2023年12月22日发布 | 1099阅读

杨坤教授:岛叶胶质瘤的显微手术治疗

杨坤

南京医科大学附属脑科医院

刘宏毅

南京医科大学附属脑科医院

邹元杰

南京脑科医院

达人收藏、周刊收录2项荣誉

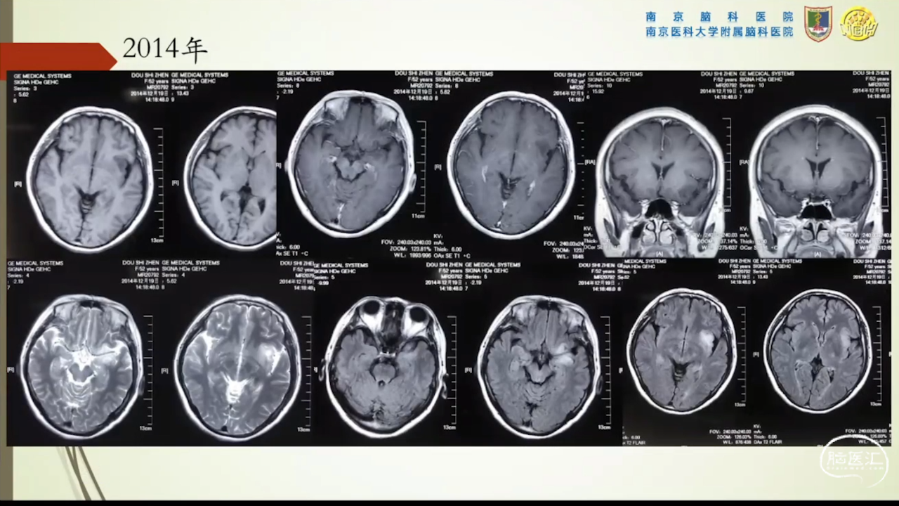
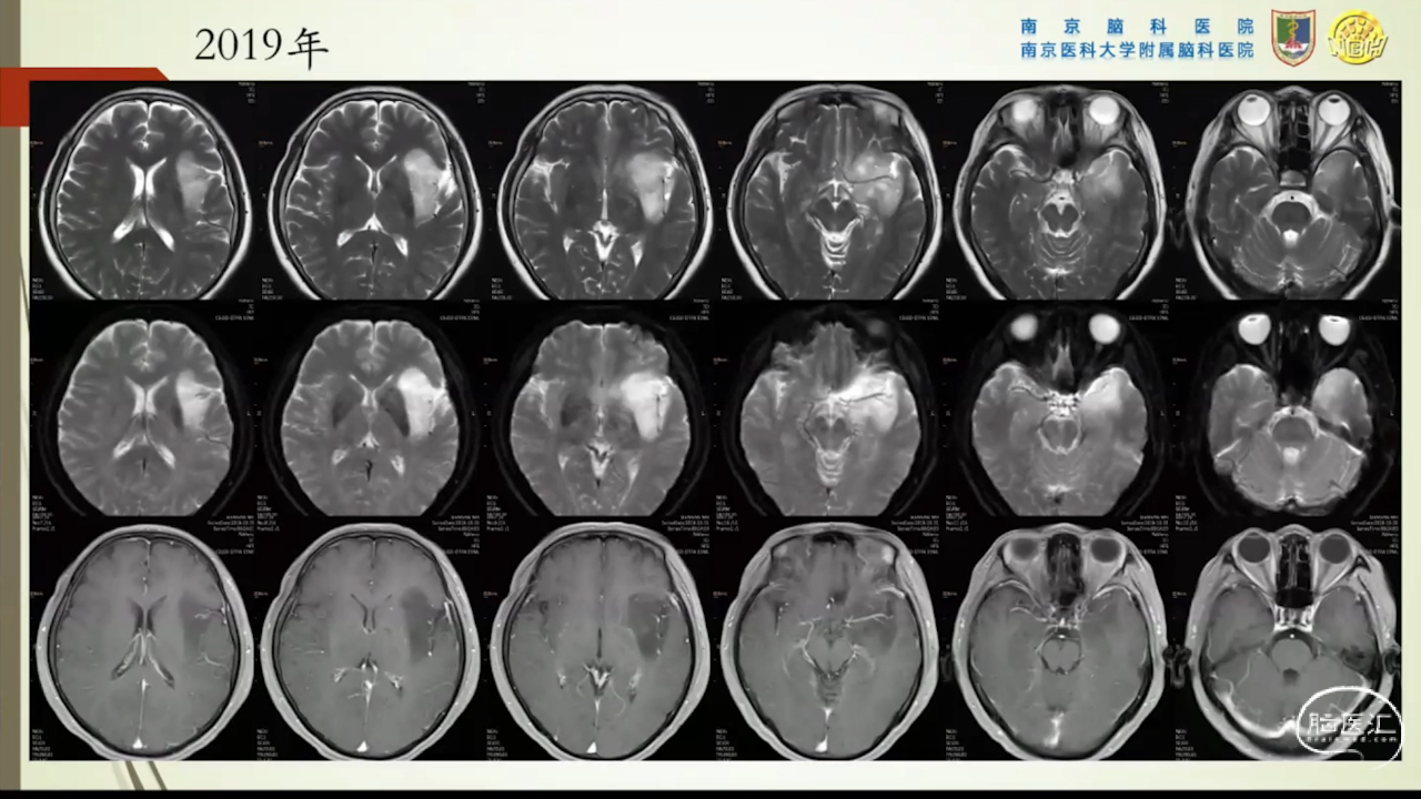
胶质瘤是发病率最高的颅内肿瘤(约占44.69%),岛叶是神经胶质瘤的好发部位,大约有25%的低级别胶质瘤及10%的高级别胶质瘤发生在岛叶,大多数岛叶胶质瘤为低级别胶质瘤。岛叶在调节内脏感觉运动、控制心血管交感活性、传入躯体感觉中均起重要作用。它也参与了痛觉的传递、运动规划、自主性吞咽、味觉、听觉、前庭功能、情绪、认知能力和语言能力。因为岛叶解剖结构复杂,并覆盖有高级语言皮层、白质束及重要的血管结构,故岛叶部位的手术难度极大。

本期脑医汇为大家分享:南京医科大学附属医院【杨坤】教授的精彩会议内容,欢迎阅读和分享!

会议内容截图

详细内容请观看下方视频

点击图片观看会议视频

讲者杨坤

讲题岛叶胶质瘤的显微手术治疗

声明:脑医汇旗下神外资讯、神介资讯、神内资讯、脑医咨询、Ai Brain 所发表内容之知识产权为脑医汇及主办方、原作者等相关权利人所有。

投稿邮箱:NAOYIHUI@163.com 

未经许可,禁止进行转载、摘编、复制、裁切、录制等。经许可授权使用,亦须注明来源。欢迎转发、分享。

最新评论
发表你的评论
发表你的评论
来自于专栏