颅内感染性动脉瘤——定义与流行病学
对于颅内感染性动脉瘤破裂的患者,建议在抗感染的基础上,积极手术治疗。
![]()
1
病例一
现病史:15日前无明显诱因间断发热,Tmax 39℃,伴头晕,心悸、乏力,予抗生素治疗后体温正常。5日前再次出现发热,性质同前,当地医院考虑发热原因待查,抗生素、对症处理效果不佳,因血压80/50mmHg、心肌酶危急值来我院急诊。完善超声心动图提示:二尖瓣前叶穿孔伴赘生物形成,重度二尖瓣关闭不全。考虑感染性心内膜炎可能大。
![]()
诊疗经过
![]()
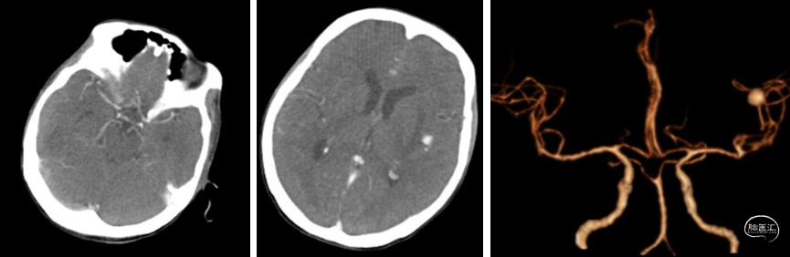
2023年11月23日来我院急诊完善头CTA(未见动脉瘤)、胸腹CT后,11/24急诊全麻下行“二尖瓣成形、三尖瓣成形、心外膜临时起搏电极植入术”;术后返外科ICU,恢复顺利,11/28返心外病房,11/29患者出现反应迟钝、言语减少,急查头CT见颅内多发高密度灶,保守治疗。11/30复查头CT较前变化不明显,之后患者颅内病情平稳,12/4转入感染科继续抗感染治疗。12/10 20点排便后,突发意识障碍,急查头CT提示颅内高密度较前明显扩大,出血可能。急诊抢救、插管后,查头颈CTA提示颅内多发动脉瘤、多发出血、大脑镰下疝。
![]()
颅内影像
![]()





![]()
术中图片
![]()




![]()
术后病理
![]()
A(颅内血肿)凝血样物一堆,总体积5×3×5cm。
B(颅内脓肿)灰粉碎组织一堆,总直径0.8cm。
2
病例二
徐某某,59F,身高157cm,体重45kg。
主诉:活动后喘憋20年,加重伴不能平卧6月余。
现病史:20年前无明显诱因出现活动后喘憋,外院曾诊断风湿性心脏病,平素规律口服强心、利尿治疗,症状较稳定。2023年4月出现活动后喘憋加重,无法平卧,超声心动图提示:风湿性心脏病,二尖瓣狭窄(重度)并关闭不全(重度)、三尖瓣关闭不全(重度)。就诊北京两家心脏专科医院,考虑患者体弱无法耐受手术,调整保守治疗药物。近半年体重下降1kg。2023年11月收入我院心外科。
![]()
诊疗经过
![]()
![]()
颅内影像
![]()




![]()
术中图片
![]()



![]()
术后病理
![]()
总结
感染性动脉瘤破裂,可以考虑积极手术;
感染性动脉瘤常常多发,具有多个供血、引流血管,需逐一处理;
继发于感染性心内膜炎的颅内感染性动脉瘤,手术难度高,手术时机把握具有挑战性,需要神经外科和心外科紧密合作,是体现高难度脑心同治的疾病;
神经外科、心外科的手术,是治疗继发感染性动脉瘤的关键,同时在诊断、围术期,需要内科、感染科、重症医学科、急诊科、康复医学科、放射科的团队紧密协作,发挥MDT的优势;
此类病人多为低收入的弱势群体。其治疗不仅涉及疾病本身的多学科支持,还涉及患者父母的心理支持与社会支持,需要和缓医疗、社会救助的共同努力。
![]()
专家简介
![]()
赵元立 教授
北京协和医院
主任医师,教授,博士生导师,北京协和医院神经外科主任。
1996年毕业于中国协和医科大学八年制医学专业,获得医学博士学位,1996-2023年在首都医科大学附属北京天坛医院神经外科工作,作为神经外科学术带头人之一,在国内最先开展神经导航和微创手术。临床工作重点集中在疑难复杂脑血管病和脑肿瘤的开颅和血管内介入复合手术、心脑血管共患病协同防治等领域,近年来还积极开展脑机接口、3D打印脑网络修复重建等方面的临床和基础研究工作。1999年和2008年在美国哈佛大学麻省总医院和Johns Hopkins医院进修学习。2005年起担任北京天坛医院神经外科中心脑血管外科和老年肿瘤专业组主任,作为课题组骨干成员,参与多项脑血管病和颅脑肿瘤的国家重点科技研发项目,三次获得国家科技进步二等奖,以及北京市科技进步一等奖、中华医学科技一等奖、茅以升青年科技奖等科技奖励。2015年至2022年兼任北京大学国际医院神经外科主任。兼任中华医学会神经外科学分会第五、六、七届青年委员会副主委、第八届全国委员会委员。2015年起担任中华神经外科杂志英文版编辑部主任。
主持多项国家自然科学基金,入选国之名医、北京市科技新星、北京市优秀青年知识分子等。
2020年入选百千万人才工程国家级人选、国家级有突出贡献中青年专家。累计发表SCI论文375余篇,H指数28。培养博士后3人,博士22人,硕士40余人。第十一届全国青联委员。
声明:脑医汇旗下神外资讯、神介资讯、神内资讯、脑医咨询、AiBrain 所发表内容之知识产权为脑医汇及主办方、原作者等相关权利人所有。





