

前言
发病24h内的急性大血管闭塞患者,经过临床及影像筛选后,当符合现有循证依据时,均推荐血管内取栓治疗(Ⅰ类推荐,A级证据)。新一代取栓装置的血管成功开通率较高。精准的患者筛选方案及高效的血管内治疗技术是急性大血管闭塞患者从血管内治疗中获益的关键。
NeuroHawk取栓支架可全身显影,全系兼容0.021inch微导管,复合网孔设计可适应嵌合各种血栓,在迂曲的血管中展现良好的贴壁性和优秀的径向支撑力。
X-track颅内远端导管具有0.070inch较大内腔,提供更强的吸栓能力;管体具备16段过渡设计及40cm超滑亲水涂层,保证顺畅推送,高效到位;导管中间层采用不锈钢双丝编织设计,管腔保持能力强,无惧负压抽吸。
本期“术”说卒中由同济大学附属上海市第四人民医院的方亦斌主任、齐大永医生带来NeuroHawk取栓支架联合X-track颅内远端导管在大脑中动脉M1段闭塞中的应用。


01
01
患者男性,73岁。
主诉:突发左侧肢体无力伴言语不清1.5小时。
现病史:神志清,言语不清,双眼右侧凝视,左侧肢体肌力2级,左上肢肌张力增高,NIHSS评分9分。
既往史:高血压病史。
02
影像学:头颅CT平扫:脑内多发腔隙灶,必要时MRI进一步检查。MR灌注成像:右侧基底节区新鲜梗塞灶,右侧大脑中动脉闭塞。
02
术前辅助检查
CT:右侧大脑中动脉高密度影。

MR:右侧基底节区片状新鲜梗塞灶。

MRA:右侧大脑中动脉M1段闭塞。


MR灌注:右侧大脑半球大面积低灌注,Mismatch:85ml。

03
诊断:
脑梗死
右侧大脑中动脉闭塞
溶栓+机械取栓治疗。
术中涉及器械
长鞘:90cm长鞘
中间导管:6F 125cm X-track颅内远端导管
微导丝:0.014inch 200cm ASAHI CHIKAI
微导管:0.021inch微导管
取栓支架:4mm*25mm NeuroHawk取栓支架
04
1
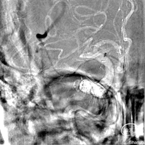
DSA:右侧大脑中动脉M1段闭塞。


2
微导丝带微导管通过闭塞部位至M2段,造影确认真腔。


3
释放4mm*25mm NeuroHawk取栓支架嵌合血栓,将X-track颅内远端导管头端置于血栓近端。


4
抽拉结合,一把取栓实现mTICI 3级再通。


术后复查CT:
术后即刻、术后第二天复查CT未见出血。

术后复查头颅MRI灌注:
术后第三天复查MRI见右侧基底节区梗死灶。

MR灌注:右侧大脑半球低灌注区较术前明显减少。

治疗体会
该患者发病1.5小时后到我院就诊,查体NIHSS评分9分,影像学证实大脑中动脉急性闭塞,给与静脉溶栓+机械取栓桥接治疗。
大脑中动脉M1段闭塞,DSA提示后交通动脉发达,需要注意取栓过程中栓子逃逸至后循环。
取栓支架全程显影,可更好地观察在病变处的打开情况。
术者简介
方亦斌
同济大学附属上海市第四人民医院
脑血管病科主任,主任医师,副教授,博士生导师,医学博士
加拿大多伦多大学博士后、多伦多大学FIELDS研究所访问科学家,国家卫健委脑防委出血性外科专委会委员,上海市浦江人才
主持国家自然科学基金等科研课题8项,以第一或通讯作者发表SCI论文30余篇
主攻脑血管病临床诊治及研究,擅长脑动脉瘤、脑血管畸形、脑梗死、颅内外动脉狭窄及颅内静脉性疾病的微创外科治疗
齐大永
同济大学附属上海市第四人民医院
脑血管病科,主治医师
虹口区医学会神经病学专业委员会委员
从事神经介入工作9年余,发表SCI论文2篇
-END-
声明:脑医汇旗下神外资讯、神介资讯、脑医咨询、Ai Brain 所发表内容之知识产权为脑医汇及主办方、原作者等相关权利人所有。
投稿邮箱:NAOYIHUI@163.com
未经许可,禁止进行转载、摘编、复制、裁切、录制等。经许可授权使用,亦须注明来源。欢迎转发、分享。
投稿/会议发布,请联系400-888-2526转3。








