病例简介
姓名:骆**,性别:女,年龄:63岁。
主诉:四肢麻木伴行走不稳2年余。
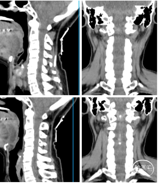
辅助检查:颈椎CT及MR示:脑干下份、C1-7水平脊髓上份见异常信号,累及长度约128mm,部分区域强化明显,内见病灶信号不均匀,增强见实性成分明显强化,相应水平脊髓肿胀等。


图1 颈椎CT及MRI示:脑干下份、C1-7及T1水平脊髓上份见异常信号,考虑室管膜瘤可能性大。
初步诊断
C1-7、T1髓内病灶:室管膜瘤?
手术情况
中山大学附属肿瘤医院影像医学中心的刘海彬医师为患者手术提供了高质量的影像学资料,为制定手术方案提供了很大的帮助。完善相关检查,经由神经外科脊髓脊柱亚专业组MDT讨论,骆女士的C1-7、T1髓内肿瘤行C3-6髓内肿瘤显微切除。行肿瘤边界分离,全切肿瘤,避免脊髓损伤,维护脊柱的稳定性,是该手术的目标。张继教授阅片后提出:C3-6髓内肿瘤,脊髓空洞明显,术中需严格肿瘤边界分解,诊断上考虑室管膜瘤可能性大,C3-6后路入路,充分暴露椎板后弓,便可充分显露肿瘤,颈髓后正中沟显露肿瘤,避免术中脊髓牵拉造成对脊髓的挫伤。




图2 术中情况:沿肿瘤两端分离,沿肿瘤边界分离,肿瘤切除后,脊髓中央管通畅,肿瘤全切。


术后病理

专家简介
张继 教授
中山大学附属肿瘤医院
医学博士,副主任医师,研究生导师
从事神经外科工作15余年,在神经系统肿瘤的诊断和治疗方面有丰富的临床经验。曾到Seoul National University Hospital、Prince of Wales Hospital、Kaohsiung Medical University等单位学习交流
近年,在Science Advances, BRIEF BIOINFORM等专业顶级期刊发表论文10余篇,主持及参与国自然和省级基金6项,获国家级发明专利2项。担任Molecular neurobiology, Journal of Food Technology and Food Chemistry, Journal of Chemotherapy, Neuroscience International等杂志的审稿人
在神经系统肿瘤的诊断和显微、内镜和立体定向治疗上积累了丰富的临床经验
刘海彬 主管技师
中山大学附属肿瘤医院
从事肿瘤影像技术工作,擅长CT和MRI的肿瘤影像检查工作,在头颈部的肿瘤影像技术方面有丰富的临床经验
近年,参与发表SCI等期刊论文2篇
陈卓鹏 住院医师
中山大学附属肿瘤医院
外科学硕士,住院医师
从事神经外科工作2年,主要从事中枢神经系统肿瘤的显微外科治疗、内镜治疗及综合治疗等
专业特长:1. 脑膜瘤、神经鞘瘤、垂体瘤等脑、脊髓椎管良性肿瘤外科治疗;2. 胶质瘤的外科治疗;3. 脑转移性肿瘤的外科治疗
声明:脑医汇旗下神外资讯、神介资讯、神内资讯、脑医咨询、AiBrain 所发表内容之知识产权为脑医汇及主办方、原作者等相关权利人所有。










