
病例展播
病例简介
患者:女性,86岁。
简要病史:患者3.5小时前无明显诱因突发意识不清,呼之不应,伴恶心、呕吐2次,呕吐物为胃内容物,伴小便失禁,无大便失禁,无四肢抽搐,急送我院急救中心,查颅脑CT示:“蛛网膜下腔出血”。
既往史:“血压高”病史。
入院查体:T:36.5℃,P:82次/分,R:17次/分,BP:186/92mmHg。患者呈模糊状态,颈部抵抗,双侧瞳孔直径约1.5mm,对光反射消失,双上肢肌力II级,双下肢肌力I级,四肢肌张力可,双侧巴氏征未引出。
术前影像
CT示纵裂内血肿。



脑血管造影及3D重建示前交通动脉瘤,大小约7.6*5.2*4.8mm,瘤颈宽3.8mm,3个子瘤分别朝向不同方向,瘤颈处子瘤朝向对侧上方,考虑为动脉瘤破裂处。




术前讨论
经过血管组讨论评估认为:患者年龄较大,开颅手术创伤及风险较大,首先考虑介入栓塞治疗。
➢治疗方案
1.支架辅助弹簧圈栓塞;
2.载瘤动脉留置微导管,预防弹簧圈突出;
3.单纯弹簧圈栓塞,大圈成篮后,通过弹簧圈顺应性填塞各子瘤。
术中器械
6F 90cm 股动脉长鞘
6F 115cm 中间导管
Echelon-10微导管
微导丝
通桥凤®弹簧圈
手术过程
全身麻醉后,患者平卧位,以股动脉穿刺点置入6F 90cm 股动脉长鞘,路径图引导下中间导管超选至右侧颈内动脉海绵窦段。
6mm*20cm 通桥凤®弹簧圈成篮,5mm*15cm、4mm*12cm、3mm*8cm 通桥凤®弹簧圈严密填塞瘤体及下方2个子瘤,子瘤填塞完全依靠弹簧圈寻空能力,栓塞效果可。


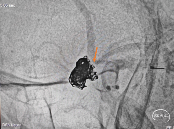
造影示瘤颈处子瘤仍显影,弹簧圈未进入子瘤,故再次用微导丝导引微导管超至子瘤口。(图示微导管头端位置)

填入2mm*4cm、1.5mm*3cm 通桥凤®弹簧圈2枚,弹簧圈顺利填入子瘤。


术后正侧位,动脉瘤栓塞满意,载瘤动脉血流通畅,未行支架或微导管辅助栓塞。
术后撤出通路导管,停止麻醉,神志逐渐转清,言语欠佳,肢体活动较前略好转。术后复查颅脑CT平扫示纵裂出血较前无明显变化。
在复杂动脉瘤病例中,通桥凤®弹簧圈的顺应性、寻空能力出众,可以将复杂问题简单化,减少手术操作难度及并发症出现可能。
术者简介
杨波
淄博市中心医院西院区
神经外科,副主任医师。
山东省疼痛医学会神经介入专业委员会委员。
山东省疼痛医学会小儿神经外科专业委员会委员。
山东省抗癌协会神经肿瘤分会第二届青年委员会委员。
淄博市脑卒中协会委员。
神经外科专业工作17年,从事神经介入专业工作5年。侧重于脑动脉瘤、脑血管狭窄、急性脑梗死等方面的诊疗。在淄博市中心医院高级卒中中心的建设及发展过程中承担了大量的临床工作。神经介入年手术量110台次左右。并逐步开展动脉瘤开颅夹闭、颈动脉内膜剥脱及烟雾病的脑血管搭桥手术。
SCI论文2篇,北大核心期刊论文3篇,参与编写论著一部。

本内容仅供医学专业人士作线上专业交流
本内容不向非医学专业人士开放,敬请理解
讲课内容仅代表专家个人观点,非通桥医疗推广产品
点击上方二维码
查看更多“介入”内容
声明:脑医汇旗下神外资讯、神介资讯、脑医咨询、Ai Brain 所发表内容之知识产权为脑医汇及主办方、原作者等相关权利人所有。
投稿邮箱:NAOYIHUI@163.com
未经许可,禁止进行转载、摘编、复制、裁切、录制等。经许可授权使用,亦须注明来源。欢迎转发、分享。
投稿/会议发布,请联系400-888-2526转3。







