

病例展播
病例信息
患者:男性,46岁。
住院时间:2023年12月23日。
主诉:反复头痛1天。
现病史:患者1天前无明显诱因下出现反复头痛,头痛位于后枕部,呈持续性胀痛,就诊当日患者头痛加重,至当地查头颅CT提示:双侧横窦、乙状窦高密度影,静脉窦血栓。为进一步诊治,转入我院。
既往史:既往体健;无高血压、糖尿病、冠心病等病史;无长期口服药物史。
入院查体:BP 122/73mmHg,NIHSS评分0分,GCS评分15分,无明显阳性体征。
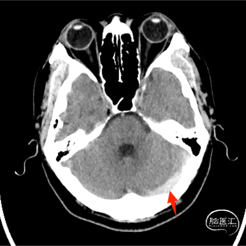
术前影像
➢2023-12-23 外院头颅CT







←左右滑动查看更多→
术前准备
➢入院后急诊化验


D-二聚体较高
➢初步诊断
蛛网膜下腔出血
静脉窦血栓
➢治疗措施
行全脑血管造影评估颅内动静脉情况,根据造影结果决定具体方案。
手术器械
0.035" 泥鳅导丝
5F/8F 动脉鞘
5F 造影管
8F Guiding
6F 125cm 通桥银蛇®颅内支持导管
可操纵微导丝
0.027" 微导管
支架 6*30mm
通桥白驹®颅内球囊扩张导管 5*20mm
治疗过程
➢局麻造影
造影提示双侧横窦、乙状窦不显影,上、下矢状窦显影较差,考虑静脉窦血栓。再次与家属沟通,交代病情危重性,遂在全麻下行“经导管脑血管血栓取出术+脑静脉窦溶栓术”。


R-ICA


L-ICA



➢先行开通右侧
将8F Guiding+6F 125cm 通桥银蛇®颅内支持导管送至右侧颈内静脉。

6F 125cm 通桥银蛇®颅内支持导管送至上矢状窦,反复抽吸2次,抽吸出大量暗红色血栓。

上矢状窦抽吸后造影。

再次将6F 125cm 通桥银蛇®颅内支持导管送至窦汇处再次抽吸,抽吸出暗红色血栓。


抽吸后,6F 125cm 通桥银蛇®颅内支持导管内手推路图。

将0.027" 微导管在微导丝作用下置入右侧横窦远端,根据血栓形态,送入6*30mm 支架覆盖血栓。

抽拉结合,取出一部分暗红色的血栓,再次造影。

支架结合通桥银蛇®颅内支持导管抽拉两次后,通过通桥银蛇®颅内支持导管推入20万单位尿激酶。


再次造影见右侧横窦-乙状窦移行处仍有附壁血栓,但静脉回流较前明显好转。

➢再行开通左侧
将8F Guiding+6F 125cm 通桥银蛇®颅内支持导管送至左侧颈内静脉,直接抽吸后未取出血栓,遂将支架释放取栓。

第1次取栓后


第2次释放支架

第2次取栓后

第2次取栓后通桥银蛇®颅内支持导管内路图,同时予尿激酶20万单位从导管中推注。

将通桥白驹®颅内球囊扩张导管 5*20mm通过特洛伊木马技术释放,依次扩张横窦至乙状窦。

第2次扩张


第3次扩张


第3次扩张后造影

第4次扩张


第5次扩张


撤出通桥银蛇®颅内支持导管后再次造影。

等待10min后再次造影,提示左侧横窦乙状窦较前好转,右侧横窦乙状窦血流通畅,遂结束手术。

取出的血栓。




术后情况
术后患者转入ICU,予肝素钠12500IU静脉泵入(q12h), 第2天患者清醒拔管,诉头痛较前明显好转。

术后凝血功能。


术后第3天患者转入普通病房,予低分子肝素5000IU皮下q12h注射,口服阿托伐他汀20mg qn。
完善CTV检查。

2023-12-26



2024-01-02


病例小结
本病例中使用通桥银蛇®颅内支持导管,在取栓过程中,优异的通过性能够更接近病变位置。同时头端增强了抗扁设计,提高了取栓效率;优异的支撑性,为后续治疗器械的输送提供了可靠且稳定的通路。
术中使用通桥白驹®颅内球囊扩张导管,其良好的通过性、顺应性,能准确到达病变部位精准扩张。

产品特点
通桥银蛇®颅内支持导管设计特点

通桥白驹®颅内球囊扩张导管设计特点

术者简介
袁雪松
常州市武进人民医院
神经外科血管组组长,主任医师,硕士研究生导师
中国微循环学会周围血管疾病专业委员会颈动脉学组第一、第二届委员
江苏省研究型医院学会烟雾病专委会委员
江苏省康复医学会重症康复专委会委员
魏文锋
常州市武进人民医院
神经外科主任,主任医师,学科带头人
常州市脑卒分会副主任委员
江苏省医师协会神经外科分会委员
江苏省医师协会神经外科分会神经肿瘤学组委员
江苏省中西医结合学会神经外科分会委员
陆彬
常州市武进人民医院
主治医师,常州市武进人民医院神经外科血管组成员
曾在南京鼓楼医院进修神经介入,擅长脑血管病的介入诊治

本内容仅供医学专业人士作线上专业交流
本内容不向非医学专业人士开放,敬请理解
讲课内容仅代表专家个人观点,非通桥医疗推广产品

声明:脑医汇旗下神外资讯、神介资讯、脑医咨询、Ai Brain 所发表内容之知识产权为脑医汇及主办方、原作者等相关权利人所有。
投稿邮箱:NAOYIHUI@163.com
未经许可,禁止进行转载、摘编、复制、裁切、录制等。经许可授权使用,亦须注明来源。欢迎转发、分享。
投稿/会议发布,请联系400-888-2526转3。











