病例展播
患者:男性,70岁。
现病史:反复头晕半年,活动时明显,平卧休息时减轻,未予重视。2周前患者出现头晕及左下肢拖步,未重视,1周前外院就诊,诊断为“左侧基底节区新近脑梗死”,予拜阿司匹林+氯吡格雷抗血小板治疗,患者仍觉无改善,至我院就诊。
既往史:高血压3级,很高危;吸烟史40年,1包/天;饮酒史40年,2两/天,白黄红啤。
专科查体:双上肢收缩压差>30mmHg,左下肢拖曳,神清,语利,四肢肌力5级,行走步态缓慢,需要家人搀扶。
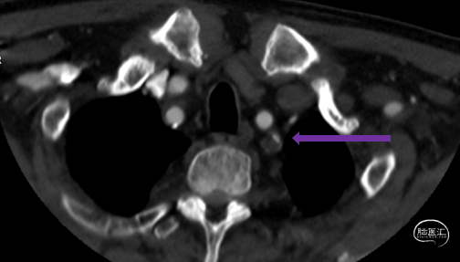
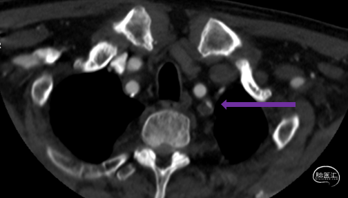
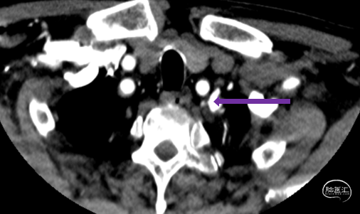
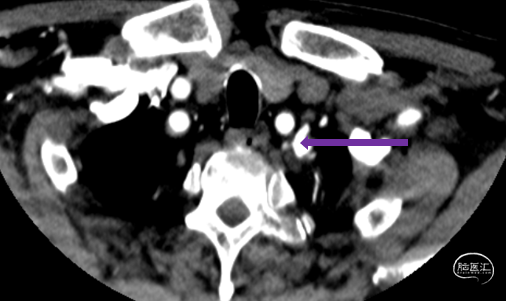
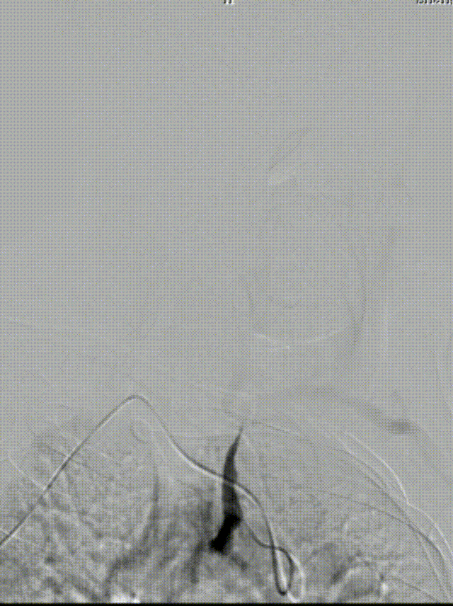
头颈CTA:左侧椎动脉起始、左侧锁骨下动脉重度狭窄。



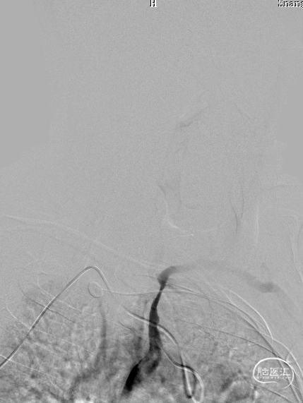
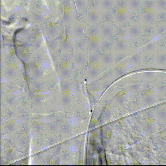
LSub

LV1
症状性左锁骨下重度狭窄;症状性左椎动脉重度狭窄。
经皮左锁骨下球囊扩张备支架植入术;经皮左椎动脉支架植入术。
围手术期用药:抗血小板:拜阿司匹林100mg qd+氯吡格雷75mg qd;阿托伐他汀20mg qn降脂稳斑;雷贝拉唑保护胃粘膜。
斑块脱落、血栓形成、脑栓塞。
血管内膜损伤、斑块质硬导致支架打开不全。
高灌注,颅内出血。
8F 90cm 导引导管
125cm多功能导管
0.035" 泥鳅导丝
0.018*300cm 外周导丝
0.014*200cm 通桥北斗SS™神经血管导丝
6*40 外周球囊
3mm*16mm 药物球扩支架
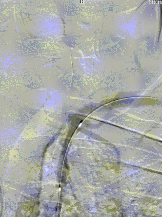
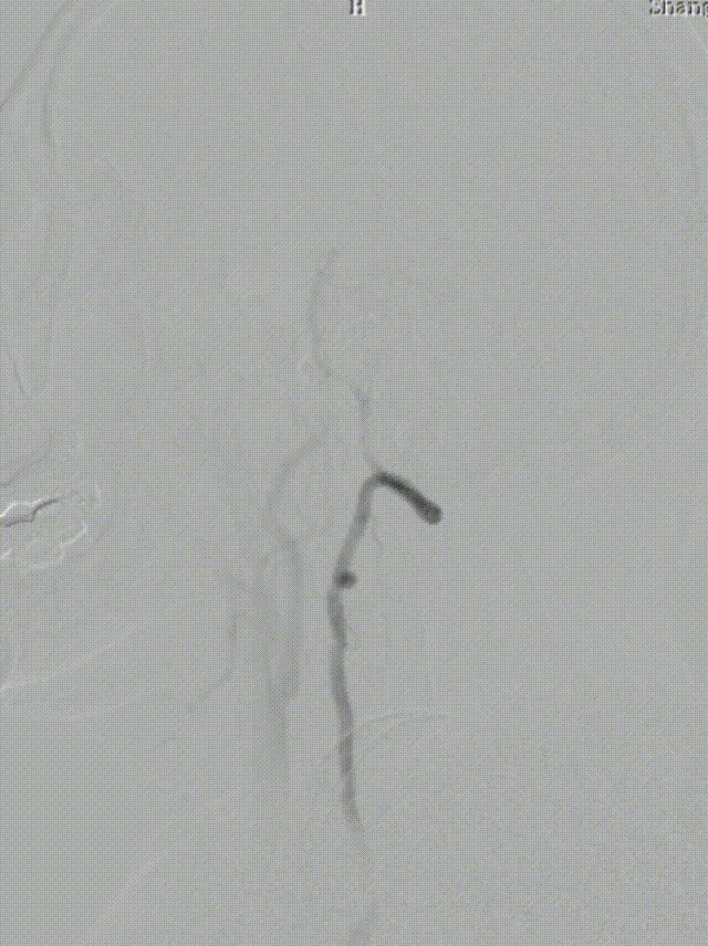
DSA:LSub。


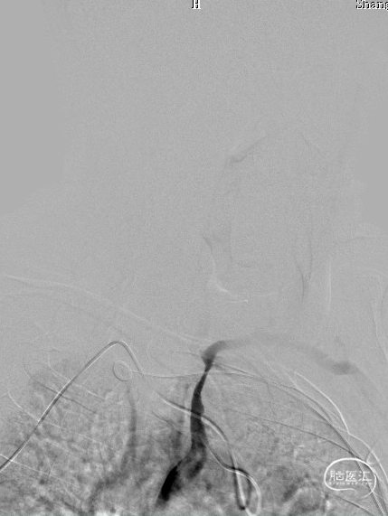
DSA:L-CCA。


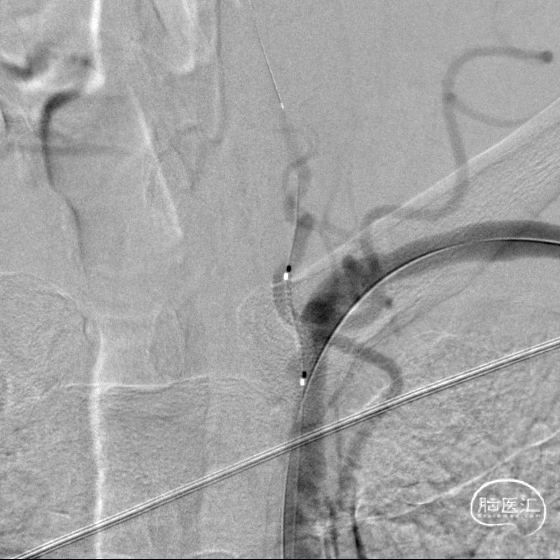
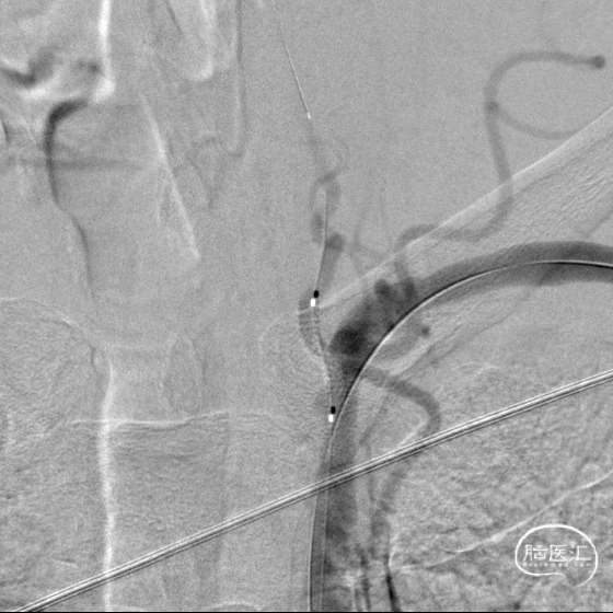
0.018*300cm 外周导丝至左肱动脉,0.014*200cm 通桥北斗SS™神经血管导丝超选至左椎V2段远端。
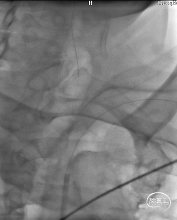
沿0.018*300cm 外周导丝送入6*40 外周球囊送至左侧锁骨下动脉狭窄处,压力泵逐渐加压到6atm。


撤出球囊后见残余狭窄40%。


再次沿0.018*300cm 外周导丝送入6*40 外周球囊达LSub狭窄部位,压力泵逐渐加压到8atm,见残余狭窄20%。


患者出现意识模糊、呕吐、胸闷等不适,查体:血压升高(血压200/100mmHg),神清,对答切题,伸舌居中,查体部分配合,四肢肌力5级,双眼向右凝视伴水平眼震。
立即行Dyna-CT,未见脑出血表现,立即予以尼卡地平及尼莫地平降压,动脉静推负荷量替罗非班。
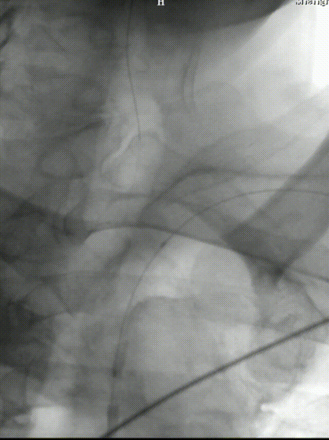
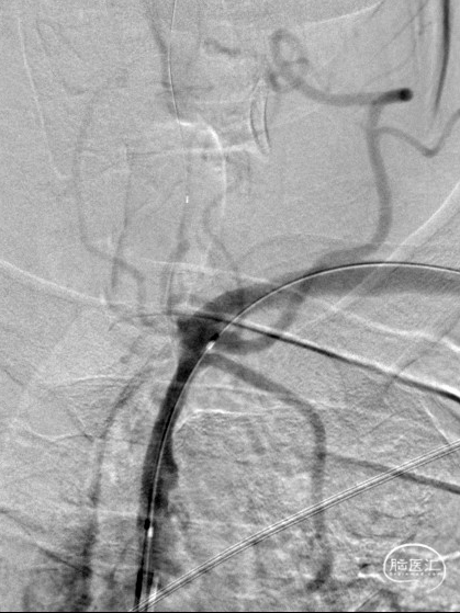
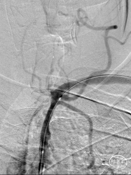
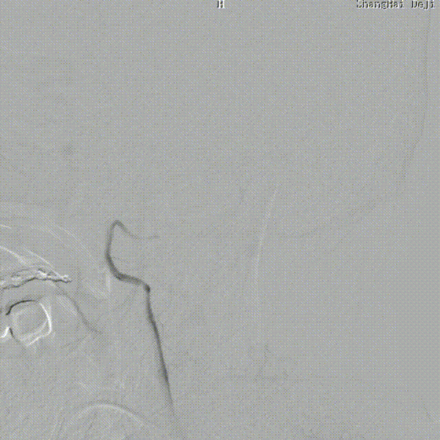
造影见LV闭塞,立即沿0.014*200cm 通桥北斗SS™神经血管导丝置入3mm*16mm 药物球扩支架至LV1。


压力泵逐渐加压球扩支架到8atm, 支架打开良好,造影示残余狭窄0%。




双侧锁骨下动脉造影见椎动脉、基底动脉血流通畅,远端未见栓塞表现。







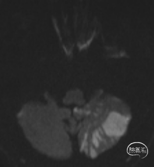
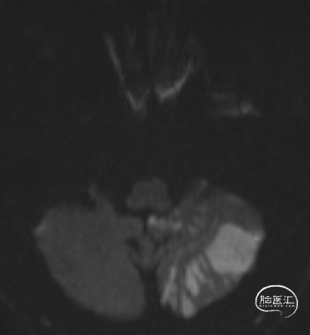
术后头晕呕吐,当日DWI:左侧小脑梗死,MRA未见明显大血管栓塞。



术后第3天患者恶心、呕吐症状消失,仍有头晕,复查DWI及MRA。
术后第5天,头晕症状完全消失,双上肢收缩压差8mmHg,NIHSS 0分。



病例小结
通桥北斗SS™神经血管导丝操控性优异,术中表现出优良的穿越狭窄病变以及携带支架能力。
患者反复头晕,双上肢收缩压差>30mmHg,左锁骨下及左椎均有重度狭窄,左椎为左侧小脑后下动脉唯一供血血管,故考虑同时处理两处狭窄缓解症状。
扩张锁骨下动脉时,预判椎动脉有栓塞风险,椎动脉预留保护导丝通路很重要。
左侧椎动脉开口CTA未见明显钙化,考虑支架打不开可能性不大,故放支架前可以不用预扩。
左椎支架开口下端斑块完全覆盖,减少远期再脱落风险。
术中即刻发现出现栓子脱落左椎动脉闭塞,立即予替罗非班负荷量并置入支架。后续复查左侧小脑虽有梗死病灶,但患者神经功能无缺损,头晕症状完全消失,下肢拖曳也完全消失,生活完全恢复至正常。
患者锁骨下动脉及椎动脉串联狭窄,术中扩张锁骨下动脉时出现椎动脉栓塞,术中不排除椎开口新形成血栓,若保护椎动脉导丝提前从左桡进入,椎动脉支架提前放置在椎开口附近,可更迅速植入支架,可能会减少术中形成血栓风险。
术者简介
汤建军
上海德济医院
上海德济医院神经内科兼脑卒中中心主任,副主任医师,医学博士。
上海市医学会脑卒中分会缺血性卒中规范化治疗小组委员。
上海卒中学会血管内治疗分会委员。
上海市医师协会神经介入专科医师委员会委员。
上海市社会医疗机构协会神经病学专科委员会常委。
上海市生物医学工程学会介入医学委员会委员。
李相军
上海德济医院
硕士研究生在读,中共党员。
临床经验多年,发表论文多篇。
德济未来人才培养——优秀青年预备人才培养对象。
擅长隐源性卒中筛查、TCD及发泡试验、急性缺血性脑卒中溶栓术、脑血管造影等。
本内容仅供医学专业人士作线上专业交流
本内容不向非医学专业人士开放,敬请理解
讲课内容仅代表专家个人观点,非通桥医疗推广产品

点击上方二维码
查看更多“介入”内容
声明:脑医汇旗下神外资讯、神介资讯、脑医咨询、Ai Brain 所发表内容之知识产权为脑医汇及主办方、原作者等相关权利人所有。
投稿邮箱:NAOYIHUI@163.com
未经许可,禁止进行转载、摘编、复制、裁切、录制等。经许可授权使用,亦须注明来源。欢迎转发、分享。
投稿/会议发布,请联系400-888-2526转3。