

血流导向装置(密网支架,FD)是一种具有血流导向作用的动脉瘤血管内治疗支架,不同于以往的动脉瘤瘤体内填塞,血流导向装置(FD)是通过改变载瘤动脉内的血流方向以减少或减弱动脉瘤内的血流冲击,达到动脉瘤瘤体内血液滞留和血栓形成的目的,最终在FD表面和动脉瘤瘤颈处形成新生内皮细胞,实现动脉瘤的完全闭塞和治愈。与此同时,也实现了载瘤动脉的重建,并降低了动脉瘤复发再通的风险。
本病例由温州医科大学附属第一医院的李则群教授将Nuva®血流导向密网支架应用于患者右侧颈内海绵窦段宽颈动脉瘤,对于载瘤动脉进行重建,改善载瘤动脉的血流动力学情况,减少局部血流对动脉瘤的冲击。
患者:女性,70岁。
主诉:“发现颅内动脉瘤6天”,2024-01-08门诊收住入院。
现病史:患者6天前因脑梗死查CTA发现“右侧颈内动脉C4段瘤样突起,考虑动脉瘤”。患者为求手术治疗,转至我科。现患者自诉头晕,拟“右颈内动脉瘤”收住入院。
既往史:
高血压病20年,长期服用美托洛尔47.5mg qd、氨氯地平5mg qd,最近加用吲达帕胺2.5mg qd,血压控制可。
骨质疏松3年余,口服阿仑膦酸钠70mg qw。
20年前行腹腔镜下胆囊切除术。
3年余前行冠脉造影。
6月余前行白内障手术。
入院查体:神志清,精神软,颈抵抗,双侧瞳孔等大等圆,直径约3mm,对光反射灵敏,向各方向运动正常,鼻唇沟尚对称,伸舌居中,左下肢肌力4级,余肢体肌力5级,肌张力两侧对称,双侧病理征阴性,双肺呼吸音清,未闻及明显干湿性啰音,心律齐,各瓣膜未闻及明显杂音,腹软,肝脾肋下未及。
辅助检查:2024-01-04我院CT:两侧颈总动脉分叉前后及主动脉弓混合斑块伴管腔轻度狭窄,左侧椎动脉起源变异,右侧颈内动脉C4段瘤样突起,考虑动脉瘤,结合临床:右侧大脑前动脉A1段局限性狭窄;右侧胚胎干型大脑后动脉两侧颈内动脉颅内段钙化斑块。
入院前CTA影像检查:CTA影像提示右侧颈内动脉C4段瘤样突起,考虑动脉瘤。

术前DSA影像检查:2024-01-10行脑动脉造影术,术中见右侧颈内海绵窦段动脉瘤,大小约6.9*5.5mm,瘤颈约4.6mm。

右颈内动脉瘤;
双颈总动脉狭窄;
脑梗死个人史;
高血压病;
骨质疏松;
双下肢静脉血栓形成;
高尿酸血症;
脂肪肝;
双肾囊肿。
手术方案:
颅内血流导向装置植入。
手术时间:
2024年1月15日14时13分。
8F Guiding
6F Navien 105 中间导管
0.014inch*200cm微导丝
XT-27微导管
Nuva®血流导向密网支架 TJED-D-5.5-18

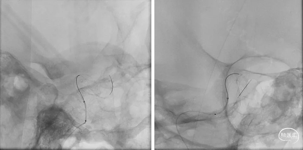
释放支架头端,远端锚定后,确认支架远端释放,贴壁良好,缓慢采用推挤方式将支架释放。

支架成功释放后,造影显示动脉瘤瘤颈支架覆盖贴壁良好,右侧颈内动脉通畅,右侧颈内动脉及分支血管显影良好,无血栓。
术中快速CT扫描未见颅内出血,支架贴壁良好。

撤除导管,雅培血管闭合器闭合穿刺点后加压包扎压迫股动脉穿刺点,术毕,手术经过顺利,麻醉满意,术后生命体征平稳,送回病房。
1.本病例为海绵窦段宽颈动脉瘤,血管管腔相对粗,且血管迂曲,传统支架金属覆盖率低,网眼相对较大,贴壁性较差,治疗难以达到理想的栓塞效果。Nuva®血流导向密网支架操作简便,术中释放顺利,30%-35%的金属覆盖率起到显著的血流导向作,有利于管腔重建,提高治愈率。
2.Nuva®血流导向密网支架输送系统的释放-回收段显影设计,术中可准确快速指示出释放-可回收区域,区间显影设计极大地方便了术中的操作,有助于支架的成功释放。
3.Nuva®血流导向密网支架具有较好的柔顺性,释放于迂曲的血管中,可以很好地顺应血管形态,术中打开顺畅,贴壁良好,径向支撑力适中,推挤过程也不易折弯变形;支架整体显影设计,透视效果优异,术中很容易观察支架的打开、走形及贴壁情况。
![]()
术者简介

主任医师,副教授,硕士生导师,温州医科大学附属第一医院神经外科科室副主任
中国医师协会神经介入专业委员会第二届委员会委员
浙江省医师协会神经介入专业委员会第一届委员会委员
浙江省卒中医学会青年理事会常务委员
温州市康复医学会委员
主要致力于脑血管病的外科临床工作。擅长颅内动脉瘤、脑血管畸形,颈内动脉海绵窦瘘、硬脑膜动静脉瘘,缺血性脑血管病支架植入,急性大血管栓塞的机械取栓等脑血管病血管内治疗以及颅内动脉瘤、脑血管畸形的显微外科手术治疗。在我科首先开展颈动脉狭窄显微内膜剥脱术(mCEA),烟雾病颅内外搭桥手术
![]()
产品介绍

声明:脑医汇旗下神外资讯、神介资讯、脑医咨询、Ai Brain 所发表内容之知识产权为脑医汇及主办方、原作者等相关权利人所有。
投稿邮箱:NAOYIHUI@163.com
未经许可,禁止进行转载、摘编、复制、裁切、录制等。经许可授权使用,亦须注明来源。欢迎转发、分享。
投稿/会议发布,请联系400-888-2526转3。








