
主 编:刘建民 海军军医大学第一附属医院
执行主编:赵开军 同济大学附属东方医院
题目:
静脉入路治愈性栓塞舌下神经管区硬脑膜动静脉瘘
Transvenous curative embolization of HCDAVF
摘要:
38岁男性患者,左眼外突合并球结膜水肿一个月。造影确诊舌下神经管区动静脉瘘,经静脉入路治愈性栓塞。
Abstract: A 38-year-old male patient had been presented with the left eye protruding and conjunctival edema for one month. The DSA revealed a left HCDAVF. The HCDAVF was curative embolized through the venous approach.
前言
舌下神经管区DAVF(Dural arteriovenous fistulas of the hypoglossal canal,HCDAVFs)是DAVF的一种罕见类型,仅占颅内DAVF的1.8%~5.1%。HCDAVF常与眼眶,后颅窝硬膜静脉窦、椎内外静脉系统等形成复杂静脉吻合,其症状较为多样,且诊治均有一定难度。血管内治疗是目前HCDAVFs较为安全、有效的方式。然而,既往的经动脉入路栓塞,治愈难度较大,且易造成重要的正常供血动脉误栓。经静脉入路栓塞是一种相对安全、治愈率较高的治疗方法。
病例简介
患者: 男性,38岁
主诉:左眼外突合并球结膜水肿一个月
现病史:一个月前出现球结膜水肿,未予重视,后逐渐出现左眼外突,眼球活动困难。
既往史:高血压。
查体:神清语利,左侧球结膜水肿,左眼外突,外展不能。
初步诊断:左侧舌下神经管区DAVF,高血压。
术前影像学资料
(CT、MRI、DSA等)

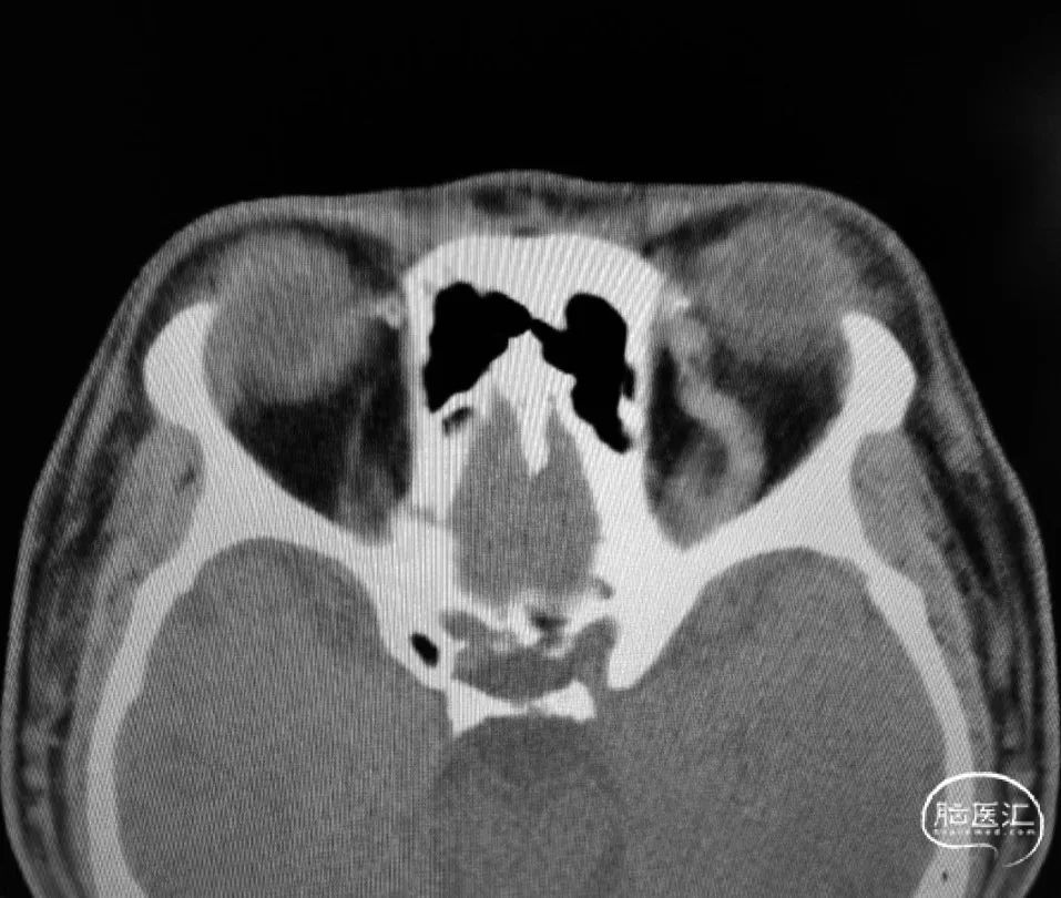
术前CT见左侧眼上静脉扩张
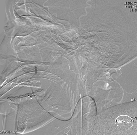
LECA

LECA

LECA

左侧咽升供血的HCDAVF,逆流至海绵窦,经眼上静脉-面静脉引流。



治疗方案
1、瘘口经同侧咽升动脉供血,动脉入路栓塞可能因栓塞过程中胶的返流导致后组颅神经麻痹,或通过危险吻合进入颈内系统;该瘘口主要返流海绵窦,经眼上静脉-面静脉引流,可经静脉入路使用Onyx胶栓塞,术中为避免Onyx的过度弥散,考虑结合弹簧圈栓塞。
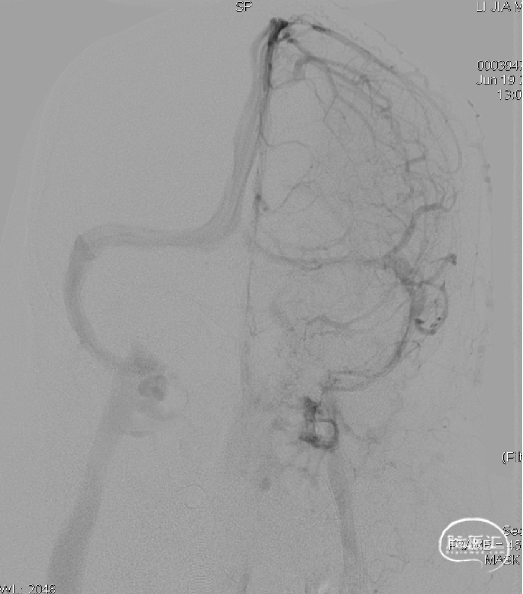
2、右侧股静脉-6F Envoy到达颈内静脉,Echelon微导管通过面静脉-眼上静脉-海绵窦-瘘口超选;左侧股动脉-颈外造影;
器械材料和设备
1、8F长鞘,90cm(普微森,China)
2、5F远端通路导管,115cm(心玮,China)
2、Echelon 10 microcatheter(EV3,USA)
3、Synchro 200cm microwire(Stryker,USA)
4、Onyx(MTI,USA)
治疗过程




Echelon微导管超选面静脉,后通过眼上静脉超选至海绵窦,进一步超选至瘘口,微导管造影确认在位。




三枚弹簧圈对瘘口进行填塞,后通过Echelon微导管进行缓慢注胶,中途反复确认注胶形态。
治疗结果




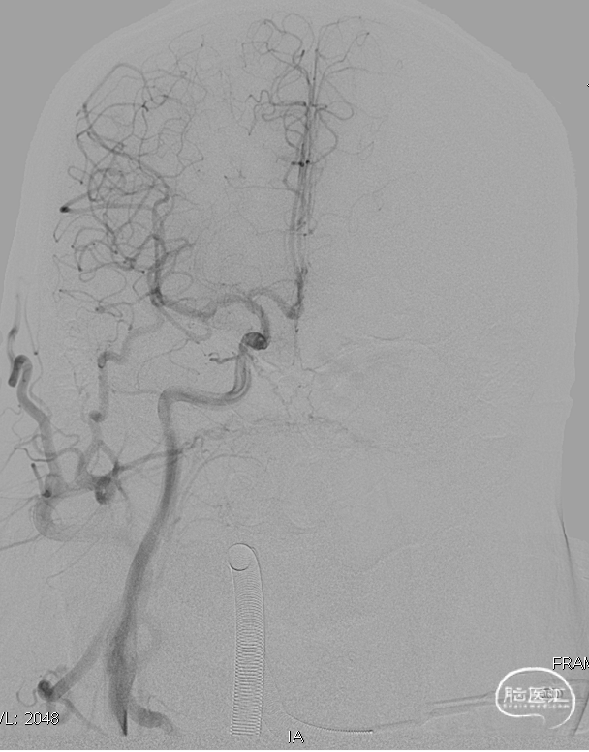
术后造影见瘘口不显影。
术前

术后

术后右侧颈总造影,未见向瘘口供血。



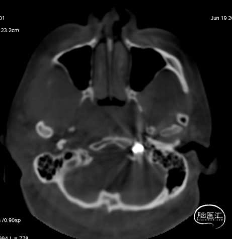
术后铸胶形态及CT下铸胶位置,可见瘘口位于左侧舌下神经管区域。
随访结果
术后1个月、3个月、5个月临床随访,患者左眼外突及结膜充血水肿完全缓解,无新发神经系统阳性体征。
讨论
1、HCDAVFs的临床症状常由于引流静脉的血流动力学差异而表现多样,如头痛、球结膜水肿、舌下神经痛及搏动性耳鸣等,易与其他部位的DAVF混淆。HCDAVFs的供血动脉常为咽升动脉的神经脑膜支,该动脉同时参与后组颅神经的供血,栓塞风险较高。同时,其他供血动脉和颈内分支存在多个危险吻合,液体栓塞材料可能通过危险吻合造成颅内动脉闭塞。
2、HCDAVFs分为三型,该患者属于II型(海绵窦引流)HCDAVF。其特点为经海绵窦引流,且伴随突眼和结膜水肿的症状和体征。其鉴别可以通过充分的造影评估,必要时重建分析,从而准确的诊断。
3、目前HCDAVF的栓塞方式有动脉入路、动静脉联合及静脉入路,静脉入路的常规栓塞方式是通过颈静脉球到达髁前汇入路。而当此入路困难时,可尝试通过面静脉,到达眼静脉、海绵窦的方式超选栓塞瘘口。
4、髁前汇空间狭小,栓塞材料可能造成舌下神经麻痹的症状。故而通过胶柔软的弹簧圈进行填塞,形成“钢筋”结构;再通过Onyx的注胶形成“混凝土”结构,能够提高致密栓塞率,降低周围神经压迫的风险。
学习要点
1、HCDAVF需要根据影像学特点及造影结果充分鉴别,明确诊断,制定合理的入路及栓塞策略;
2、经静脉入路栓塞HCDAVF安全性和有效性满意。术中注意对瘘口的致密栓塞,必要时结合弹簧圈进行填塞。
专家点评:
DAVF的栓塞最重要的是能够致密栓塞静脉瘘口的起始部分,本例患者瘘口发生在舌下神经管,主要的静脉回流通过了同侧的海绵窦,也造成了海绵窦静脉高压的症状和体征,如果误判为海绵窦区的DAVF,将无法治愈,甚至造成严重的并发症并堵塞了静脉的入路,静脉入路是DAVF栓塞首选的方式。
点评专家简介

洪波
上海交通大学医学院附属第一人民医院
上海交通大学附属第一人民医院神经疾病临床医学中心主任兼脑血管介入科主任,主任医师、教授。
曾赴美国马萨诸塞大学医院和日本大阪市立大学医院交流工作。世界神经介入手术直播大会专家组专家(WLNC),中国医师协会神经介入专业委员会副主任委员,卫健委脑卒中防治专家委员会缺血性卒中介入专业委员会副主任委员,中国卒中学会神经介入分会常委,中国老年医学学会脑血管病分会委员,上海市医师协会神经外科分会委员。
参与并获上海市和军队科技进步和医疗成果一等奖3项。承担国家自然科学基金3项,发表医学论文200余篇,参编专著6部。
术者简介

张桂运
上海交通大学医学院附属第一人民医院
上海市第一人民医院(上海交通大学医学院附属第一人民医院)神经疾病临床医学中心,脑神经血管介入科副主任,副主任医师,神经外科学博士,师从凌锋教授。
首届及第二届中国研究型医院学会脑血管病学专业委员会青年委员,中国医师协会显微外科医师分会第二届委员会显微神经外科疾病学组委员,第一届上海市医师协会神经介入专科委员会委员,上海市医学会脑卒中专科分会第三、四届青年委员,上海市医学会神经外科专科分会第九届委员会脑血管病学组成员,上海市医学会神经外科专科分会第十届委员会介入学组成员,首届上海市中西医结合学会眩晕病专委会脑血管学组成员,从事脑脊髓血管病介入工作20年,在脑血管病介入治疗领域积累了丰富的临床经验。

时飞
上海交通大学医学院附属第一人民医院
主治医师,医学博士,毕业于首都医科大学。
中国卒中学会青年理事,世界卒中组织会员,中国研究型医院脊柱脊髓专委会青年委员,专注于神经血管介入方向,掌握自身的专业操作技能,对颅内动脉瘤、血管狭窄认识深刻,擅长脑血管病的介入微创治疗,主持上海交通大学医工交叉基金项目一项,近5年以第一作者或通讯发表的SCI论文6篇,中文核心期刊3篇。

李司司
上海交通大学医学院附属第一人民医院
医学博士,主治医师。获得国家奖学金,上海市优秀住院医师,上海市优秀毕业生。参加全国神经外科学术年会发言;参加中国卒中学会学术年会“天海论坛”辩论赛并获奖。发表SCI及核心期刊10余篇,参与编译专著3部,获国家专利19项。
OCIN专区
点击上方图片
声明:脑医汇旗下神外资讯、神介资讯、脑医咨询、Ai Brain 所发表内容之知识产权为脑医汇及主办方、原作者等相关权利人所有。
投稿邮箱:NAOYIHUI@163.com
未经许可,禁止进行转载、摘编、复制、裁切、录制等。经许可授权使用,亦须注明来源。欢迎转发、分享。
投稿/会议发布,请联系400-888-2526转3。









