


患者李某,女性,57岁,以“意识不清1小时余”为主诉入院。
现病史:入院1小时余前,与家属争吵中突然出现呼之不应、意识不清,伴恶心、呕吐,呕吐数十次,非喷射性呕吐,呕吐物先为食物,后为黑咖啡色胃内容物,病程中,可见四肢不自主活动,右侧肢体可抬离床面,左侧肢体可在床面上平移,无肢体抽搐、大小便失禁。
既往体健。
入院查体:浅昏迷,双侧瞳孔等大等圆,直径1.0mm,对光反射迟钝,双眼向右侧凝视,左侧鼻唇沟浅。四肢肌力查不合作,双侧病理征阳性。感觉、共济查体不合作,脑膜刺激征(-)。
NIHSS评分:20分,Glasgow评分:6分。
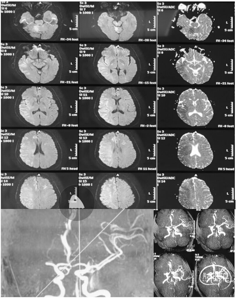
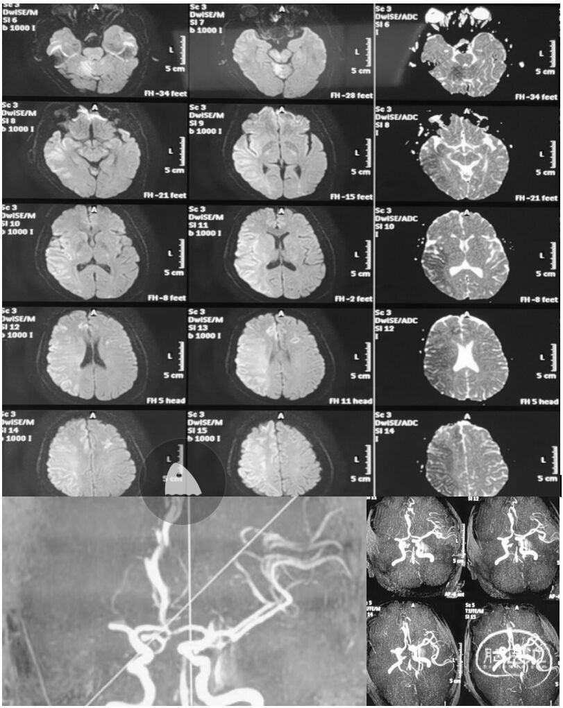
辅助检查:头颅MRI+MRA示:双侧小脑半球、右侧大脑半球多发急性期脑梗塞,右侧大脑中动脉重度狭窄或闭塞改变。

1、脑梗死;
2、右侧大脑中动脉重度狭窄或闭塞;
3、TOAST分型:心源性栓塞型。
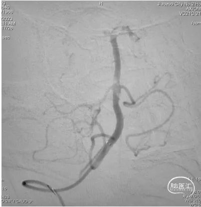
颅内动脉取栓术。
DSA提示:右侧大脑中动脉M1段以远闭塞,右侧大脑前动脉皮层支少量代偿,右侧大脑前动脉A3段血栓影,远端流速可,基底动脉尖端未见显影,考虑急性闭塞。


6F心玮吞川®颅内血栓抽吸导管同轴配合8F心玮天梯®支撑导管在泥鳅导丝导引下放置于右侧颈内动脉眼段。

微导丝配合微导管沿颅内血栓抽吸导管小心通过右侧大脑中动脉血栓段,微导管造影示右侧大脑中动脉远端血流通畅。

确定血栓长度后,以4.0*30mm颅内取栓支架行右侧大脑中动脉取栓配合中间导管抽吸。

造影提示右侧大脑中动脉血流通畅。

取栓装置中可见白色胶冻状血栓。

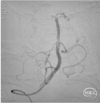
6F心玮吞川®颅内血栓抽吸导管行基底动脉血栓抽吸。

复查造影示基底动脉及其分支显影良好,取栓装置中可见白色胶冻状血栓。

神志清楚,言语流利,双侧瞳孔等大等圆,直径3.0mm,对光反射灵敏,左侧鼻唇沟浅。左侧肢体肌力3级,右侧肢体肌力5级,双侧病理征阴性。感觉、共济查体未见异常,脑膜刺激征(-)。
NIHSS评分:5分。
神志清楚,言语流利,双侧瞳孔等大等圆,直径3.0mm,对光反射灵敏,左侧鼻唇沟浅。左侧肢体肌力4级,右侧肢体肌力5级,双侧病理征阴性。感觉、共济查体未见异常,脑膜刺激征(-)。
NIHSS评分:3分。
粘液瘤不是癌症,但仍然是危险的,因为它们会干扰你的心脏功能。这就是为什么患有粘液瘤的人需要手术切除肿瘤并防止严重并发症的原因。
瓣膜处梗阻。粘液瘤的主体通常长在一根茎上,可以随血液流动和心脏收缩在心腔内来回摆动。如果粘液瘤进入瓣膜开口,它会暂时影响、甚至阻断通过瓣膜的血液流动,可以产生血压波动、晕厥,甚至危及生命的严重后果。这通常发生在左心房和左心室之间的心脏瓣膜——二尖瓣。


心玮医疗
HEART CARE
上海心玮医疗科技股份有限公司(股票代码:06609.HK)成立于2016年,公司致力于提高创新医疗技术的可及性,守护生命健康。七年时间,心玮医疗在神经介入领域开拓性地打造了国内卒中治疗及预防一站式解决方案,拥有从急性缺血性卒中和神经血管狭窄治疗、缺血性卒中预防、出血性卒中治疗到介入通路器械的全产品管线,申请专利超过300项,销售渠道覆盖了国内除香港、澳门和台湾地区以外的全部省份。
基于现有的领先优势,心玮医疗将继续专注于普及新兴的医疗术式,着眼于中国未被满足的临床医生和患者需求,运营包括神经介入、全心治疗、外周介入在内的多个新兴业务板块,期待在这些具有庞大潜力的医疗领域中,不断推出定义新兴术式的创新介入器械,降低重大疾病死亡率并改善患者预后。

声明:脑医汇旗下神外资讯、神介资讯、脑医咨询、Ai Brain 所发表内容之知识产权为脑医汇及主办方、原作者等相关权利人所有。
投稿邮箱:NAOYIHUI@163.com
未经许可,禁止进行转载、摘编、复制、裁切、录制等。经许可授权使用,亦须注明来源。欢迎转发、分享。
投稿/会议发布,请联系400-888-2526转3。





