
前言
近几年经桡入路一直是神经介入的热点话题。目前经桡动脉入路治疗前循环颅内血管病变常采用Guiding/长鞘搭配中间导管的方式实现通路搭建。通桥银蛇®Plus远端通路导管专为经桡设计,可实现均衡的近端支撑与远端通路,单管解决问题。
病例展播
1
病例信息
患者:男性,70+岁。
主诉:言语不清,左肢无力15天。
现病史:15天前突发言语不清,左肢无力,左上肢抬举无力,行走左下肢拖曳感。
既往史:高血压、2型糖尿病。
体格检查:构音障碍1分,左上肢1分,左下肢1分,NIHSS:3分,mRS:2分。
2
术前影像












3
治疗策略

4
术中器械
6F 115cm 通桥银蛇®Plus远端通路导管
0.014" 200cm 微导丝
0.017inch微导管
颅内球囊扩张导管 1.5*9mm、2.0*15mm
132cm Simmons II造影导管
5
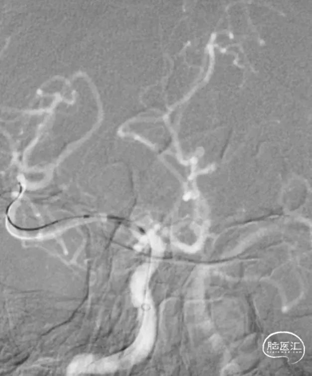
治疗过程



路图下,泥鳅导丝引导132cm Simmons II导管至右侧颈内动脉C1段,跟进6F 115cm 通桥银蛇®Plus远端通路导管至右侧颈内动脉C4段。




1.5mm*9mm

2.0mm*15mm

0.014" 200cm微导丝送入右侧大脑中动脉上干,随后跟进17微导管。
6
术后影像


术后患者血流恢复良好。
通桥银蛇®Plus远端通路导管
中国首款具备经桡适应症的通路导管

术者简介
郭旭
首都医科大学附属北京安贞医院
北京安贞医院神经介入科,副主任医师,医学博士,导师缪中荣教授。
专业方向:缺血性及出血性脑血管疾病的介入诊治,青年缺血性卒中和心源性卒中的病因筛查及治疗。
中国卒中学会神经介入分会青年委员会委员。
北京神经内科学会神经介入及青年委员会分会委员
在缺血性卒中介入治疗、慢性颅内动脉闭塞血管内治疗等领域,《Journal of NeuroInterventional Surgery》(JNIS)、《Stroke and Vascular Neurology》(SVN)、Frontiers in Neurology等杂志及中文核心期刊发表文章20余篇,并以副主编身份撰写《青年缺血性卒中诊治》专著1册,协编专著4册
参与研究课题3项。
神经介入在线旭日东升专栏主编。

本内容仅供医学专业人士作线上专业交流
本内容不向非医学专业人士开放,敬请理解
讲课内容仅代表专家个人观点,非通桥医疗推广产品
声明:脑医汇旗下神外资讯、神介资讯、脑医咨询、Ai Brain 所发表内容之知识产权为脑医汇及主办方、原作者等相关权利人所有。
投稿邮箱:NAOYIHUI@163.com
未经许可,禁止进行转载、摘编、复制、裁切、录制等。经许可授权使用,亦须注明来源。欢迎转发、分享。
投稿/会议发布,请联系400-888-2526转3。






