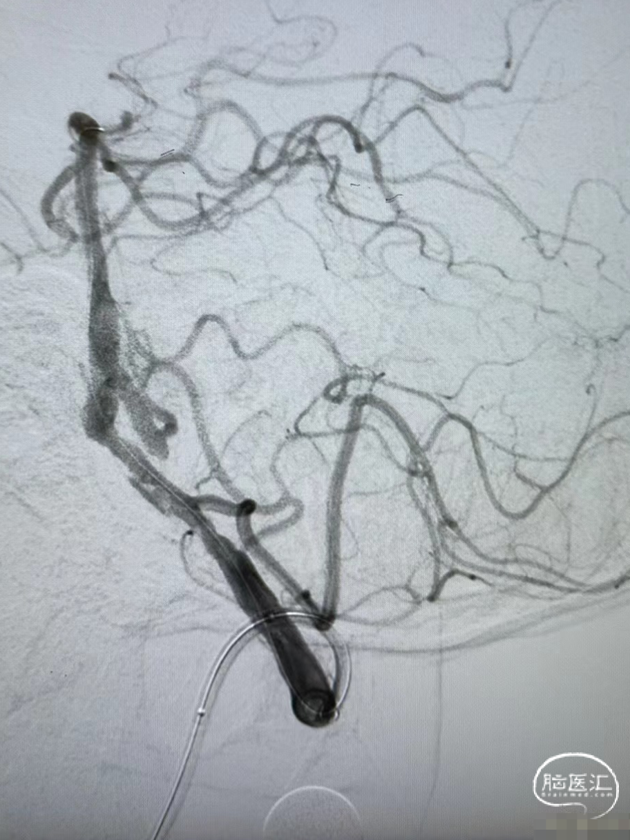
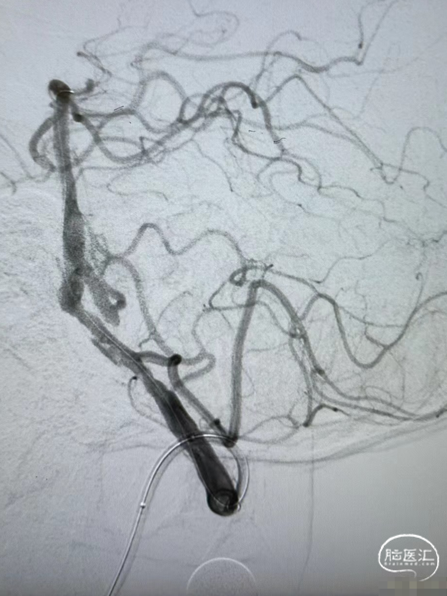
手术过程
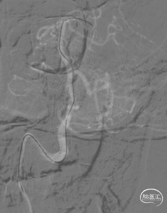
远端通路导管到位。

微导丝通过病变。

赛诺Neuro LPS®颅内球囊扩张导管 2.75*15mm输送至病变位置。

缓慢扩张至命名压3atm。


球扩后造影观察。


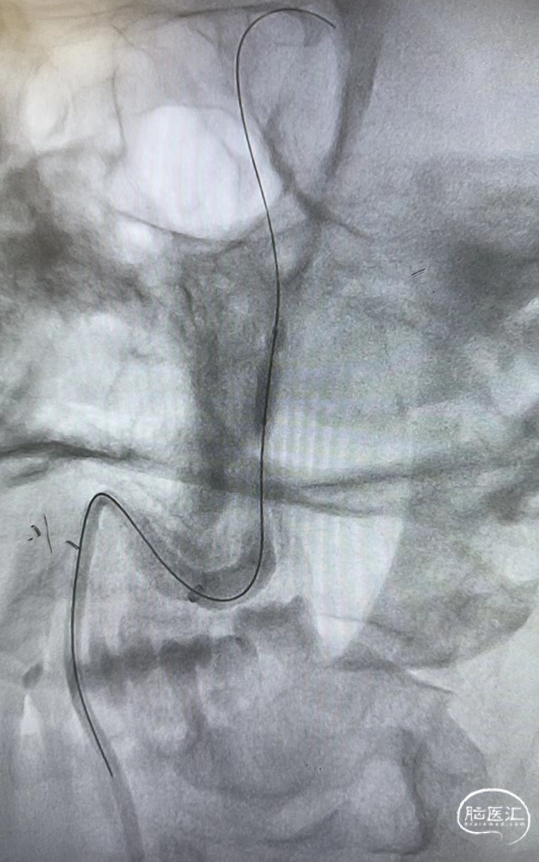
赛诺NOVA®颅内药物洗脱支架 2.75*12mm输送至病变段。

10atm压力释放赛诺NOVA®颅内药物洗脱支架。

术后造影:RV4段狭窄较前明显改善。


病例体会
操作体会:
患者合并多种脑血管病危险因素,活动后头晕,为较典型后循环缺血症状,结合术前DSA造影示“左侧椎动脉闭塞、右侧椎动脉V4段重度狭窄”,其椎-基底动脉供血不足诊断可明确,有手术指征。
双侧椎动脉均有明显病变时,应优先保证优势侧椎动脉的供血。
球扩及支架植入后需要观察一定的时间,部分患者可能出现再狭窄或闭塞。
赛诺NOVA®颅内药物洗脱支架对于ICAS病变来说是优化的选择。
手术技巧:
赛诺NOVA®颅内药物洗脱支架处理ICAS病变过程中,最重要的是支架的准确定位。
预扩过程需要适当维持一定时间。
/ 产品详情
<< 滑动查看下一张图片 >>

<< 滑动查看下一张图片 >>
公司简介
说明:赛诺神畅医疗科技有限公司为赛诺医疗科学技术股份有限公司控股子公司。
声明:脑医汇旗下神外资讯、神介资讯、脑医咨询、Ai Brain 所发表内容之知识产权为脑医汇及主办方、原作者等相关权利人所有。
投稿邮箱:NAOYIHUI@163.com
未经许可,禁止进行转载、摘编、复制、裁切、录制等。经许可授权使用,亦须注明来源。欢迎转发、分享。
投稿/会议发布,请联系400-888-2526转3。















