
主 编:刘建民 海军军医大学第一附属医院
执行主编:赵开军 同济大学附属东方医院
题目:
经动脉入路栓塞前颅窝底硬脑膜动静脉瘘
摘要:
51岁男性患者,1年前因左下肢乏力,头颅磁共振检查发现右侧侧脑室旁新发脑梗灶及前颅窝底硬脑膜动静脉瘘,经动脉入路栓塞治愈。
A 51-year-old male patient presented with left lower limb weakness 1 year ago. Magnetic resonance imaging (MRI) revealed a new periventricular cerebral infarction and anterior cranial fossa dural arteriovenous fistulas. The patient underwent endovascular curative embolization via transarterial approach.
病例简介
患者:51岁男性。
主诉:因脑梗检查发现前颅底异常血管影1年。
现病史:患者1年余前无明显诱因出现左下肢乏力,行走拖步,无言语不清、视物不清、意识障碍等不适,当地医院头颅MRI提示右侧基底节区脑梗死,前颅底异常血管影,考虑DAVF,经药物保守治疗,临床症状好转,无明显后遗症,为进一步治疗DAVF来我院。
既往史:高血压。
查体:无明显神经系统阳性体征。
初步诊断:前颅窝底硬脑膜动静脉瘘。
术前影像学检查
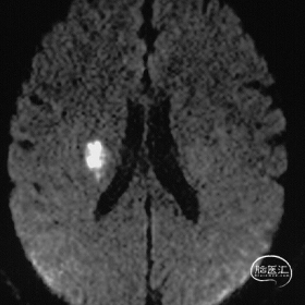
1年前头颅MRI:
DWI可见右侧基底节区新发脑梗,T2 上见额底异常血管流空影。


MRA见额底部异常扩张的血管。

复查头颅MRI:无新发脑梗。


CTA提示前颅窝底异常扩张的血管。

术前造影
双侧颈内动脉正侧位造影见前颅窝底硬脑膜动静脉瘘,双侧筛前动脉、筛后动脉向瘘口供血,通过皮层静脉向上矢状窦引流。




双侧颈外动脉正侧位造影见镰前动脉向瘘口供血。




左侧椎动脉正侧位造影未见明显异常。


诊断
前颅窝底硬脑膜动静脉瘘。
治疗方案
结构分析
前颅窝底DAVF,由镰前动脉、双侧筛前、筛后动脉参与供血,通过皮层静脉向上矢状窦引流,引流静脉伴有瘤样扩张,Cognard IV型、Borden III型。由于脑膜中动脉-镰前动脉路径较为迂曲,超选困难,引流静脉迂曲扩张,预计到达瘘口起始端存在困难,决定经眼动脉-筛前动脉栓塞。
手术策略
经左侧眼动脉入路栓塞。
治疗过程
根据3D影像选择工作角度。


工作角度造影:黑色箭头为筛前动脉,白色箭头为筛后动脉,黄色箭头为镰前动脉,蓝色箭头为引流静脉起始部,红色箭头为视网膜中央动脉。拟通过眼动脉入路超选至筛前动脉进行栓塞。


手术材料
6F Envoy DA
Marathon微导管
Hybrid 0.007微导丝
Onyx 18胶
手术过程
Marathon微导管在Hybrid0.007微导丝导引下经左侧眼动脉超选至左侧筛前动脉,接近瘘口。


通过Marathon微导管超选造影,显示微导管楔入到靠近瘘口的动脉端。


通过Marathon微导管注入Onyx 18,胶向瘘口弥散,并弥散至镰前动脉。


停顿后进一步注射Onyx18,此时胶向对侧筛前动脉弥散,直至闭塞瘘口和引流静脉起始端。


最终造影瘘口完全不显影。




双侧脉络膜染色正常。


Onyx胶铸型进一步显示了瘘的结构。AFA:镰前动脉;AEA:筛前动脉;PEA:筛后动脉;DV:引流静脉。


术后三个月造影复查,双侧颈内动脉、颈外动脉造影均未见静脉早显,DAVF治愈。








讨论
1、前颅窝底硬脑膜动静脉瘘(Anterior cranial fossa dural arteriovenous fistulas,ACF DAVF)约占颅内所有DAVF的10%左右,男性多发。ACF DAVF多为Cognard III-IV型, 60%~91%的患者以出血为主要表现,出血后两周内再出血的发生率为35%,需积极治疗。
2、ACF DAVF的供血动脉常为眼动脉的分支筛前动脉,筛后动脉,镰前动脉,蝶腭动脉,脑膜中动脉,上颌内动脉,大脑前动脉软膜支,额极动脉,眶额动脉,面动脉分支和颞浅动脉等;静脉引流通常通过额极静脉向上矢状窦引流,少部分经额底静脉向深部引流等。皮层静脉的迂曲、扩张是出血的主要危险因素。
3、ACF DAVF通过手术切除和介入栓塞都能获得有效治愈。手术根治性切除瘘口曾是ACF DAVF的最佳治疗方式,但存在手术创伤大,时间长,因额窦开放造成脑脊液漏及颅内感染等风险,同时,容易造成额叶、嗅神经、桥静脉及上矢状窦损伤等风险。介入栓塞能够安全有效的治愈ACF DAVF,并避免手术带来的创伤,逐步成为ACF DAVF的一线治疗方式。传统的栓塞方式多为经动脉入路栓塞,眼动脉和脑膜中动脉是理想的入路,存在视网膜中央动脉栓塞风险,可造成永久性失明,因此术中应特别注意控制栓塞材料的反流和过度弥散,勿堵塞视网膜中央动脉起始点,同样需要注意对侧眼动脉内的反流。经眼动脉入路栓塞的难点还在于眼动脉和颈内动脉成角,超选困难,可采用球囊远端临时阻断的方法辅助超选,同时可以支撑微导管尽可能接近瘘口。
学习要点
1、全面分析ACF DAVF的血管构筑是栓塞成功的关键,DAVF的治愈需要完全闭塞瘘口及部分瘘口起始段的引流静脉,仅供血动脉栓塞,即刻瘘口的不显影不能代表治愈,可能存在瘘的残留和复发。
2、眼动脉和脑膜中动脉通常作为ACF DAVF首选的入路动脉,栓塞时需要确保微导管尽可能接近瘘口,避免胶的过多返流,特别需关注视网膜中央动脉发出的位置,避免胶返流进入视网膜中央动脉。
点评专家:许奕教授
1、ACF DAVF通常是高级别病变,直接的皮层静脉引流与较高的出血风险相关,可引起蛛网膜下腔出血,急性硬膜下血肿和脑实质血肿,需要积极处理。ACF DAVF的传统治疗方式为手术治疗,但随着介入材料和技术的不断发展,如可解脱微导管、高扭矩微导丝、Onyx胶和3D、4D-DSA技术及各种融合技术等,介入栓塞ACF DAVF同样可以获得较高的闭塞率和较低的并发症率,已逐渐成为首选的治疗方式,对于由于需要同时行血肿清除,或经术前评估后栓塞路径迂曲,纤细,超选困难等无法完成栓塞治疗或栓塞无法治愈的病例,仍需行根治性瘘口切除。
2、经动脉入路采用Onyx栓塞是ACF DAVF最为常用有效的治疗方法,能否经供血动脉将微导管头端顺利置于接近瘘口静脉端的位置,以及控制栓塞材料向瘘口静脉端弥散是能否完全栓塞最重要的技术因素。经静脉入路途径需经过上矢状窦路径较长,曾经存在通路建立的困难,随着中间导管的出现已经能够克服。部分皮层引流静脉纤细/过度迂曲的病例需谨慎选择该入路。我们的经验和越来越多的文献报道提示静脉入路也是ACF DAVF安全有效的栓塞入路。无论选择何种入路,术前充分评估瘘口结构,细致制定栓塞策略是成功栓塞的关键。
点评专家简介

许奕
海军军医大学第一附属医院
中国医师协会神经外科医师分会神经介入专委会副主任委员,上海市医学会神经外科专科分会副主任委员。
术者简介

李强
海军军医大学第一附属医院
医学博士,副主任医师,副教授,硕士生导师,美国加州大学旧金山分校访问学者。现任海军军医大学第一附属医院(上海长海医院)脑血管病中心副主任,兼任国家卫健委能力建设和继续教育神经介入专家委员会委员、中国医师协会介入医师分会神经介入学组副组长、中华医学会急诊医学分会出血学组委员、中国中西医结合学会神经外科专委会委员、上海市医学会神经外科分会委员和上海市卒中学会理事等。师从刘建民教授,擅长颅内动脉瘤、脑和脊髓血管畸形、烟雾病、脑供血动脉狭窄和急性脑梗死等血管病的介入和显微外科治疗。主持各类项目11项,其中国家重点研发项目1项、国家自然基金2项,发表论文100余篇,获得WFITN论文一等奖1项,省部级一等奖4项。

吕楠
海军军医大学第一附属医院
医学博士,海军军医大学第一附属医院(上海长海医院)脑血管病中心副主任医师、副教授,美国Houston Methodist医院访问学者,上海理工大学联合硕士生导师。以脑血管病的基础与临床研究为主要方向,主持/参与国家自然科学基金、国家重点研发计划等国家、省部级课题10余项,第一作者/通讯作者发表SCI论文20余篇,参编专著6部。

李喆
海军军医大学第一附属医院
医学硕士,海军军医大学第一附属医院(上海长海医院)脑血管病中心主治医师,以脑血管畸形的基础与临床研究为主要方向,参与国家自然科学基金、国家重点研发计划等国家、省部级课题3项,第一作者/共同第一作者发表论文10篇,其中SCI论文5篇。
OCIN专区

点击上方图片
声明:脑医汇旗下神外资讯、神介资讯、脑医咨询、Ai Brain 所发表内容之知识产权为脑医汇及主办方、原作者等相关权利人所有。
投稿邮箱:NAOYIHUI@163.com
未经许可,禁止进行转载、摘编、复制、裁切、录制等。经许可授权使用,亦须注明来源。欢迎转发、分享。
投稿/会议发布,请联系400-888-2526转3。








