
男,26岁,
因“反复四肢抽搐3年余,加重10天余”于入院。
既往史:
2009年曾行左侧脑出血开颅手术,具体不详。
术前查体:
神志清醒,对答切题,右上肢肌力1级,右下肢肌力4级,其余肢体肌力肌张力大致正常。
外院MRI

术前MRI平扫+DWI
术前DSA



诊断:
1、左侧额颞叶脑动静脉畸形
2、继发性癫痫
3、左侧基底节区、额颞叶脑出血术后
治疗方案:全麻下,静脉入路脑动静脉畸形栓塞术(球囊保护)
术中动脉造影


动静脉联合3d显示引流静脉与矢状窦关系;中天21微导管塑形(半圆)支撑下FATHOM-14导丝超选成功,考虑enchlon10长度不够,截断中管;FATHOM-14 3m交换enchelon10,但阻力大未能到位,中间管也未能到引流静脉入口;头羊作用下apollo3cm超选到位。

球囊保护静脉入路栓塞:注射onyx34约1ml,onyx18约1.5ml,总时长20min。

术后即刻造影畸形血管团不显影


手术材料
•通路:
动脉:
6F鞘,8F导引导管,球囊微导管
静脉:
8F鞘,8F导引导管,颅内支撑导管TGC070-06-125(中间导管),Echelon10微导管,Apllo微导管
• 微导丝:
泥鳅导丝,Synchro-10 200cm,FATHOM-14 200cm,FATHOM-14 300cm, PILOT200 190cm
•球囊:
HyperGlide 3*10mm
•栓塞材料:
Onyx18 、Onyx34
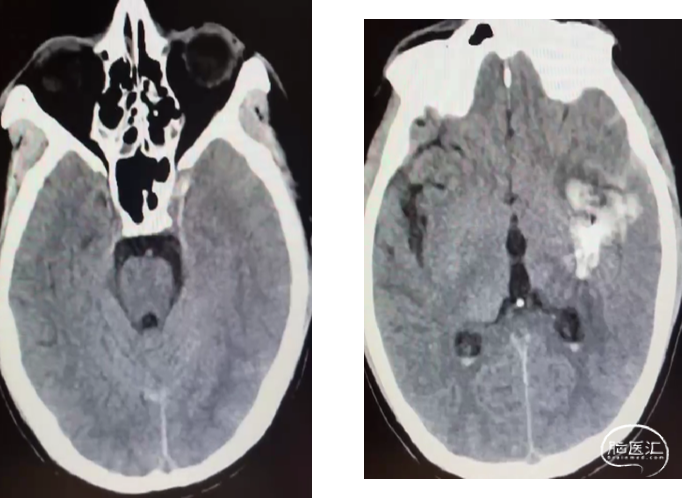
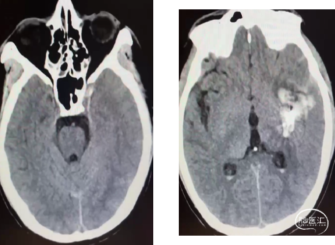
术后CT复查,少量出血,癫痫发作,继续控压、抗癫痫等治疗


钟书
广西自治区人民医院
脑血管、脊髓神经外科副主任医师,广西右江民族医学院外科副教授
中国卒中专科联盟委员
中国医师协会神经介入专委会委员
国家卫健委脑防委出血介入专委会委员
中国生命关怀协会理事
中国生命关怀协会脑卒中救治及康复照护专业委员会常务委员
中国老年医学会神经医学分会常委兼副总干事
中国老年医学会脑血管病分会委员
中国老年保健医学研究会脑卒中防治分会委员
海峡两岸医药学会神经外科专委会脑血管病学组委员
中国人体健康科技促进会临床神经科学技术转化专委会委员
中国神经外科重症管理协作组委员
中国神经科学转化与循证医学协作组委员
广西脑血管病专科联盟副主席兼秘书长
美国神经介入(JNIS)杂志中文版编委
脑医汇-神介资讯编委
获国家卫健委脑防委优秀中青年专家、国家卫健委脑卒中防治工程十周年菁英先锋奖、中国志愿医生脱贫攻坚功勋奖、广西区直机关青年岗位能手、广西优秀青年志愿者等荣誉称号
点击或扫描上方二维码,
前往 钟书 学术主页
查看更多精彩内容
点击上方二维码
查看更多“介入”内容
声明:脑医汇旗下神外资讯、神介资讯、脑医咨询、Ai Brain 所发表内容之知识产权为脑医汇及主办方、原作者等相关权利人所有。
投稿邮箱:NAOYIHUI@163.com
未经许可,禁止进行转载、摘编、复制、裁切、录制等。经许可授权使用,亦须注明来源。欢迎转发、分享。
投稿/会议发布,请联系400-888-2526转3。








