脑医汇,由外而内,融“汇”贯通
--答案将在【影像时间·291】揭晓,敬请关注-- 参 考 文 献 ● ● 娄昕编译《神经影像学》,北京大学医学出版社 声明:脑医汇旗下神外资讯、神介资讯、神内资讯、脑医咨询、Ai Brain 所发表内容之知识产权为脑医汇及主办方、原作者等相关权利人所有。
![]()
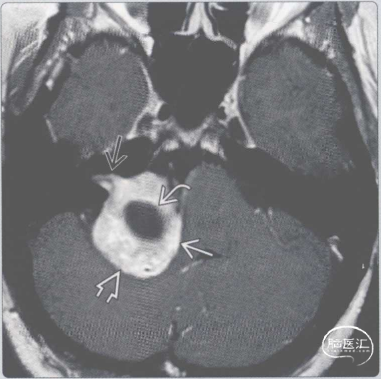
【影像时间·290】一位前庭神经鞘瘤患者
脑医汇,由外而内,融“汇”贯通
--答案将在【影像时间·291】揭晓,敬请关注-- 参 考 文 献 ● ● 娄昕编译《神经影像学》,北京大学医学出版社 声明:脑医汇旗下神外资讯、神介资讯、神内资讯、脑医咨询、Ai Brain 所发表内容之知识产权为脑医汇及主办方、原作者等相关权利人所有。
![]()