患者:女性,65岁,务农。
主诉:突发右侧肢体无力伴失语4小时。
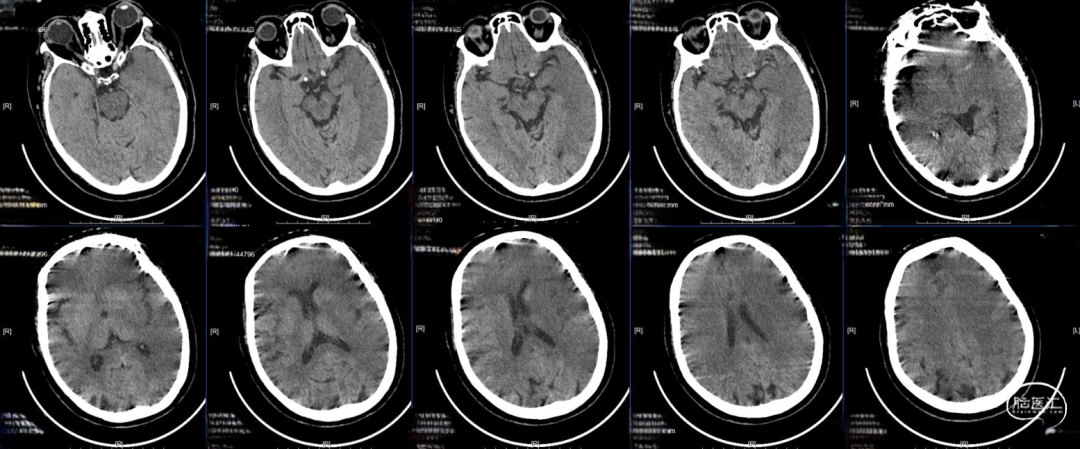
现病史:患者于2022年9月19日下午15点家务时突然出现右侧肢体无力并伴有不能言语,无发热、抽搐,当地医院急诊头颅CT提示左侧基底节区低密度病灶,未溶栓,立即送来我院,途中出现意识减退。
既往史:有房颤、心功能不全(IV级)病史、高血压病史,口服药物不规律。
入院PE:轻度谵妄,对答不能,查体不合作,右侧肢体无活动,感觉、共济不配合。
NIHSS评分=唤醒1分+提问2分+指令2分+凝视1分+面瘫3分+失语3分+肢体8分=20分
心电图:心房颤动,HR102次/分;胸部CT:双侧胸腔积液、心影增大;血糖:8.6mmol/L(指尖)。

CT-ASPECT评分2分。
头颈部CTA cbs评分9分。
发病时间
1、AIS-LVO,心源性
2、心房颤动
3、心功能不全、心功能IV级
4、高血压病(极高危组)
1、Large Infarcts静脉溶栓(×)。
2、发病6小时内的AIS-LVO、NIHSS评分20分、CT-ASPECT评分2分。
1、LIMIT等研究:EVT优于内科药物治疗,ASPECT评分3-5分。
2、TESLA研究:单纯采用CT评估,ASPECT评分2-5分
全麻下EVT(CT室直接转运到2号导管室)
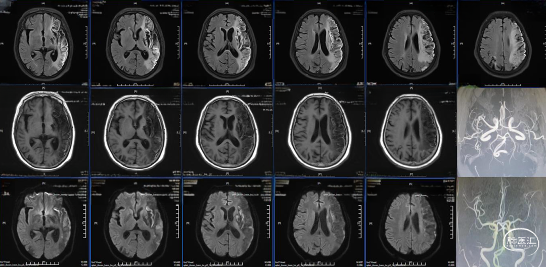
ASITN/SIR 1级-
第一个选择:
先近后远(球囊指引导管)
先远后近(✔)
STIFF导丝指引,NeuronMax长鞘连接抽吸泵,持续最大负压下缓慢进入C1中段。
轻推造影剂观察
直接微导管到位造影
ET2支架释放后造影,明确远端血栓位置和负荷
相信ET2支架的抓栓能力,没有盲交换上大口径的抽吸导管。
释放支架过程中,没有采用传统的直接脱鞘技术,而是采用支架微导丝、微导管给张力,类似EP2外弧释放技术,尽量在血管弯曲处均匀张开支架。
舍弃EPIC和SWIM技术,支架裸导丝、长鞘上高接近岩谷段并持续抽吸、利用ET2优势直接拉栓。
mTICI 2b
DPT50分钟,PRT26分钟
第二个选择:M2-M3是否取栓?
1、指南2级推荐C级证据,权衡利弊。
2、ET2支架可以满足中等血管取栓器械要求。
3、尽量3级再通。
微导管超选到位微量造影
ET2支架直接脱鞘技术半释放
支架半释放后造影
尝试拉栓,感觉阻力偏大,再次回收部分支架,阻力变小,故仍未采取盲交换上中间导管。
第三个选择:颈外动脉取栓否?直接贴敷支架?
栓塞机制、出血风险高,避免支架植入。
经长鞘释放保护伞后,在颈总造影
微导管颈外到位造影
ET2释放后造影
颈外拉栓后造影
保护伞取栓、长鞘带接抽吸泵负压
左侧颈总动脉造影
第一次颈内末端支架拉栓
保护伞“SWIM”取出的血栓
术后即刻DynaCT
6F Neuron Max长鞘
synchro2 微导丝
Rebar18 微导管
EmboTrap II 支架(5mm*33mm)
Emboshield NAV6保护伞(7.2mm)
1、入NICU,呼吸机维持、持续深度镇静、延迟复苏24小时。
2、收缩压严格控制90-110mmHg之间,实际未超过100mmHg。
3、术后即刻亚低温治疗(维持肛温33℃-35℃)24小时后缓慢复温。
4、术中即予以鼻肠管,补液、脱水,维持出入量负平衡。
5、白蛋白10g q12h,甲泼尼龙40mg BID3天。
6、心内科、呼吸内科、中心ICU、麻醉科多科MDT联合。
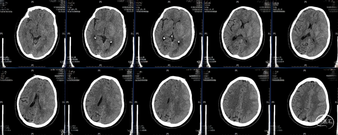
术后24小时复查CT,高灌注、轻肿胀,未见明显出血,轻度镇静至停用镇静,过程中可唤醒,自然复苏,呼吸机维持。
术后48小时复查CT,左半球大片低密度病灶、中线偏移,有主动睁眼、遵嘱动作,暂停呼吸机,延迟拔管,备去骨瓣。
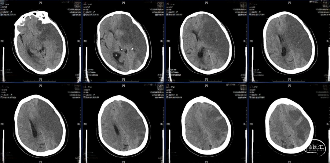
术后96小时复查CT,左侧半球肿胀未继续进展,嗜睡,易唤醒、有睁眼、遵嘱动作,右侧肢体有自主动作,拔除气管插管。
术后第14天启动抗凝,术后第19天复查CT,术后第20天出院,NIHSS评分8分,mRs评分4分。
术后门诊随访,术后2月时mRS评分3分,术后4月时mRS评分2分,6月时随访mRS评分2分。
术者简介
董国兴
安徽医科大学附属安庆第一人民医院
●安徽医科大学附属安庆第一人民医院神经内科龙山病区诊疗组长,副主任医师。
●先后多次在东部战区总医院、安医大一附院、安徽省立医院、北京天坛医院进修和培训急慢诊神经介入诊疗技术。

声明:脑医汇旗下神外资讯、神介资讯、脑医咨询、Ai Brain 所发表内容之知识产权为脑医汇及主办方、原作者等相关权利人所有。
投稿邮箱:NAOYIHUI@163.com
未经许可,禁止进行转载、摘编、复制、裁切、录制等。经许可授权使用,亦须注明来源。欢迎转发、分享。
投稿/会议发布,请联系400-888-2526转3。