
主 编:刘建民 海军军医大学第一附属医院
执行主编:赵开军 同济大学附属东方医院
题目:
Fastunnel®在大脑中动脉闭塞取栓中的应用
Utilizing the Fastunnel® Delivery Balloon Dilation Catheter in Thrombectomy for Acute Middle Cerebral Artery Occlusion
摘要:
一名63岁男性急性缺血性脑卒中患者,发病7小时,评估后考虑ICAS导致左侧大脑中动脉急性闭塞,术中应用Fastunnel®搭配Syphonet®进行支架取栓,后搭配Enterprise 2支架进行血管成形。
A 63-year-old male patient experienced symptoms for 7 hours before being diagnosed with acute ischemic stroke. Evaluation revealed acute occlusion of the left middle cerebral artery attributed to intracranial atherosclerotic stenosis (ICAS). The Fastunnel® Delivery Balloon Dilation Catheter was utilized alongside the Syphonet® stent for thrombectomy, followed by the deployment of an Enterprise 2 stent for angioplasty.
前言
对于颅内动脉粥样硬化性狭窄(ICAS)急性大血管闭塞导致的急性缺血性卒中(AIS-LVO),单纯机械取栓效果不如心源性栓塞,除支架取栓外往往需要球囊扩张、支架置入等更为复杂的操作。Fastunnel®采用“球囊+微导管”一体化设计, 1步完成“零交换”技术,对于ICAS导致AIS取栓术中需行同期血管成形的病例,应用此技术将大大简化操作步骤,降低手术风险。
病例简介
患者:男,63岁
主诉:突发失语、右侧肢体无力7小时
现病史:缘于2023年11月23日5时00分突发失语、右侧肢体无力,就诊当地医院CT未见出血、CTA示左侧大脑中动脉闭塞。于2023年11月23日12时42分转至我院急诊。
既往史:高血压、2型糖尿病、房颤、脑梗死。
查体:NIHSS 评分:15分,神志嗜睡,运动性失语,右侧中枢性面瘫,右侧肢体肌力1级,右侧病理征阳性。
诊断:1.脑梗死 2.左侧大脑中动脉闭塞 3.高血压病 4.2型糖尿病 5.心房纤颤。
术前CT


术前CTA

术前CTP

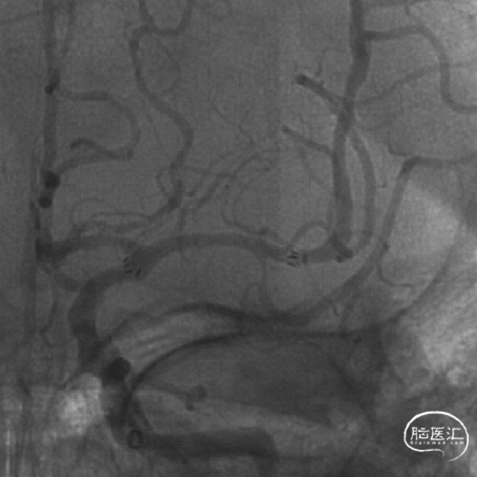
术中造影




鉴别诊断
1、老年男性,既往高血压、糖尿病、脑梗死病史,CT平扫提示左侧颞枕叶陈旧性梗死灶,CTA显示除责任病变外、合并多发脑动脉硬化狭窄,CTP提示核心梗死区小、缺血半暗带大,DSA提示左侧大脑中动脉M1起始处闭塞、存在部分的侧枝代偿,首先考虑颅内大动脉粥样硬化继发闭塞。
2、患者既往房颤病史,心源性栓塞不能排除。
治疗方案
手术策略
1、支架取栓联合中间导管抽吸
2、如存在原位狭窄,使用FAST ICAS(FASTunnel in thrombectomy for ICAS occlusion)技术同期行血管成形
器械材料
1、8F Tracline导引导管;
2、AXS Catalyst 6颅内支撑导管;
3、Enchelon-10微导管;
4、Syphonet® 5.0/35取栓支架;
5、内腔为0.021inch Fastunnel® 2.0/15输送型球囊扩张导管。
手术过程
微导管到位,造影确认真腔

释放Syphonet® 5/35取栓支架

第一次抽拉取栓后血管再通,M1段重度狭窄,颞支开口血栓影

使用Fastunnel® 2/15在M1段狭窄处进行扩张

扩张后将Fastunnel®输送至M2段以远


通过Fastunnel®释放Syphonet®取栓支架,覆盖颞支血栓


第二次抽拉取栓后取出白色血栓,颞支复现,狭窄处仍有夹层样改变


再次将Fastunnel®输送至M2段


通过Fastunnel®释放Enterprise 2 4/23mm支架覆盖狭窄段并再次使用Fastunnel®扩张


术后即刻支架内血流通畅,无残余狭窄


术后即刻eTICI3级再通


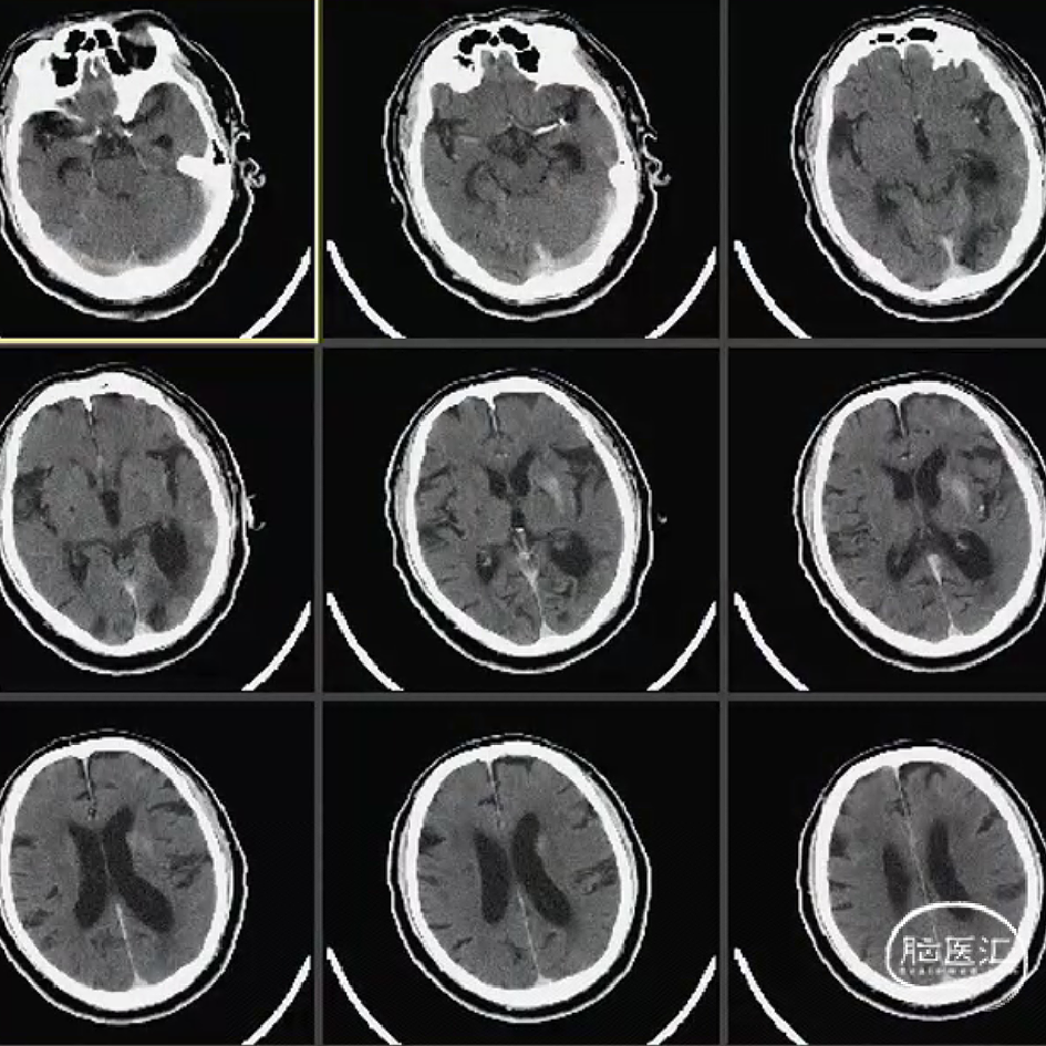
术后CT少许造影剂渗出可能,24h复查较前吸收


讨论
颅内动脉粥样硬化在亚洲人群相对常见,占缺血性中风的25%~50%。CICAS研究中缺血性卒中或TIA患者中,46.6%合并ICAS(狭窄率>50%)。
ICAS导致的AIS-LVO患者往往有以下特点:(1)年龄更大,男性居多,多有长期吸烟史,常合并高血压、高脂血症、颅内外其他部位动脉粥样硬化病变等;(2)病情反复,发病前常有多次TIA或急性脑梗死发作;(3)影像学显示闭塞多位于大脑中动脉M1的平直段或基底动脉中段;(4)导丝通过往往比较困难,支架导管通过后可见首过效应,在取栓支架回撤过程中由于狭窄病变束缚、头端往往以收缩状态通过病变部位。
直接机械取栓可以快速恢复前向血流,识别狭窄部位和长度,并进一步帮助判断是否合并原位狭窄;而处理原位狭窄是ICAS导致的AIS-LVO治疗过程中的关键环节,球囊扩张是有效方案,而如果球扩后仍残余重度狭窄或局部血管夹层,可考虑行补救性支架置入术。
Fastunnel®是目前唯一同时具有球囊扩张和器械输送适应证的输送型球囊扩张导管,采用“球囊+微导管”一体化设计,引领“零交换”技术,1步完成球囊预扩张、支架释放、球囊后扩张全过程,相比传统手术减少10次交换步骤,简化操作步骤,减少透视时间,减少造影剂剂量,缩短手术时间,降低手术风险,提高手术安全。
目前Fastunnel®在动脉取栓术中的应用尚未见报道,本例中我们先将Fastunnel®与Syphonet®取栓支架配合使用,同时处理近端狭窄和狭窄远端血栓,并减少狭窄远端血栓逃逸风险;后将Fastunnel®与Enterprise 2支架配合使用,化繁为简,充分发挥“零交换”优势。
学习要点
1、早期鉴别ICAS导致的AIS,可指导手术策略的制定。
2、Fastunnel®既可与Syphonet®取栓支架组合使用进行球囊扩张后取栓,又可与Enterprise 2等支架搭配在球囊扩张后行补救性支架置入。
3、Fastunnel®“零交换”技术极大的简化了手术步骤,提高了手术的安全性。
4、术中采用0.021in Fastunnel®,其对输送系统支撑力要求明显高于0.021in微导管,术中要注意提供足够的支撑。
点评专家:刘建民教授
1、ICAS导致的大血管闭塞在机械取栓中占33~40%左右。这种闭塞往往血栓负荷量相对较小,虽然机械取栓可以暂时复通血流,但是存在较高的再闭塞率。因此,需要处理原位狭窄,预防再次闭塞是治疗的重点。
2、在ICAS基础上的闭塞远端可能存在一定的血栓。Fastunnel®能够与Syphonet®等多种取栓支架相结合,可以采用FAST ICAS(FASTunnel in thrombectomy for ICAS occlusion)技术,在取栓支架释放后,可以通过FT扩张解除近端狭窄对取栓支架的限制,减少血栓因刮擦造成的血栓逃逸。
3、Fastunnel® 0.021inch系列可以与Enterprise 2等多种颅内支架相结合使用,在取栓后存在>70%左右的狭窄或局部血管夹层,可使用Fastunnel®直接释放颅内支架,减少狭窄介入术中的器械交换,缩短手术时间,降低器械交换相关并发症。
点评专家简介

刘建民
海军军医大学第一附属医院
主任医师,博导
现任海军军医大学第一附属医院脑血管病中心主任,战创伤中心主任
全军脑血管病研究所所长
加拿大多伦多大学客座教授
国家卒中中心管理专家委员会副主任;中国卒中专科联盟副主席;中国医师协会介入医师分会副会长;中国医师协会神经外科医师分会常务委员;中华医学会神经外科分会常务委员;全军神经外科专业委员会副主任委员;上海市医师协会神经介入专业委员会会长
世界神经介入大会(WLNC)执委;2011世界颅内支架大会(ICS)主席;2016/2021 WLNC主席;东亚神经介入大会(EACoN)主席
术者简介

李子付
海军军医大学第一附属医院
博士、副主任医师、硕士研究生导师,海军军医大学第一附属医院、上海长海医院脑血管病中心主诊医师,国家脑防委优秀中青年专家,国家取栓优秀个人称号。

王川川
海军军医大学第一附属医院
脑血管病中心副主任医师、副教授,医学博士。
毕业于海军军医大学(第二军医大学),以脑血管病的临床诊疗与基础研究为主攻方向。
主持或参与国家级、省部级科研项目10余项,第一作者发表论文10余篇,参编专著2部。
OCIN专区
点击上方图片
声明:脑医汇旗下神外资讯、神介资讯、脑医咨询、Ai Brain 所发表内容之知识产权为脑医汇及主办方、原作者等相关权利人所有。
投稿邮箱:NAOYIHUI@163.com
未经许可,禁止进行转载、摘编、复制、裁切、录制等。经许可授权使用,亦须注明来源。欢迎转发、分享。
投稿/会议发布,请联系400-888-2526转3。








