

患者基本信息:男性,40岁。
主诉:因“行走不稳4小时”于23.11.2收入院。
现病史:患者4小时前无明显诱因出现行走不稳,表现为向右侧倾倒,伴有肢体麻木,有头晕,非天旋地转,无呕吐,无头痛,无肢体抽搐,无大小便失禁,无视力、视野下降。
既往史:既往“高血压病”、“糖尿病”病史,诉规律服药,血压控制不佳。
入院查体情况:入院查头颅CT提示“小脑动脉瘤”,头颅MR“未见急性脑梗塞”,予控制血压等对症治疗,神志清楚,Glasgow评分E4V5M6,头颅五官未见畸形,双侧额纹对称,双瞳孔等圆等大,直径约3mm,对光反射灵敏,双侧鼻唇沟无变浅,双侧鼻腔外耳道无异常分泌物,口角无歪斜,颈无抵抗,Brudzinski's sign(-),Kernig's sign(-)。四肢肌力5级,双侧肌张力正常,双侧膝反射、跟腱反射、腹壁反射对称存在,双侧Babinski`s sign(-)、Chaddacke`s sign(-)、Gorden`s sign(-)、Openhheimm`s sign(-)、Hoffman`s sign(-)。指鼻实验准确。

考虑到患者神志清楚,CT提示蛛网膜下腔没有出血,载瘤动脉细小且不可以闭塞载瘤动脉,决定严格控制血压的情况下先保守治疗,观察一周后复查DSA。

1、开颅孤立夹层动脉瘤,左侧PICA做血管吻合。家属不接受,希望更微创的手术方式。
2、在夹层动脉瘤内植leo baby支架,这个方法简单易行,但对夹层动脉瘤的保护强度有限,加上术后需要抗聚治疗,风险较大。
3、植入密网支架,优点是能有效保护夹层动脉瘤;缺点是载瘤动脉细小且弯曲通过TJMC18Plus微导管可能非常困难。幸运的是可供选择的密网支架规格齐全。决定选用方案3。

右侧小脑后下动脉瘤Nuva®血流导向密网支架成形术。

8F股鞘
6F 70cm长鞘
Freble 6F 115cm中间管
0.014in*200cm微导丝
TJMC18Plus微导管
泰杰Nuva®血流导向密网支架TJED-D-2.5-20(预期血管直径和长度2.0mm*26mm)

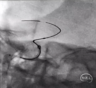
【术中造影】
全身肝素化,送入长鞘、中间管,在导丝指引下置入TJMC18Plus微导管。
术后造影见支架打开好、贴壁好,动脉瘤内可见造影剂滞留。

术者简介

佛山市第二人民医院神经外科主任
广东省基层医学会神经外科专业委员会副主任委员
佛山市中西医结合学会神经外科学专业委员会主任委员
中华医学会广东省神经外科学会委员
佛山市医学会神经外科学会副主任委员
南方医科大学教授
产品介绍

点击上方二维码
查看更多“介入”内容
声明:脑医汇旗下神外资讯、神介资讯、脑医咨询、Ai Brain 所发表内容之知识产权为脑医汇及主办方、原作者等相关权利人所有。
投稿邮箱:NAOYIHUI@163.com
未经许可,禁止进行转载、摘编、复制、裁切、录制等。经许可授权使用,亦须注明来源。欢迎转发、分享。
投稿/会议发布,请联系400-888-2526转3。