
疑难手术
双向预牵引后-前-后入路矫形治疗小儿神经纤维瘤病颈椎角状后凸伴脱位
术者:关健
病史资料
性别女,年龄7岁11月 ,身高120cm,体重22.5kg
主诉:颈部疼痛伴行走不能3个月
现病史:3月前活动后出现颈部剧烈疼痛,当地医院治疗给予止痛药物,程度进行性加重,不能起床活动头部,VAS评分8分。当地医院行颈椎MR检查示:颈椎脱位伴后凸畸形。
既往史: 2年前发现神经纤维瘤病。
家族史: 无特殊。
术前影像学检查
X线

CT



MRI



大体像

手术策略
Step 1:双向预牵引






牵引治疗后复查CT


CT显示颈椎椎体最大深度只有8mm,枢椎椎弓根直径3.2mm


Step 2:后-前-后入路颈椎后凸畸形矫形

手术过程
首先行后路手术,切除双侧C5绞锁的上关节突


翻身行前路手术。采用左侧入路,同时切除肿瘤


C4-5置入牵开钉,可见椎体只能容纳一个牵开钉宽度


C3-4,C4-5,C5-6融合器放置完成

上钢板及螺钉,显示C5椎体无法良好复位

C5椎体内置入提拉螺钉,穿透椎体后壁,达到最佳提拉复位力量


旋转提拉套筒,显示C5椎体进一步向前复位


C5复位后置换置入前路螺钉

进一步切除左侧椎体前侧方肿瘤

前路手术完成后,翻身行后路C2-C7置钉

C4及C5侧块无法置钉,双侧C5放置椎板钩增加把持力

术后影像
术后X线

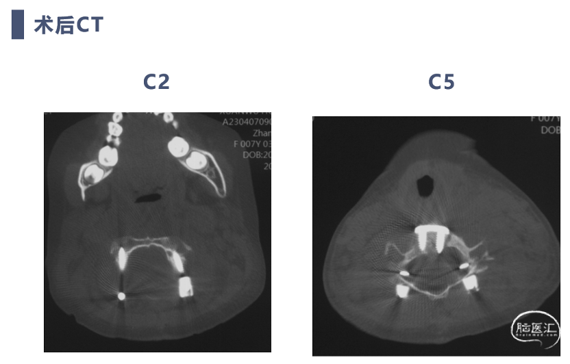
术后CT



术后MRI


治疗前后对比



术者说
小儿神经纤维瘤病伴脊柱后凸畸形是颈椎畸形中难度较大的手术类型,本例病人脱位严重,骨量极少,对于置钉及矫形都有很大的挑战。
对于此种重度畸形的患者,术前牵引非常重要,为此我们首先选择HALO架牵引复位垂直脱位,患者可以自由活动,舒适度好。在牵引后期进一步行悬吊牵引,复位水平脱位。
双向牵引后,患者后方小关节仍存在一定绞锁,首先行后路手术,充分松解后方绞锁的关节突。再行前路手术,矫正后凸畸形,前路手术时因患者骨量极少,单纯前路螺钉复位力量弱,借助提拉工具完成良好复位。最后翻身行后路手术完成C2-7后路固定,因患者多数侧块发育异常,双侧C4-5无法置钉,应用椎板钩固定,双侧C2椎弓根直径只有3.2mm,但成功置入了两颗3.5mm螺钉。
术后复查患者复位满意,颈痛及神经症状消失,但此类患儿骨性结构发育异常,需要密切随诊,观察有无近端或远端交界性后凸发生。

神经脊柱中心合影
手术医生介绍
关健
首都医科大学宣武医院神经外科
神经脊柱中心
副主任医师 博士
毕业于北京协和医学院,在王任直教授指导下获得神经外科博士学位,曾于美国加州大学洛杉矶分校访问学习。
擅长颈椎退行性病变(颈椎间盘突出、颈椎管狭窄、后纵韧带骨化)、脊髓空洞(小脑扁桃体下疝及外伤、感染等相关空洞)、腰椎退变性疾病(腰椎管狭窄、老年腰椎退变性侧弯)、颅颈交界区畸形(寰枢椎脱位、颅底凹陷等)、脊柱脊髓肿瘤等脊柱脊髓疾病的治疗。
对于颅颈交界区相关性脊髓空洞,提出FMMD手术既枕大孔和Magendie孔疏通术代替传统减压手术,大大提高了治疗有效率,取得了很好的临床效果。
获得国家专利2项,其中发明专利一项。主持国家自然科学基金青年基金、北京协和医院及首都医科大学等科研基金4项。副主编专著《脊柱显微外科训练教程》。以第一或通讯作者发表研究论文20余篇,其中SCI论文10余篇。
【出诊时间】周二下午
(患者资料经家属同意仅供专业探讨)
声明:脑医汇旗下神外资讯、神介资讯、神内资讯、脑医咨询、AiBrain 所发表内容之知识产权为脑医汇及主办方、原作者等相关权利人所有。





