患者:男性,55岁。
主诉:突发右侧肢体活动障碍7.5小时。
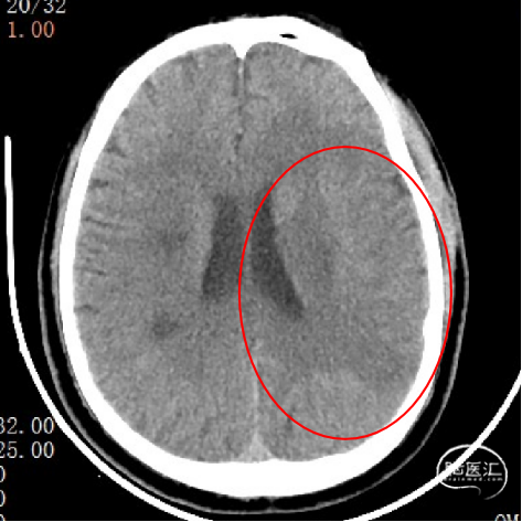
现病史:患者于7.5小时前突然出现右侧肢体乏力伴失语,就诊当地医院,查头颅MRI提示左侧大脑半球多发局部脑组织弥散受限,具体不详,症状波动进展,转来我院急诊。(当地未溶栓)
入院查体:意识模糊,失语,双侧向左凝视,右侧鼻唇沟变浅,伸舌不合作,口角向左歪斜,右侧肢体刺痛未见活动,NIHSS评分20分。
既往史:无殊。
检查:心电图窦性心律,血液学检查无特殊。
CT

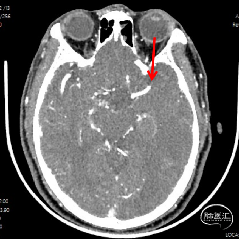
CTA




CTP

rCBF<30%:25.1ml
Tmax>6.0s:173.9ml
失配体积:148.8ml
DSA

1、急性脑梗死。2、左侧大脑中动脉M1段闭塞。
ICAS合并血栓?
夹层合并血栓?
栓塞?
微导管通过后,结合首过效应、支架释放效应等决定取栓及后续策略。
6F 90cm Neuromax
6F 125cm 中天远端通路导管
Rebar-18微导管
200cm Synchro II微导丝
4-40 心玮取栓支架
备用:
300cm Synchro II微导丝、颅内球囊、颅内支架
微导丝前行有阻力,调整后通过
微导管通过后回撤


首过效应(+)
心玮 4-40取栓支架释放后,支架释放效应(+)
SWIM一把通?

管壁毛糙,泵替罗非班观察15分钟(60Kg,静脉推注7ml后7ml/h微泵维持)。

CT良好
15分钟后“打回原形”
1、原位血栓?→替罗非班已泵
2、ICAS闭塞?

3、夹层含壁间血肿成分再次闭塞?
1、再次释放取栓支架:
优点:可以帮助判断再次闭塞性质,可取残余血栓。
缺点:支撑力差,如管腔重建差,可能再次取栓,如为夹层病变反复操作,有一定几率导致再次寻找真腔困难。
2、直接释放自膨支架:✔
优点:支撑性强,如一次重建良好,可显著简化操作,避免夹层撕裂风险。
缺点:可能存在残余血栓或狭窄。做好后扩准备。
支架导管确认真腔
静脉维持基础上3ml替罗非班动脉推注,4.5*20 EZ(手头无EP)

支架输送导丝,路途显示残留狭窄,跟进支架导管备后扩
3m导丝支架内成袢通过
导丝到位后即刻造影
观察后血流变差
2.0*10白驹跟进困难,更换1.5*15
10atm扩张,血流维持差
2.0*10白驹通过顺利
打起后原位维持2分钟
“天又亮了”

局麻手术,术后密切观察下第二天头颅CT复查。
●术中替罗非班7ml静推,7ml/h微泵维持。
●20h后(拜阿司匹林、氯吡格雷负荷量重叠替罗非班4小时)。
●拜阿司匹林 0.1 qm
●氯吡格雷 75mg qm
●阿托伐他汀 40mg qn
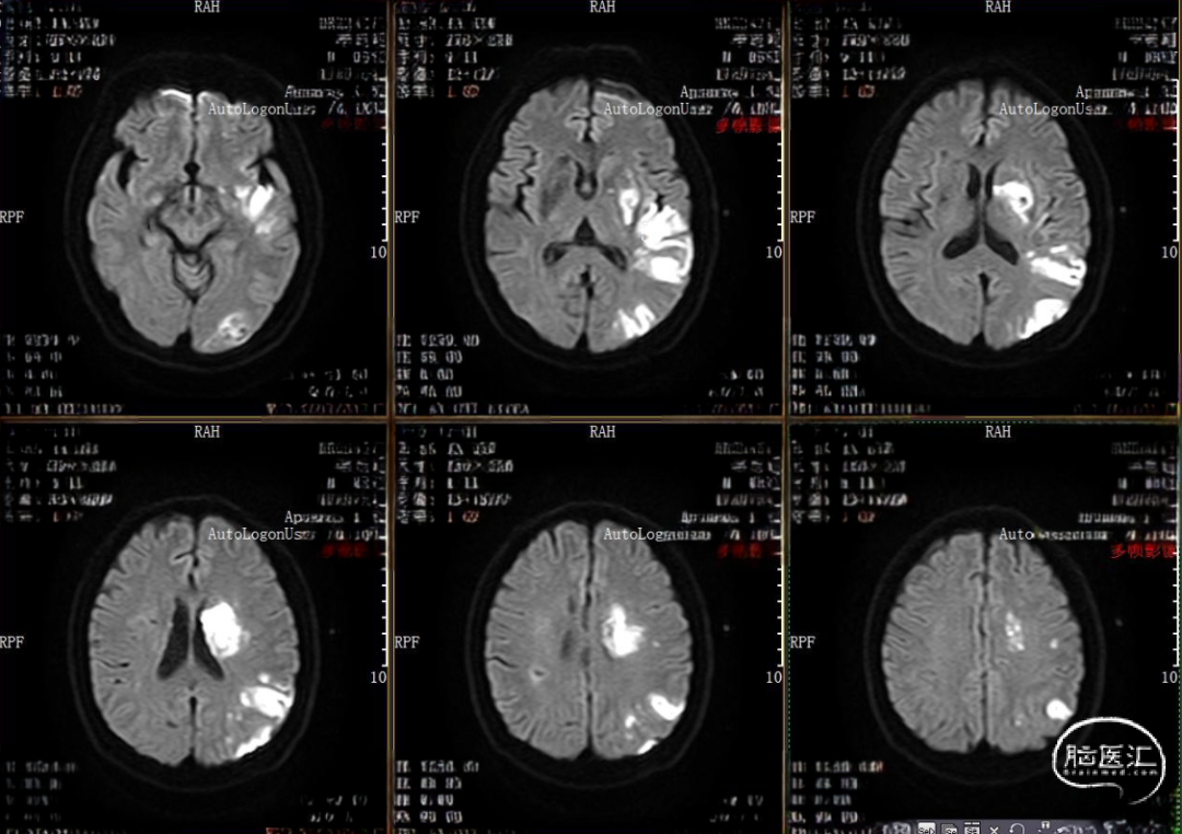
术后MRI

●24小时动态心电图示:1、窦性心律,2、房性早搏17次,短阵性房性心动过速,3、常规心电图:窦性心律。
●心超示左心室顺应性降低。
●神清,言语含糊,左侧肢体肌力Ⅴ级,右侧肢体肌力Ⅲ-Ⅳ级。
●NIHSS评分10分,MRS 4分。
四个月影像学检查

临床随访
七个月影像学

术者简介
李振强
宁波市医疗中心李惠利医院
●神经外科,副主任医师,从业超15年。
●曾在全国多家国家脑防委脑血管病培训中心学习。
●2022全国首届神经介入医师手术大赛三等奖,人气医师奖。
●2022浙江省神经介入病例大赛二等奖。
●发表论文多篇,其中SCI三篇,最高影响因子8.572分,参与多项省市课题。
●擅长:熟练掌握神经外科脑外伤、脑出血、脑积水、颅骨修补、脑肿瘤等常规手术。重点专注于全系列脑血管病治疗,包括颅内动脉瘤、脑血管畸形及瘘、颈动脉椎动脉狭窄、颅内血管狭窄、急性脑梗死取栓等。年完成脑血管病各类手术及操作超400台。
声明:脑医汇旗下神外资讯、神介资讯、脑医咨询、Ai Brain 所发表内容之知识产权为脑医汇及主办方、原作者等相关权利人所有。
投稿邮箱:NAOYIHUI@163.com
未经许可,禁止进行转载、摘编、复制、裁切、录制等。经许可授权使用,亦须注明来源。欢迎转发、分享。
投稿/会议发布,请联系400-888-2526转3。








