
术者寄语

病史简介
患者:男性,71岁。
主诉:因“右侧肢体无力1月,加重1天”入院。
简要病史:患者于1月前出现右上肢无力,休息后缓解;1天前休息时再次突发右侧上肢无力,伴麻木,半小时后麻木感消失,无力感未消失。无头痛头晕、恶心呕吐等。为进一步诊治,转入我院。
既往史:糖尿病病史5年。
入院查体情况
神清,构音清晰,双侧瞳孔等大等圆,对光灵敏,左侧鼻唇沟浅,伸舌居中,颈软,四肢肢体肌张力正常,左侧上肢肢体肌力Ⅴ级,右侧上肢肢体肌力IV级,双侧下肢肢体肌力Ⅴ级,双侧躯体感觉正常,双侧腱反射正常,右侧病理征阳性。
影像资料
术前CT:左侧基底节区脑梗可能,双侧基底节区、脑室旁腔隙腔梗灶。

术前MRA:左侧大脑中动脉M1段局限性重度狭窄,左侧颈内动脉C7段局限性扩张。


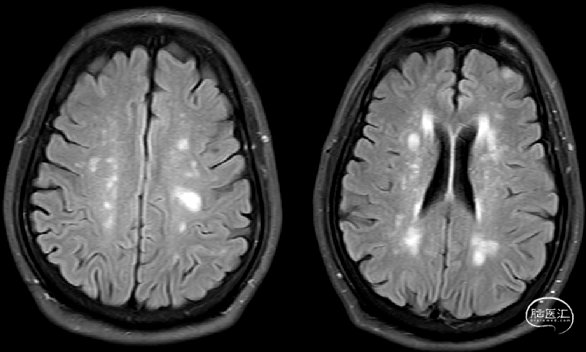
术前MRI:左侧额顶叶多发亚急性腔梗灶,双侧额顶叶多发小缺血灶。

T1WI

T2WI

DWI

FLAIR

T2

T1

T1增强
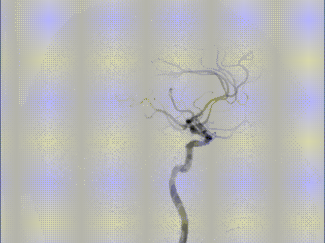
术前DSA:左侧大脑中动脉M1段局限重度狭窄。


➢右侧锁骨下动脉造影







术前讨论
影像学检查提示“左侧大脑中动脉M1段重度狭窄,脑梗责任病变与血管狭窄位置匹配,症状反复出现且逐渐加重”,家属同意介入手术治疗。
术中涉及介入器械选择
6F 90cm 长鞘
0.070inch 115cm 中间导管
0.014inch 微导丝
加奇生物 21系列 Fastunnel®输送型球囊扩张导管 2.0*10mm
自膨式闭环支架 4.0*23mm
手术过程
6F 90cm 长鞘置于左侧颈内动脉近段,造影显示左侧大脑中动脉M1段重度狭窄,左侧颈内动脉C7段稍膨隆。


引入0.070inch 115cm 中间导管至C4段,微导丝依次通过M1及M2段到达远端。


在微导丝的引导下,21系列 Fastunnel®输送型球囊扩张导管 2.0*10mm到达大脑中动脉M1狭窄段。


以命名压6atm充盈Fastunnel®输送型球囊扩张导管 2.0*10mm,充分扩张病变段。


Fastunnel®输送型球囊扩张导管球囊释放后,造影显示狭窄段较前改善。


随后在微导丝的支撑下,将21系列 Fastunnel®输送型球囊扩张导管缓慢引导至M2段。


通过21系列 Fastunnel®输送型球囊扩张导管引入自膨式闭环支架 4.0*23mm,并于狭窄段平稳释放。
复查造影显示支架贴壁可,狭窄明显改善,远端颅内血管无明显缺失。


➢支架释放后标准正侧位造影


术后情况
术后全麻苏醒后,查体神清,构音清晰,双侧瞳孔等大等圆,对光灵敏,左侧鼻唇沟浅,伸舌居中,颈软,四肢肢体肌张力正常,左侧上肢肢体肌力Ⅴ级,右侧上肢肢体肌力IV级,双侧下肢肢体肌力Ⅴ级,双侧躯体感觉正常,双侧腱反射正常,右侧病理征阳性。
术后1天复查头颅CT未见明显出血灶。

病例总结
大脑中动脉重度狭窄可导致脑组织缺血,引发脑梗,出现一侧肢体肌力下降、偏瘫、失语等,严重者可危及生命。内科治疗无效或症状持续加重的情况下,“球囊扩张+支架置入治疗”是当前最常用的介入手术方案。
本例患者症状明确,且出现脑梗症状加重,影像学证实左侧大脑中动脉狭窄、局限性的VI型斑块;DSA造影证实左侧大脑中动脉M1段局限重度狭窄。因此拟采用球囊血管成形术+支架置入术,在手术过程中使用了Fastunnel®输送型球囊扩张导管,通过单根导管解决了球囊扩张和支架植入两个操作,减少了导丝导管的重复交换,实现了支架的平稳置入。
对于颅内动脉狭窄的球囊扩张和支架置入治疗,传统的做法需要球囊导管和支架微导管两种器材进行同轴交换,过程中无论射线量还是微导丝的前后移动均会增大患者的手术风险。而使用Fastunnel®输送型球囊扩张导管,可以避免上述的多步操作,特别是在相对平直的血管条件下,可以有效减轻术中的风险,缩短手术时间,提高了手术安全性,具有较好的应用前景。
术者简介
朱悦琦
上海市第六人民医院
主任医师,上海市第六人民医院介入科主任,上海交大医学院博士生导师,Mayo clinic访问学者
中华放射学会介入学组工作秘书及青年工作组副主任委员
中国医师协会介入分会青委会委员
上海市医学会脑卒中分会委员
主要从事脑血管疾病(脑血管动脉瘤、脑缺血性疾病)影像诊断及介入治疗
以第一/通讯作者发表90余篇,最高影响因子31.0。承担国家自然科学基金2项,获上海市启明星、浦江人才、上海市优秀博士学位论文成果、上海交大晨星学者计划、上海交大医工交叉重点项目、上海市医苑新星-杰出青年医学人才、交大医学院双百人计划、申康三年行动计划项目资助。
以主要完成人获国家科技进步二等奖、上海市科技进步一等奖、教育部科技进步一等奖奖励。《介入放射学杂志》、《临床放射学杂志》、《lacent neurology》,《American journal of neuroradiology》,《Journal of endovascular therapy》等杂志审稿人。获“国之名医-青年新锐”、“中国介入新锐”称号。
邓江山
上海市第六人民医院
神经病学博士,上海交通大学医学院附属第六人民医院神经内科副主任医师
上海卒中学会青年理事会常务理事
上海卒中学会中西医结合分会常务委员
上海卒中学会血管内治疗分会委员
主要从事脑血管病的预防和介入治疗,擅长急性脑卒中的救治。研究方向:急性缺血性卒中血管再通及围手术期管理
主持上海市卫生局课题一项,中国卒中学会中匈课题一项,参与国家自然科学基金二项。发表SCI文章16篇
张一然
上海市第六人民医院
上海交通大学附属第六人民医院介入放射科,医师,朱悦琦教授团队成员
上海交通大学影像医学与核医学博士
主要从事神经介入和消化道介入临床综合治疗
研究方向为血管支架、消化道支架。主要涉及有机高分子材料的修饰改性、水凝胶、静电纺丝、支架覆膜等领域的基础及临床交叉研究,擅长小鼠、兔、犬、猪相关模型的构建
主持国家自然科学基金1项,近5年在相关领域发表SCI论文17篇,其中第一作者及共同第一作者8篇,最高影响因子IF=30.849,获得发明专利1项

声明:脑医汇旗下神外资讯、神介资讯、脑医咨询、Ai Brain 所发表内容之知识产权为脑医汇及主办方、原作者等相关权利人所有。
投稿邮箱:NAOYIHUI@163.com
未经许可,禁止进行转载、摘编、复制、裁切、录制等。经许可授权使用,亦须注明来源。欢迎转发、分享。
投稿/会议发布,请联系400-888-2526转3。










