


病史简介
患者:男性,74岁
主诉:右下肢无力7年。1个月前头晕。
既往史:患者7年前因脑梗死遗留右下肢无力。“高血压” 20余年,药物治疗,血压控制可。
入院查体:
右上肢肌力5级,右侧下肢肌力5级-,肌张力正常。
Babinski征(-),Kernig征(-),NIHSS评分0分,mRS评分1分。
术前检查
颈脑联合超声:
左侧颈动脉球部狭窄(70%-99%)、左侧后交通支开放。
左侧颈内-外侧枝循环开放、右侧锁骨下动脉起始处斑块。
右侧大脑中动脉狭窄(轻度)、右侧颈内动脉终末段狭窄(轻度) 。
基底动脉狭窄(轻-中度)。
术前影像
术前头颅CT。

术前DWI。

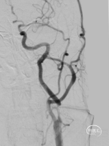
术前DSA。


右侧正侧位造影。


左侧正侧位造影。


右侧椎动脉正侧位造影。


左侧椎动脉正侧位造影。
DSA可见:左侧颈内动脉C1段重度狭窄,狭窄率约90%。
手术方案
患者有明确的动脉粥样硬化高危因素,且出现脑缺血症状,考虑颈动脉狭窄所致,造影后发现左侧颈内动脉起始部血管迂曲且重度狭窄。拟行脑保护伞下颈动脉支架植入术。

局麻下经右侧股动脉入路,将心玮游丝微导丝超选至左侧颈总动脉,并跟进长鞘到达左侧颈总动脉,血管造影后见左侧颈动脉起始部重度狭窄。测得保护伞放置区域血管直径为4.39mm,狭窄段长度为19.53mm。

随后在路图下,小心将导丝越过重度狭窄病变,过程中心玮游丝微导丝表现出良好的扭控过弯能力,超选精准,整体操控顺畅丝滑。将心玮5-320灵笼栓塞保护器通过微导丝送至预期位置后回撤输送鞘将保护伞原位释放。

利用快交技术将心玮4-30披荆颈动脉球囊扩张导管通过保护伞导丝输送至狭窄处进行预扩张,在路图下可见心玮披荆颈动脉球囊扩张导管整体充盈充分,形态良好,经球囊预处理后,造影可见狭窄段开放良好,未见夹层出现。随后顺利撤回球囊。
然后通过保护伞导丝将支架输送到位,并顺利释放。造影见狭窄解除,血流通畅。回收装置顺利回收保护伞,观察保护伞内未见明显栓子。术后正侧位造影提示狭窄段开放,支架贴壁良好,支架处残余狭窄率小于10%,无血管夹层,左侧颈内动脉充盈较术前迅速,血管走形、形态未见明显异常。




心玮医疗
HEART CARE
上海心玮医疗科技股份有限公司(股票代码:06609.HK)成立于 2016 年,公司致力于提高创新医疗技术的可及性,守护生命健康。七年时间,心玮医疗在神经介入领域开拓性地打造了国内卒中治疗及预防一站式解决方案,拥有从急性缺血性卒中和神经血管狭窄治疗、缺血性卒中预防、出血性卒中治疗到介入通路器械的全产品管线,申请专利超过 300 项,销售渠道覆盖了国内除香港和澳门地区以外的全部省份。

声明:脑医汇旗下神外资讯、神介资讯、脑医咨询、Ai Brain 所发表内容之知识产权为脑医汇及主办方、原作者等相关权利人所有。
投稿邮箱:NAOYIHUI@163.com
未经许可,禁止进行转载、摘编、复制、裁切、录制等。经许可授权使用,亦须注明来源。欢迎转发、分享。
投稿/会议发布,请联系400-888-2526转3。





