
治疗心得
对于治疗颈内动脉迂曲病变的患者治疗中应考虑术中使用器械的通过性与器械是否能够到位,迂曲病变会遇到在后续治疗中收伞和支架释放困难等问题,面对此类型病变建议使用导丝独立的活动式保护伞和血管顺应性较好的开环支架。本次展示的两个病例均为严重迂曲性病变,病例1利用独立导丝保护伞的良好通过性到达合适位置并顺利放伞,在收伞时使用伙伴导丝技术协助收伞,病例2则巧妙利用了中间导管进行保护伞的回收,使用特伊洛木马技术辅助释放支架。
CASE1.左侧颈内动脉重度狭窄、迂曲伴溃疡斑块形成
病史简介
患者基本信息
患者:女性,87岁。
现病史:
入院前2月始无明显诱因出现反复头晕,呈昏沉感,非视物旋转性,呈阵发性发作,伴视物模糊,伴乏力、心悸、气喘,无伴有耳鸣、晕厥,无胸闷、胸痛,无怕热、多汗,无明显尿黄等不适。
今为进一步治疗就诊我院神经内科,门诊拟“颈动脉狭窄”收入院。
既往史:无
术前诊断


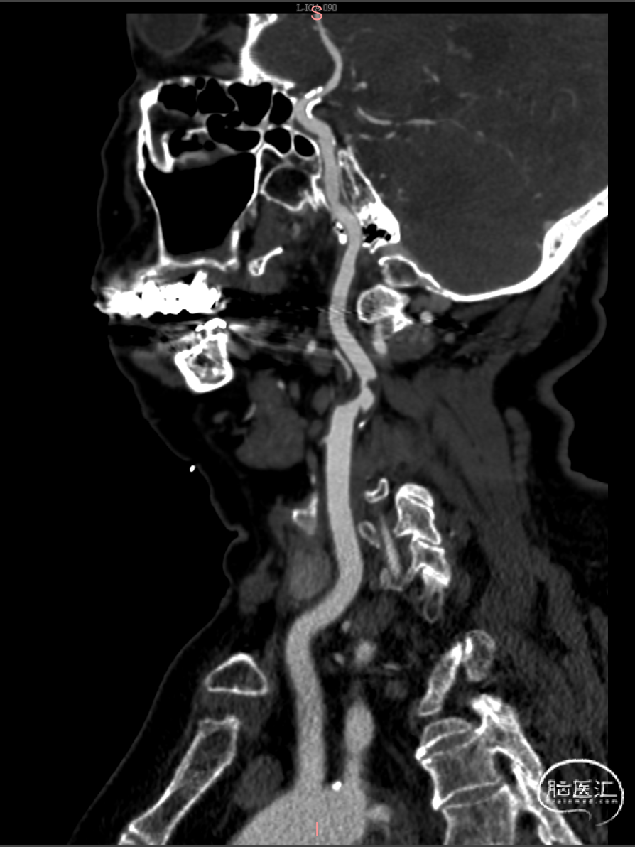
➢头颈部动脉CTA显示:
➢术前诊断:
1.左侧颈内动脉狭窄;
2.高血压病2级(极高危);
3.高脂血症;
4.胆囊结石,高尿酸血症。
治疗经过
术中涉及介入器械选择
Emboshield NAV6保护伞 7.2mm
Sterling球囊 4*30mm
Acculink锥形支架 6-8*40mm
V18导丝
8F导引导管
5F多功能管
手术过程
局麻下行“左侧颈内动脉C1段支架植入术”,常规消毒铺巾,1%利多卡因局部浸润麻醉后,采用改良seldinger技术行右侧股动脉穿刺,置入8F鞘。同轴技术下将8F导引导管超选至左侧颈总动脉造影,造影提示:左侧颈内动脉C1段重度狭窄伴溃疡斑块,狭窄率约80%。

在路图引导下,通过8F导引导管将NAV6保护伞专用导丝workhorse小心通过狭窄段并送至左颈内C1段远端,沿着workhorse导丝送入NAV6保护伞,定位于血管平直段并在透视下释放保护伞,造影显示NAV6保护伞贴壁良好,位置满意,前向血流通畅,未见血管痉挛。

沿workhorse导丝送入Sterling球囊 4*30mm至狭窄段,此时患者心率95次/分,迅速加压球囊至10atm,见球囊完全扩张后快速抽瘪球囊,造影显示残余狭窄率约为50%,患者心率86次/分。


球囊预扩后沿workhorse导丝送入6-8*40mm Acculink颈动脉支架至狭窄处,非剪影下利用骨性标志准确定位后缓慢释放支架。
造影显示支架完全覆盖狭窄段,与血管贴壁良好,残余狭窄率约10%,前向血流较前改善(TICI分级3级),缓慢小心撤出支架输送装置。

沿着workhorse导丝送入回收导管,由于血管较为迂曲,在伙伴导丝V18辅助下顺利回收NAV6保护伞,伞内见少许斑块碎屑样物质。

术后造影显示:前向血流较前改善(TICI分级3级),术后未发现新发的梗死灶,患者安返。

病例总结
此病例的手术难点在于左侧颈内动脉重度狭窄、远端迂曲且近端伴有溃疡斑块形成,这对于保护伞的通过性及到位性要求较高,同时也非常考验颈动脉支架的顺应性与柔顺性。
该病例采用独立导丝技术能够很轻松地将NAV6放置到位,收伞时在伙伴导丝的辅助下短暂改变血管形态后使得收伞更容易,避免了回收鞘不易到位,挂伞等情况的发生。
雅培 Acculink支架属于经典的开环支架,兼具柔顺性与支撑性,对于迂曲血管病变,能够很好的顺应血管解剖同时又能有效撑开斑块。纵向三根龙骨的设计使得支架在释放后不会短缩,其薄壁的设计能够最大程度上降低对血管的刺激,使患者长期获益。
CASE2.右侧颈内动脉极重度狭窄、颈内多处迂曲
病史简介
患者基本信息
患者:男性,75岁。
现病史:
入院前2月因“突发言语含糊伴口角歪斜16小时余”就诊我科完善脑血管造影(2023-10-17)示:
1.左侧颈内动脉起始段轻度狭窄;
2.左侧大脑中动脉M1段闭塞;
3.右侧颈内动脉起始段重度狭窄,颅内C6段瘤样突起;
4.右椎动脉起始段重度狭窄。
予抗血小板聚集、调脂稳斑、改善循环、营养神经、保胃等治疗后好转出院,出院后规律服药。
目前,患者右侧肢体无力好转,伴麻木,无头晕头痛,无发热咳嗽等不适症状,今为求进一步治疗,再次就诊我院,门诊拟行“颈内动脉狭窄”收治住院。
既往史:高血压数年(具体不详),最高血压180mmHg,未规律服用药物;否认糖尿病;否认冠心病。
术前诊断



术前CTA提示:右侧颈内动脉起始段重度狭窄;右侧椎动脉起始段重度狭窄;左侧大脑中动脉M1段闭塞,脑梗死恢复期。
治疗经过
术中涉及介入器械选择
Emboshield NAV6保护伞 7.2mm
Sterling球囊 5*30mm
Precise支架 8*40mm
普微森中间导管
PT2导丝
8F导引导管
5F多功能管
手术过程
局麻下行“右侧颈内动脉支架植入术”,常规消毒铺巾,1%利多卡因局部浸润麻醉后,采用改良seldinger技术行右侧股动脉穿刺,置入8F鞘,同轴技术下将8F导引导管超选至右侧颈动脉造影。

造影提示:右侧颈内动脉C1段重度狭窄,狭窄率约90%。

转至工作角度,沿8F导引导管内送入普微森中间导管至右侧颈总动脉分叉处,在路图引导下,沿中间导管内送入NAV6保护伞专用导丝workhorse,小心通过狭窄段;自带workhorse导丝通过性好,顺利通过重度狭窄段及两个C形弯至岩骨段。


沿workhorse导丝送入5*30mm Sterling球囊至狭窄段,迅速加压球囊至10atm可见球囊完全扩张,未见明显切迹,造影显示残余狭窄率约为40%。

球囊预扩张后,考虑患者血管比较迂曲对于后续支架释放困难和保护伞回收困难,故在负压抽吸下将普微森中间导管送至右侧颈内动脉C1段远端,且在中间导管的辅助下提前将保护伞回收。

此时中间管位于右侧颈内动脉C1段远端,沿中间导管送入PT2导丝,沿PT2导丝送入precise支架置于狭窄处,准确定位后,利用特伊洛木马技术,进行边回退中间导管边释放支架。

撤出支架输送装置,造影显示直接完全覆盖狭窄段并且贴壁良好,残余狭窄率约20%,前向血流较前改善(TICI分级3级),术后未发现新发的梗死灶。


病例总结
1.此病例的手术难点在于右侧颈内动脉重度狭窄(>90%)合并颈内动脉严重迂曲,颈内有多个C弯出现,这对于保护伞的到位性和着陆区要求都是比较高的。
雅培Emboshield NAV6保护伞时可以通过其导丝先行技术,将自带的workhorse导丝先行通过病变,导丝走远提供有效支撑后再上伞,这种技术在解剖复杂及严重狭窄的病变中有着独特的优势。
导丝到位后,推送NAV6保护伞的过程也比较顺利,整个输送系统拥有比较好的柔顺性与跟踪性。
该病例中保护伞预期着陆的位置有限,NAV6的着陆区较短,易定位,同时其圆形的镍钛合金骨架即使在迂曲的血管中亦能做到有效贴壁,最大程度捕获栓子。
NAV6通过外径小,可与多种中间导管配套使用,不仅在迂曲病变中有利于保护伞的释放与回收,并且对于长段和闭塞性病变也提供了更好的选择。
术者简介
洪全龙
福建省泉州市第一医院
福建省泉州市第一医院神经内科科主任,副主任医师
中国老年医学会神经医学分会委员
福建省医学会神经病学分会神经介入学组委员
福建省药学会血栓与止血工作委员会常务委员
福建省医师协会神经内科分会委员
福建省海医会心脑血管病防治分会理事
被中国卒中学会评为“全国百佳取栓先进个人”
![]()
科 室 简 介
泉州市第一医院神经内科是福建省临床重点学科、泉州市重点学科、北京天坛医院专科建设联盟单位、高级卒中中心、中风120福建特别行动组副组长单位,并建立多学科协作机制(MDT)和一站式会诊平台,现拥有4个病区,分为东街院区、城东院区(2个病区)、老年病院区,其中包括独立的神经介入与神经重症病区,床位数共计181张。并开设独立的急诊神经内科以及脑卒中绿道护士,溶栓、取栓量位居全省前列。
科室专硕士及以上学历28人,硕士研究生导师3人,分划脑血管病与介入治疗、神经心理及痴呆、癫痫和睡眠障碍、神经遗传和变性、神经免疫病、神经肌肉病、神经内分泌以及神经重症8个亚专业,开展急性缺血性卒中静脉溶栓、数字剪影血管造影、肉毒素治疗、多导睡眠、脑电图、肌电图、经颅多普勒超声等14项关键医疗技术,其中近年报备7项新技术项目,均已实现转化,近年来发表SCI文章近20篇,国内期刊文章70余篇,其中CSCD10篇。参与多项国家级临床药物实验及器械研究课题。
N38区:取栓专病团队成立于2019年,由洪全龙主任作为带头人,现已发展拥有31张介入和12张重症床位的独立病区。是泉州市“十四五” 高质量发展临床学科建设项目(第一批)市级专病团队。打造了一支年轻的专业卒中绿道团队,卒中诊治能力显著提高,3年来开展手术1000余台,手术量逐年增加,尤其急诊取栓,从无到有,从有到强,呈跨越式递增发展,取栓总量位居全省前列。
2022年2月神经介入团队和北京天坛医院神经介入中心马宁团队签订合作协议,进行深度合作,进一步提升技术水平,目前正逐步完善远程会诊、联合查房等相关软硬件的衔接。近年开展了经桡动脉穿刺、围手术期TCD监测等多项新技术,收到锦旗40余面,受到广泛赞誉,获得良好的社会效益。2022年9月顺利通过由国家卫生健康委能力建设和继续教育中心遴选评审,获得“国家神经介入建设中心”称号。

声明:脑医汇旗下神外资讯、神介资讯、脑医咨询、Ai Brain 所发表内容之知识产权为脑医汇及主办方、原作者等相关权利人所有。
投稿邮箱:NAOYIHUI@163.com
未经许可,禁止进行转载、摘编、复制、裁切、录制等。经许可授权使用,亦须注明来源。欢迎转发、分享。
投稿/会议发布,请联系400-888-2526转3。






