椎开口狭窄手术入路如何选择?支架类型选择?如何稳定通路,从而实现支架精确定位?”
本期为大家特别分享:海军军医大学第一附属医院刘建民教授团队 邢鹏飞教授的精彩会议内容,欢迎大家阅读和分享!
*本文来源于会议,为方便读者阅读,仅做简要整理
*文末附讲课视频,完整学习请以视频为主
会议内容
椎动脉颅外段狭窄/闭塞
发病率:后循环卒中1/3;
卒中风险:5年30%新发卒中;
病因:动脉粥样硬化、动脉夹层、血管炎、肌纤维发育不良……
特殊性:40%存在一侧VA发育不良(纤细、缺如、PICA以远闭塞);
治疗:药物、手术(外科手术、介入手术)。

椎动脉颅外段狭窄-RCT
Stroke. 2007;38:1526-1530
· 第一个关于VA治疗的RCT研究
· 血管成形术 vs. 药物治疗
· 未能证实血管内治疗优于药物治疗;但是该研究病例数太少,仅16例症状性VAS
椎动脉颅外段狭窄-流行病学

Stroke. 2011;42:2212-2216
· 27篇临床报道、共计993例
· 98.7%直接支架植入,1.3%首选球囊扩张(部分症状再发接受再治疗-支架植入)
· 支架植入成功率99.3%(残余狭窄<20%)
· 7.8%再发缺血相关症状;
· 再狭窄率:药涂支架为11.2%,裸支架为30% ;
· 无死亡等严重不良事件发生;
介入手术治疗
裸球扩支架


L-VA外周裸球扩支架植入;术后9个月复查,支架断裂;
支架内再植入一枚药涂球扩支架。
自膨胀支架

Journal of Clinical Neuroscience 21 (2014) 274–277
颈动脉支架
· VA直径>4.5mm
· SCA直径<10mm
随访3-34M
· 再狭窄率 3.1%
· 断裂率 0%
· 30天内无后循环缺血并发症
自膨胀支架的优势
· 径向支撑力更强
· 更适应血管走行
· 贴壁性更好(狭窄处多伴有动脉扩张)
· 抗折性可能更好
自膨胀支架的劣势
· 受VA-SCA直径限制
· 可选择性小(超适应症)

Journal of Clinical Neuroscience 21 (2014) 274–277
不同支架类型与疗效

Clin Res Cardiol (2014) 103:353–362
` 颈动脉自膨支架 vs. 冠脉裸球扩支架 vs. 药物涂层支架
` 颈动脉自膨支架再狭窄率高;
` 再狭窄率:药物涂层支架 < 裸球扩支架
药物涂层球扩支架


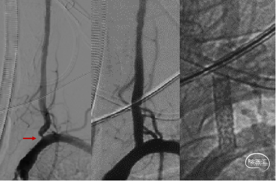
63岁男性,“反复发作头晕、站立不稳3月”;定位准确、球扩时无移位。
药物洗脱支架
药物洗脱支架的有效性:

Interventional Neuroradiology, 2020, DOI: 10.1177/1591019920949371
支架内再狭窄率:DES明显低于BMS!
椎动脉介入治疗-易与难
手术易、做好难!


难点
· 通路稳定难:受弓型、心脏活动影响大
· 支架选择难:靶血管直径、长度、扭曲程度…
· 精准定位难:受呼吸、心脏活动影响大
通路选择:经桡 VS. 经股
· 经桡动脉:并发症相对少、同侧入路更易到位【受VA-SCA成角影响大】
· 经股动脉:受弓型、血管扭曲程度影响大


难点
通路稳定难(经股动脉入路):
· 反向作用力:易形成“恶性循环”


通路稳定难(经桡动脉入路):
· 反向作用力:易形成“恶性循环”


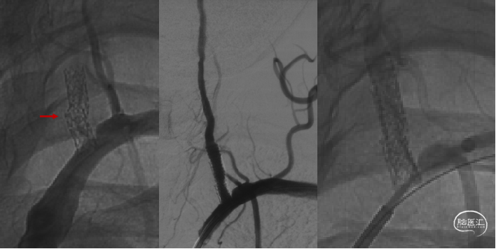
通路稳定难:SCA 0.018in导丝(SV5)支撑



通路稳定难:SCA 0.018in导丝(SV-5)支撑

注意事项:
· 桡动脉入路时,一般同侧入路,6F导管;
· 使用6F导引导管作为通路时,有时需要先将支架输送出导引导管,而后输送SV-5至SCA;
· >6F 导引导管作为通路时,可以先将支撑导丝置入SCA远端;
支架选择难:受靶血管直径、长度、扭曲程度限制

支架内再狭窄

Interventional Neuroradiology, 2020, DOI: 10.1177/1591019920949371; https://doi.org/10.1155/2021/5527988
支架内再狭窄危险因素:
· 裸球扩支架;
· 支架直径:≤4mm支架再狭窄风险高;

· VA-SCA成角是狭窄最主要的因素!
支架选择难: 受靶血管直径、长度、扭曲程度限制




椎开口支架断裂因素分析
DOI: 10.1583/09-2904.1; J Endovasc Ther 24, 124–129 (2017)

· 2010年由德国团队报道,28例患者使用冠脉Taxus紫杉醇支架治疗VAOS;
· 未发生围手术期并发症,随访16个月后,未发生脑卒中、症状恶化或死亡;
· 6例经血管造影随访发生再狭窄(21.4%),合并同侧锁骨下动脉狭的窄患者中发生ISR率明显更高;
· 1例患者发生支架断裂,11例(39%)患者出现支架压迫/扭结;
· 断裂可能与特殊解剖解构导致的血管扭曲和压迫扭结相关,8mm长度的支架可能导致较小的支架压缩,从而降低再狭窄率。


· 178例VAOS, 8例(4.5%)有明显的呼吸打折;
· 随访28个月,2例支架断裂【都发生在呼吸打折区域】;
· 使用较短的支架以避免跨过呼吸打折区域,可以减少断裂的发生。
支架选择:短支架,尽量避免跨弯曲部位

精准定位难: 呼吸运动、局部钙化、通路张力……

经验分享:
· 定位后,不减影模式下充盈球囊、释放支架;
· 球囊充盈过程中,手推造影剂动态确认位置
精准定位难:球囊预扩张


椎动脉颅外段介入治疗
思考

声明:脑医汇旗下神外资讯、神介资讯、脑医咨询、AiBrain 所发表内容之知识产权为脑医汇及主办方、原作者等相关权利人所有。
投稿邮箱:NAOYIHUI@163.com
未经许可,禁止进行转载、摘编、复制、裁切、录制等。经许可授权使用,亦须注明来源。欢迎转发、分享。
投稿/会议发布,请联系400-888-2526转3。







