
拆弹秘籍速递
当PICA破裂动脉瘤遇见血管成角90°
![]()
DCwire™带你揭秘手术全过程 !!
术者寄语
中国颅内破裂动脉瘤诊疗指南-对重症破裂动脉瘤、老年、椎基底破裂动脉瘤患者,倾向首选介入栓塞治疗(II级推荐,B级证据)。患者脑疝,5级动脉瘤,急诊行侧脑室穿刺引流术减轻颅内压,视术后情况备急诊动脉瘤栓塞。手术创伤较小,患者家属接受。
患者左侧PICA动脉瘤破裂,而PICA作为椎动脉的重要分支,其闭塞可能造成延髓及小脑半球的缺血或者梗死,所以栓塞的同时必须首先保护好PICA,尽可能孤立或者致密栓塞动脉瘤,防止其再次出血,此为治疗难点一;且此例载瘤动脉血管成角刁钻,呈近似90°直角弯,支架微导管到位存在困难,导丝的选择和超选尤为重要,此为治疗难点二。故选择合适的通路建立及治疗器械是手术成功的关键。



<< 左右滑动切换图片 <<
病史简介
患者:男性,61岁。
主诉:被发现意识障碍8小时入院。
现病史:患者8小时前被发现意识障碍,邻居急呼120到当地医院,完善CT示:SAH破入脑室,当地医院予气管插管后转入我院,急诊行CTA考虑左侧PICA动脉瘤破裂出血破入脑室,急诊收住院。
既往史:高血压病史8年,冠心病病史5年,规律服用阿司匹林、阿托伐他汀治疗。
入院查体:神志昏迷,GCS评分:E1V1M3=5分,Hunt-Hess分级:5级,NIHSS评分32分,双侧瞳孔直径4mm,对光反射消失,颈抗阳性,四肢刺痛收缩反应,肌张力偏高,病理征阴性。
术前影像
术前头部CTA及胸部CT:左侧PICA动脉瘤破裂出血破入脑室,肺部感染。





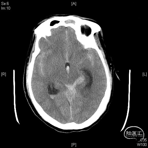
术前CT

术前CTA
治疗策略
➢初步诊断
1.左侧PICA动脉瘤破裂伴蛛网膜下腔出血;
2.脑室积血;
3.脑疝;
4.肺部感染;
5.高血压病3级,极高危;
6.冠心病。
➢术前讨论
开颅动脉瘤夹闭+侧脑室穿刺引流,手术风险相对较高,创伤较大,患者家属拒绝。
中国颅内破裂动脉瘤诊疗指南-对重症破裂动脉瘤、老年、椎基底破裂动脉瘤患者,倾向首选介入栓塞治疗(II级推荐,B级证据)。患者脑疝,5级动脉瘤,急诊行侧脑室穿刺引流术减轻颅内压,视术后情况备急诊动脉瘤栓塞。手术创伤较小,患者家属接受。
患者左侧PICA动脉瘤破裂,而PICA作为椎动脉的重要分支,其闭塞可能造成延髓及小脑半球的缺血或者梗死,所以栓塞的同时必须首先保护好PICA,尽可能孤立或者致密栓塞动脉瘤,防止其再次出血,此为治疗难点一;且此例载瘤动脉血管成角刁钻,呈近似90°直角弯,支架微导管到位存在困难,导丝的选择和超选尤为重要,此为治疗难点二。
术中涉及介入器械选择
8F导引导管
DCwire™微导丝( 215cm-0.014inch-Standrad)
微导管:SL-10×2
6F 105cm Tethys®中间导引导管
激光雕刻辅助支架 4.5*21mm
Jasper®弹簧圈及其他弹簧圈
手术过程
病变情况分析:术前DSA显示左侧PICA起始部动脉瘤,形态不规则,3D结果显示动脉瘤大小约为6.6*14mm,瘤颈宽6.2mm。

Tethys®中间导引导管顺利到达V4段,为后续通路建立提供稳定支撑。

DCwire™微导丝精准扭控,引导第一根SL-10支架微导管过瘤颈及直角弯,超选至基底动脉。
继续使用DCwire™微导丝,轻松引导第二根SL-10栓塞微导管进入瘤腔,安全可控。连续两次使同一根微导丝带两根微导管到位,实现精准扭控超选。
先将1枚弹簧圈释放于动脉瘤腔内不解脱,给予替罗非班抗血小板治疗,4.5*21mm支架横跨瘤颈成功释放,将支架微导管穿支架网眼置于动脉瘤内,双微导管技术填塞Jasper®弹簧圈及其他弹簧圈以实现致密栓塞。瘤腔填塞满意,载瘤动脉及远端分支通畅。


术后情况
➢术后即刻造影

术后正位

术后侧位
➢术后CT




病例总结
1.小脑后下动脉(PICA)动脉瘤相对少见,约仅占颅内动脉瘤的0.5%~3%。发生于PICA的动脉瘤初次出血后,急性期再出血的发生率及Hunt-Hess级别较高,且再次出血的死亡率高,故对PICA动脉瘤破裂出血患者及时诊断与治疗非常重要。此例破裂动脉瘤位于椎动脉与PICA夹角处,与PICA关系密切,且左侧椎动脉为优势动脉(生命中枢脑干的最主要供血来源),所以必须首先保障PICA动脉的血流不受影响,并尽可能致密栓塞动脉瘤杜绝再出血风险,降低动脉瘤远期复发率。
2.术中应用了Tethys®中间导引导管到达V4段,稳定建立主体通路。并使用了一款“微构”设计的神经微导丝—DCwire™微导丝,在面对载瘤动脉血管成角近似90°时,表现出优异的扭控性及通过性,顺利引导支架微导管到位,以及帮助栓塞微导管轻松置入瘤腔,提高了手术通路建立的效率及手术的成功率。
术者简介
樊天禹
长沙市中心医院
神经外科主任,主任医师,医学博士,硕导
本科、硕士毕业于中南大学;博士毕业于南方医科大学;国内外多个顶级神经外科中心交流学习
国家卫健委脑卒中防治专家委员会委员
长沙市神经外科协会副主任委员
德国Klinikum Kassel访问学者
长沙市优秀医师、德艺双馨最美医师
从事神经外科临床工作18余年,目前已有超4000例开颅手术经验,超2000例四类高难度手术主刀经验。特别擅长脑血管病(脑动脉瘤、血管畸形等)介入及开颅手术、小儿神经系统疾病、神经系统肿瘤、功能神经外科(三叉神经痛、面积痉挛)等多种高难度手术
黄云峰
长沙市中心医院
医学硕士,副主任医师,南华大学附属长沙中心医院神外ICU负责人
世界华人医师协会颅脑创伤专业委员会委员
中华医学会长沙市神经外科委员会委员
湖南省健康管理学会第一届神经损伤全病程管理专业委员会常委
湖南省康复医学会重症康复委员会委员
《中南药学》杂志审稿专家
以色列特拉维夫大学舍巴医学中心访问学者
主持湖南省自然科学基金(面上项目)1项,获国家发明专利1项,参编著作3部,发表医学论文12篇
张帅
长沙市中心医院
南华大学附属长沙中心医院神经外科副主任医师,毕业于中南大学湘雅医学院
2017年宣武医院进修颈动脉内膜剥脱;2019年参加珠江-宣武医院举办的CIAP解剖培训班;2021年参加天坛医院颅底外科解剖高级研修班
长沙市医学会神经外科分会委员
湖南省中医药和中西医结合学会脑病专业委员会委员
主攻脑血管疾病的介入与开颅手术治疗、颈动脉狭窄的手术治疗。发表SCI论文2篇,核心期刊论文多篇,参研省市级课题3项
特别说明:本页面所包含的文字、图片、音视频等内容仅供医学专业人士参考。本页面所包含的内容,仅为专家个人观点,不能代替医疗专业人士的判断。本页面不向非医学专业人士开放,敬请理解。
声明:脑医汇旗下神外资讯、神介资讯、脑医咨询、Ai Brain 所发表内容之知识产权为脑医汇及主办方、原作者等相关权利人所有。
投稿邮箱:NAOYIHUI@163.com
未经许可,禁止进行转载、摘编、复制、裁切、录制等。经许可授权使用,亦须注明来源。欢迎转发、分享。
投稿/会议发布,请联系400-888-2526转3。











