

病例展播
1
病例信息
患者:男性,70岁。
主诉:头昏、吐词不清、左侧肢体无力伴吞咽困难8小时。
既往史:近10余年多次中风史;有高血压、血糖偏高等血管危险因素;肾病综合征伴有弥漫性膜性肾小球肾炎、慢性肾脏病3期。
入院查体:
BP 137/85mmHg,呼吸音粗,双下肺可闻及少量啰音,心律齐,未闻及杂音。
神经系统查体:神志清楚,言语不清,双侧瞳孔等大等圆,直径约2.5mm,无凝视,对光反射存在,左侧鼻唇沟浅,伸舌稍偏左,左侧肢体肌力3级,肌张力增高,腱反射活跃,右侧肌张力腱反射正常,左侧巴彬斯基征(+),共济查体不配合,颈软。
NIHSS评分8分(面瘫1分+左上肢2分+左下肢2分+共济1分+构音1分),发病前mRS评分0分,发病后mRS评分4分。
2
术前影像
急诊DWI及ADC提示右侧脑干新鲜梗死。


脑血管造影提示右侧椎动脉V4段管腔局限性重度狭窄。


3
手术策略制定
1.脑干梗塞。
2.右侧椎动脉V4段重度狭窄。
右侧桡动脉入路。
球囊扩张血管成形术。
没有合适的长鞘,远端通路导管在近段支撑力不够的情况下能否跟进上高及给予足够的稳定支撑。
术前双抗、降脂稳定斑块、尼莫地平泵。
4
术中器械
6F 通桥银蛇®Plus远端通路导管
通桥x海思北斗神经微导丝(GWS)200cm
21系统微导管 150cm
超滑导丝
5
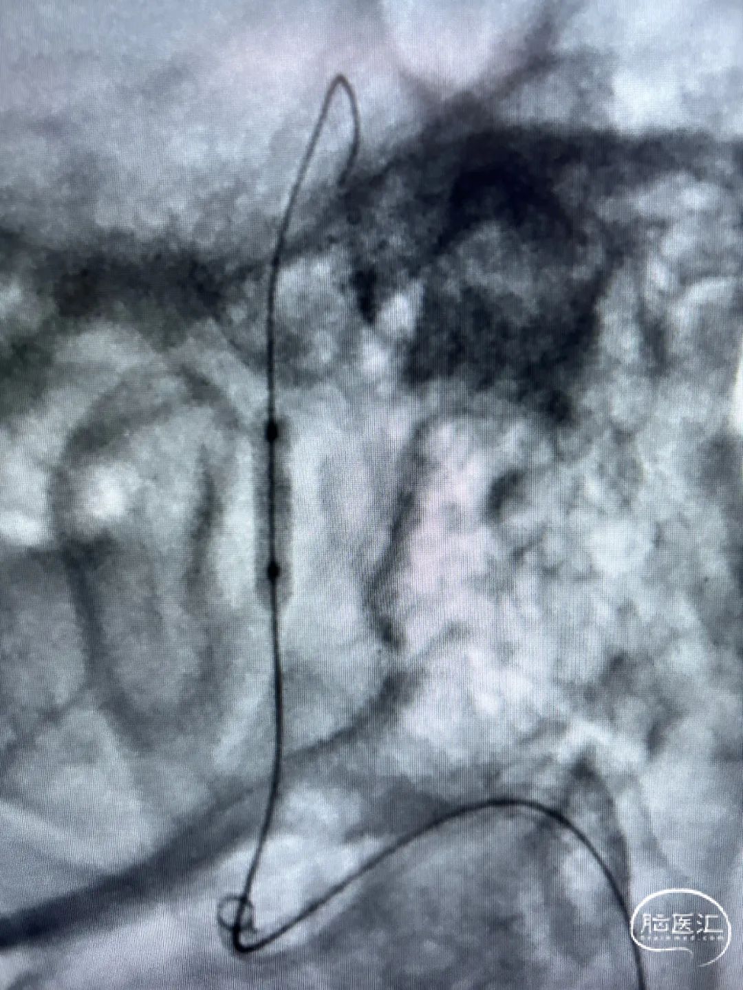
治疗过程
路图下,超滑导丝引导下端通桥银蛇®Plus远端通路导管到位。

路图下,通桥x海思北斗神经微导丝顺利通过右侧椎动脉V4段狭窄处。

颅内球囊导管输送到位,通桥x海思北斗神经微导丝支撑稳定。

颅内球囊缓慢充分扩张狭窄段。


球囊扩张后多角度造影局部狭窄及前向血流较术前明显改善。



6
手术总结
通桥银蛇®Plus远端通路导管可适用于经桡或经股动脉入路治疗,在无长鞘支撑情况下表现出良好的输送通过性,支撑稳定同时头端更软,降低对血管的损伤。较大的内腔可完成单纯抽吸及取栓或支架系统的兼容。
通桥x海思北斗神经微导丝的操控支撑性能较好,头端塑形稳定手感可靠。
术者简介
周刚
黄冈市中心医院
黄冈市中心医院神经内科2病区副主任,黄冈市中心医院卒中中心秘书,副主任医师,医学硕士,中共党员。
中国医师协会中西医结合医师分会脑心同治专业委员会委员。
湖北省医学会神经病学分会青年委员会委员。
湖北省脑血管病防治学会理事。
湖北省脑血管病防治学会神经介入及神经重症专业委员会委员。
湖北省卒中学会会员。
湖北省医学生物免疫学会血栓与止血MDT专委会委员。
武汉医学会神经病学分会神经介入学组成员。
武汉医学会神经血管介入分会委员。
黄冈市医学会神经病学分会委员及神经血管介入学组组长。
黄冈市神经内科质量控制中心专家组成员。
黄冈市脑卒中防治中心执委会秘书。
黄冈市中医药学会脑心同治专业委员会委员。
高聚
黄冈市中心医院
黄冈市中心医院神经内科病区副主任,副主任医师,医学硕士 。
湖北省脑卒中学会委员。
武汉市医学会8+1城市圈神经病学专业委员会委员。
湖北省中西医结合学会脑心同治专业委员会委员。
黄冈市医学会神经病学分会委员及神经血管介入学组副组长。
专业特长:脑血管病、急性缺血性脑卒中救治及神经血管介入诊疗。
王佳君
黄冈市中心医院
黄冈市中心医院神经内科副主任医师,医学硕士
湖北省脑卒中学会委员。
黄冈市医学会神经病学分会委员及神经血管介入学组成员。
专业特长:脑血管病、急性缺血性脑卒中救治及神经血管介入诊疗。

本内容仅供医学专业人士作线上专业交流
本内容不向非医学专业人士开放,敬请理解
讲课内容仅代表专家个人观点,非通桥医疗推广产品
声明:脑医汇旗下神外资讯、神介资讯、脑医咨询、Ai Brain 所发表内容之知识产权为脑医汇及主办方、原作者等相关权利人所有。
投稿邮箱:NAOYIHUI@163.com
未经许可,禁止进行转载、摘编、复制、裁切、录制等。经许可授权使用,亦须注明来源。欢迎转发、分享。
投稿/会议发布,请联系400-888-2526转3。











