病史简介
本院MR:2017.9.2蝶窦囊肿。2023.2.18斜坡囊性灶,考虑囊肿可能,较前增大。
辅助检查
术前MR(2017.9.2):


术前MR(2023.2.18),平扫T1、T2:


术前MR(2023.2.18),冠状位、矢状位增强:

2017年MR V.S. 2023年MR,占位明显增大,向脑干方向凸起,张力高。

术前CT重建提示:鞍背及上斜坡骨质缺损。


视力视野:

视野检查:

术中情况


术后影像
上方术前,下方术后:

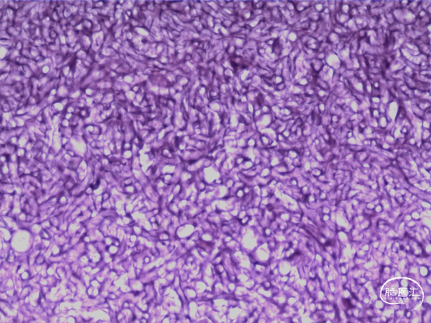
术后病理
可见典型曲霉菌菌丝及结构破坏:




治疗
讨论
真菌的定植在正常鼻窦和患病鼻窦中都极为常见。曲霉菌是自然界分布广泛的一种真菌,它悬浮于空气中,约占空气中真菌的12%,易被吸入呼吸道,是最常见的条件致病菌[1],当机体抵抗力低下时侵犯鼻腔鼻窦粘膜。真菌性鼻窦炎又称霉菌性鼻窦炎,因其不仅感染鼻窦,而且可以侵犯鼻腔,故又称真菌性鼻-鼻窦炎,常见致病菌为曲霉菌和毛霉菌,曲霉菌约占80%[2]。1791年Plaignaud第一次将鼻窦的真菌感染性疾病作为一种独立的疾病报道[3]。临床上侵犯到颅底、海绵窦的为主,累及斜坡的罕见。病理以真菌菌丝广泛侵犯血管为主要特征,文献报道死亡率50%-80%,其中部分患者死于全身系统性疾病[4-6]。目前主要分为两大类:侵袭型真菌性鼻-鼻窦炎和非侵袭型真菌性鼻-鼻窦炎。前者少见,又可分为肉芽肿型、急性侵袭型、慢性侵袭型。临床上以非侵袭型最为多见,病理学特征是真菌感染局限在鼻窦腔内,粘膜和骨壁内无真菌侵犯。
由于真菌性蝶窦炎首发症状常为头痛,头痛的时间、部位、性质及程度因人而异,无特异性,慢性者无特殊症状,临床上通常不典型,难以与神经系统疾病相鉴别。尤其是缺乏鼻塞、流涕等鼻科症状的患者,往往首次于神经科就诊,而被误诊为偏头痛、脑血管病、颅内感染等疾病。部分首发眼部症状的患者,则可能首诊于眼科,按非特异性炎症治疗,甚至激素冲击疗法。通常在治疗无效后,反复求医无缓解,通过完善头颅CT、MRI等检查发现蝶窦病变,延误了治疗时机。CT上具有一些特征性的表现,侵袭性真菌性蝶窦炎蝶窦腔内常充满软组织影,无钙化,破坏骨质,甚至侵犯眶尖、海绵窦等重要结构。非侵袭性通常表现为软组织影伴钙化,窦壁骨质增生或骨质受压吸收[7]。MR上可准确显示眶尖、海绵窦、脑组织等位置的病变,对怀疑病变侵犯上述结构者,应该行MR检查。另外,影像学检查可进一步鉴别真菌性鼻窦炎与细菌性鼻窦炎、鼻腔或鼻窦内恶性肿瘤等。
参考文献
1. Ramalho C O, Marenco H A, de Assis V G F F, et al. Intrasphenoid septations inserted into the internal carotid arteries: a frequent and risky relationship in transsphenoidal surgeries[J]. Braz J Otorhinolaryngol,2017,83(2):162-167.
2. BJ Ferguson . Definitions of fungal rhinosinusitis. Otolaryngol Clin North Am, 2000,33(2):227-235.
3. M Hasenberg , J Behnsen , S Krappmann ,et al. Phagocyte responses towards Aspergillus fumigatus. Int J Med Microbiol, 2011,301(5):436-444.
4. Kasapoglu F, Coskun H, Ozmen OA, Akalin H, Ener B. Acute invasive fungal rhinosinusitis: evaluation of 26 patients treated with endonasal or open surgical procedures. Otolaryngol Head Neck Surg. 2010 Nov;143(5):614-20.
5. Monroe MM, McLean M, Sautter N, Wax MK, Andersen PE, Smith TL, Gross ND. Invasive fungal rhinosinusitis: a 15-year experience with 29 patients. Laryngoscope. 2013 Jul;123(7):1583-7.
6. Vengerovich G, Echanique KA, Park KW, Wells C, Suh JD, Lee JT, Wang MB. Retrospective Analysis of Patients With Acute Invasive Fungal Rhinosinusitis in a Single Tertiary Academic Medical Center: A 10-Year Experience. Am J Rhinol Allergy. 2020 May;34(3):324-330.
7. Assiri A M, Ryu S, Kim J H. Concurrent diagnosis of sinus fungus ball and invasive fungal sinusitis: A retrospective case series[J]. Mycoses,2021,64(9):1117-1123.
8. Roxbury CR, Smith DF, Higgins TS, Lee SE, Gallia GL, Ishii M, Lane AP, Reh DD. Complete surgical resection and short-term survival in acute invasive fungal rhinosinusitis. Am J Rhinol Allergy. 2017 Mar 1;31(2):109-116.
9. Casqueiro J,CasqueiroJ,Alves C.Infections in patientswith diabetes mellitus: A reviewofpathogenesis[J].IndianJournal of Endocrinology and Metabolism,2012,16(7):27
10. Herbrecht R,Denning D WPatterson T Fet al.VoriconazoleamphotericinB forversustherapy of invasiveprimaryaspergillosis[J].NEngJMed,2002,347(6):408-415.
图文 卢江龙
审核 李 群
终审 苏志鹏
编辑 张伟忠
科室主任

苏志鹏 主任医师
医学博士,主任医师,温州医科大学附属第一医院神经外科主任
擅长颅脑肿瘤的微创手术及垂体瘤的内镜手术、颅脑外伤及脑出血的救治
中国中西医结合学会神经外科分会委员,中国垂体瘤协作组委员,长三角神经内镜创新与转化联盟理事会常务理事,浙江省抗癌协会神经肿瘤专委会副主任委员,浙江省医师协会脑胶质瘤专委会副主任委员,浙江省医学会神经外科学分会常务委员,浙江省医师协会神经外科医师分会常务委员,温州市医学会神经外科分会主任委员
浙江省高校中青年学科带头人,浙江省医坛新秀,温州市青年拔尖人才
科室介绍
1952年,温州医科大学附属第一医院外科专家、时任院长林镜平教授实施浙江省首例颅内取弹手术获得成功,开创了浙江省神经外科的手术历史。1975年,温州医科大学附属第一医院正式创建神经外科。上世纪90年代,在省里率先全面开展显微神经外科手术,现已成为浙东南闽北地区集医、教、研于一体且在国内具有一定影响力的区域性神经外科中心。目前系中华医学会神经外科分会委员单位、浙江省外科学重中之重学科、浙江省首批医学重点学科、浙江省医学创新学科,是国家神经外科住院医师培训基地,设有浙江省神经老化与疾病研究重点实验室。
科室现有144张床位、4个病区、3个百级洁净手术间、1个复合手术间、2个急诊手术间,拥有神经导航系统、手术显微镜、电生理监测系统、神经内镜、超声吸引器、视频脑电监测系统、三维DSA等现代化高精仪器设备;年手术量近4300台,学科规模、临床诊治病例数及手术量均居浙江省第二位,2019中国医院科技量值STEM排名全国第21位。
科室成员中有博士生导师1人,硕士生导师10人,主任医师10人,副主任医师11人,国务院政府特殊津贴人员1人,浙江省151人才1人,浙江省医药卫生高层次创新人才1人,浙江省高校中青年学科带头人3人,浙江省医坛新秀1人,温州市青年拔尖人才2人;2人次担任神经科学领域国际学术组织副主席和委员,有23人次担任神经外科领域全国性学术组织常务委员、理事、委员;成员荣获浙江省科技进步奖及中华医学奖11项,浙江省医药卫生创新奖及温州市科技进步奖19项。科室在神经肿瘤、脑血管病、神经创伤、脊柱脊髓、功能神经外科等方面具有鲜明的特色和优势,系列研究成果发表在Brain、ACS-NANO、PNAS等国际顶尖期刊杂志。
声明:脑医汇旗下神外资讯、神介资讯、神内资讯、脑医咨询、AiBrain 所发表内容之知识产权为脑医汇及主办方、原作者等相关权利人所有。






