2024年01月17日发布 | 146阅读

马龙教授:动脉瘤栓塞之复盘与思索①——椎动脉颅内段夹层动脉瘤

马龙

西宁市第一人民医院

达人收藏

前言

做了很多颅内动脉瘤手术,也经常复盘做过的手术,有美中不足的,也有几乎完美无瑕的,但无论如何,复盘和思索不断让人进步,经常思索:如何将一项永远不可能完美的工作变得无限接近完美?带着这样的思考,决定从今天开始会不间断的推出复盘病例,让自己从复盘病例中不断进步,也与同道中人共享。


病例简介


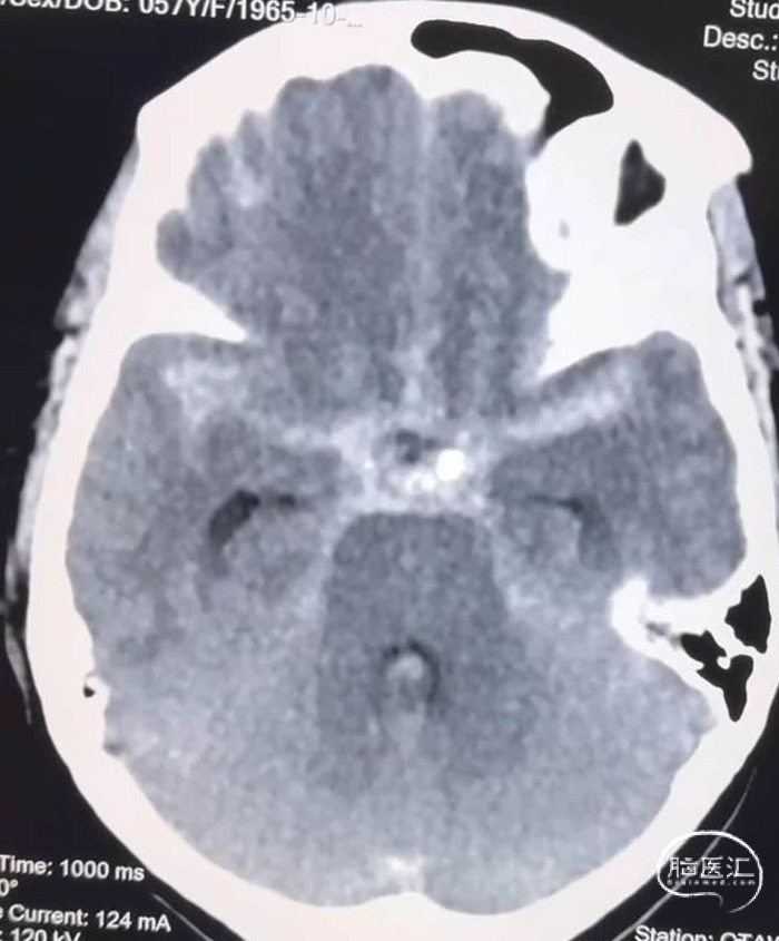
这是一个中年女性,广东佛山人,来青海旅游期间突然出现剧烈头痛、恶心、呕吐,由朋友送到距离最近的县医院,头颅CT示广泛性蛛网膜下腔出血,遂快速转入我院进入绿色通道进行快速评估。




快速行头颈部CTA显示罪魁祸首是左侧椎动脉颅内段夹层动脉瘤,动脉瘤呈三角形,基底很宽,进深很浅,根据经验,动脉瘤凸起部分只是冰山一角,往往凸起部分的对侧及远近端血管都会受到病变累及。



头颈部CTA最大的好处,就是在最短的时间之内看到血管关系的全貌。


该病例病变侧椎动脉是非优势侧,对侧椎动脉比较发达,且汇入基底动脉,对远端的基底动脉及小脑上动脉、大脑后动脉供血很充分。




该手术怎么做更合理?风险更小?短时间之内必须要考虑清楚的,用一个编织支架或密网支架辅助,可以把动脉瘤凸起部分栓塞掉,从而能保住病变所在的椎动脉,这似乎是最合理的手术方案,也是大部分人能接受的方案。



但是,用支架辅助动脉瘤栓塞,手术操作相对比较繁琐,为了保住载瘤动脉,弹簧圈的栓塞不可能太致密,存在复发的风险,而一旦复发后果不堪设想……


另外,还需要吃双联抗血小板药物,如果术后做侧脑室穿刺引流等,有一定的麻烦和顾虑。


考虑到动脉瘤累及到血管的一周,既血管壁的一圈,而小脑后下动脉距离病变有相当长的距离,且对侧椎动脉发达,基底动脉的供血不成问题,所以果断决定闭塞载瘤动脉及动脉瘤,以绝后患。



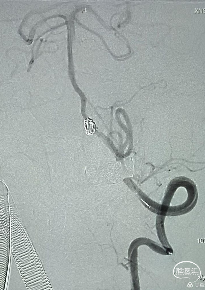
手术方案一旦形成,操作就变得非常简单,微导丝携带微导管很快到达动脉瘤腔。




选择合适的弹簧圈填塞动脉瘤腔,调控微导管的张力,让弹簧圈分布尽量均匀一些。



两枚弹簧圈填塞后造影,见载瘤动脉仍通畅,这种情况仍然有复发并再出血的风险。



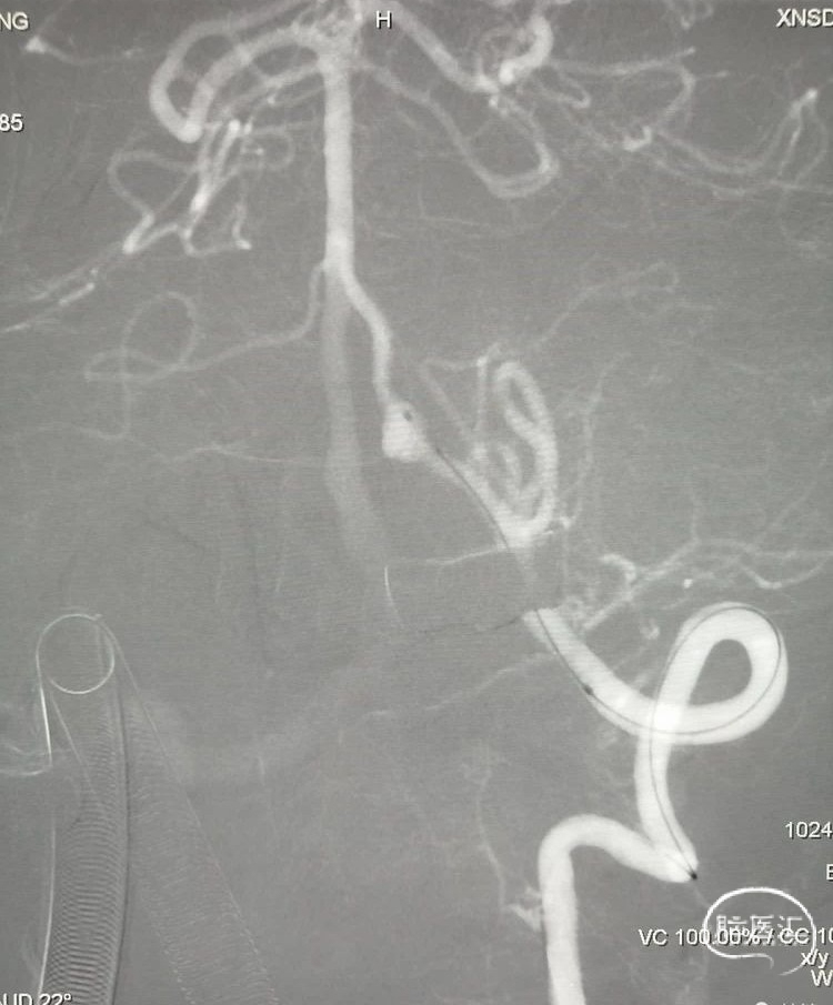
继续填塞弹簧圈,瘤体近端约2mm的血管一并栓塞做成“塞子”。



数枚弹簧圈进去,载瘤动脉及动脉瘤致密栓塞,小脑后下动脉显影良好,且有侧支与基底动脉近端联通。





术后用导引导管到右侧锁骨下动脉造影,显示右侧椎动脉、基底动脉及远端的各重要分支血流通畅,手术用时不足半小时,麻醉醒后患者无任何神经功能缺损表现,住院一周后回广东了,嘱咐患者三个月后在当地医院复查。


当然,没有一例手术方案绝对是正确的或是错误的,当我们面对一个个例时,需要个体化思考,手术方案也要相应的做出变化,选择最合适的,可能是最合理的,我也需要不断的复盘、不断的思索,向完美无限靠近。



声明:脑医汇旗下神外资讯、神介资讯、脑医咨询、Ai Brain 所发表内容之知识产权为脑医汇及主办方、原作者等相关权利人所有。

投稿邮箱:NAOYIHUI@163.com

未经许可,禁止进行转载、摘编、复制、裁切、录制等。经许可授权使用,亦须注明来源。欢迎转发、分享。

投稿/会议发布,请联系400-888-2526转3。



最新评论
发表你的评论
发表你的评论