

前言
后循环缺血性卒中发病率高,约占缺血性卒中的25%-40%。椎动脉狭窄是引起后循环缺血的主要原因,与前循环缺血性卒中相比,椎基底动脉缺血性卒中预后差。其中,有9-33%的后循环缺血性卒中患者有椎动脉起始部狭窄或闭塞。
针对药物治疗无效或者反复发作的椎动脉狭窄患者,血管内介入治疗已然成为目前非常普遍的治疗方式。传统金属裸支架术后狭窄率可高达40%,而药物洗脱支架治疗椎动脉狭窄可以有效降低支架内再狭窄发生率,Bridge椎动脉雷帕霉素靶向洗脱支架的临床试验结果显示其再狭窄率仅为3.7%,远低于金属裸支架,为椎动脉狭窄患者的治疗提供了一个更为安全有效的治疗方法。
本期“术”说卒中由沈阳市第一人民医院柳志一教授、孙延宝教授分享Bridge椎动脉雷帕霉素靶向洗脱支架治疗左侧椎动脉狭窄。

01
01
患者女性,70岁。
现病史:头晕9天。8天前于外院住院治疗,期间完善头磁共振及脑血管造影等相关检查,未见明确新发脑梗死,发现右侧椎动脉起始部狭窄,今日于我院进一步诊治。
既往史:高血压病史20年,最高血压180/120mmHg,口服拜新同治疗,右肾摘除术后5年,左肾囊肿病史多年,发现腔隙性脑梗死8天,发现胆囊结石8天,否认糖尿病,心脏病,胃溃疡,痛风等病史。否认吸烟饮酒史。
入院查体情况:T 36.5℃,P 65次/分,R 18次/分,BP 142/85mmHg,神清语利,查体合作,颅神经阴性,四肢肌力5级,肌张力正常,双侧轮替试验,指鼻试验,跟膝胫试验稳准,Romberg征阴性,双侧深浅感觉未见明显异常。双侧腱反射可对称引出,Babinski(L-R-),颈强(-)。
02
入院心电图:窦性心律 76次/分,左室肥大伴复极异常。
血糖:12.9mmol/L。
头CT:腔隙性脑梗死。
患者外院脑血管造影明确双侧椎动脉狭窄。
03
初步诊断:
双侧椎动脉狭窄。
手术难度与风险评估:
患者双侧椎动脉开口重度狭窄,且此次有头晕症状,且存在卒中风险。后循环梗死可导致瘫痪、昏迷等严重卒中事件。应进一步评估治疗,预防致死致残性卒中事件发生。可在知情同意的前提下行支架成形术,患者及家属已签署知情同意书。
治疗预案:
1.患者已行氯吡格雷、阿司匹林双联抗血小板药物治疗,并服用阿托伐他汀降脂治疗5天以上。拟行椎动脉支架成形术。
2.术中依狭窄血管直径及病变长度选取支架、球囊。
药物准备:
肝素钠注射液2支,盐酸利多卡因注射液1支,碘克沙醇注射液2瓶。
术中涉及器械
鞘管:6F桡动脉鞘
导引导管:SPB 3.5导引导管
导丝:150cm泥鳅导丝,260cm泥鳅导丝
微导丝:0.014inch*200cm ASAHI CHIKAI导丝
支架:Bridge椎动脉雷帕霉素靶向洗脱支架
04
1
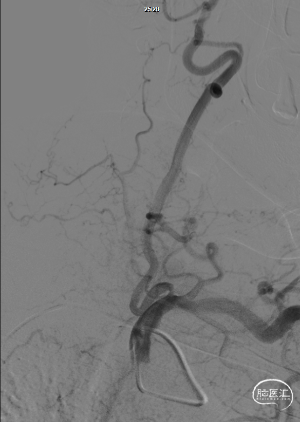
造影结果:
1.右侧桡动脉入路,造影显示:II型主动脉弓,左侧椎动脉V1段走形迂曲,起始部重度狭窄,狭窄率约为75%。
2.患者经桡动脉入路后,减少术后卧床问题,及有效减少穿刺点血肿,假性动脉瘤等并发症。

2
测量病变:
远端4.27mm、狭窄处0.89mm,狭窄程度约75%。

3
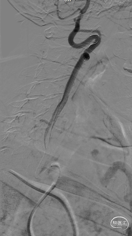
导引导管到位:
使用Simmons 2导管送达左侧锁骨下动脉,长泥鳅导丝超选左侧腋下动脉,交换撤出Simmons 2导管,送入SPB 3.5导引导管至左侧锁骨下动脉起始部。

4
微导丝到位:
在路图指引下将微导丝谨慎通过狭窄及V1迂曲段并留置于左侧椎动脉V3段远段。
操作要点:
1、微导丝塑形,使用双导丝技术
2、微导丝操控,谨慎通过狭窄段

5
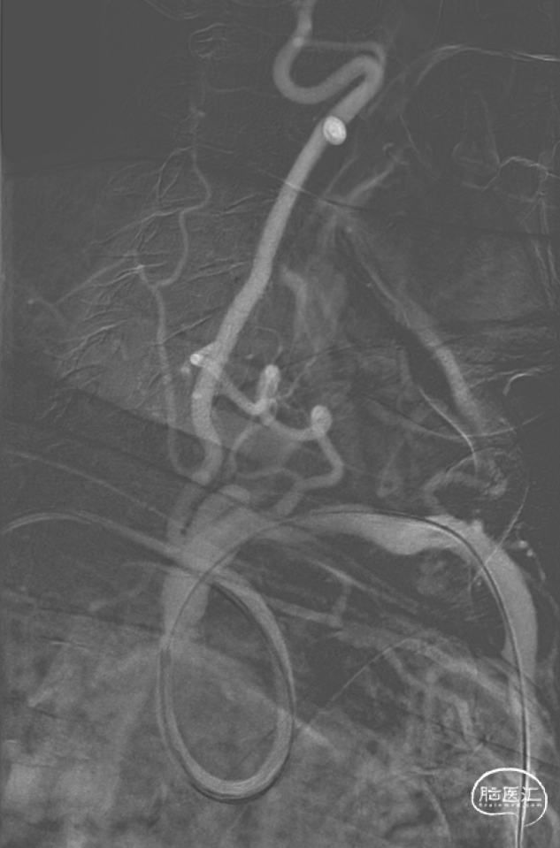
经过测量后,选择4.0mm*13mm Bridge椎动脉雷帕霉素靶向洗脱支架,沿微导丝将支架输送至狭窄处,造影确认位置良好,缓慢充盈至10atm,30s后泄压,造影见支架定位良好,残余狭窄约为40%,再次送入球囊扩张,10atm缓慢充盈,30s后泄压,造影见支架定位良好,贴壁良好,前向血流较前改善,无残余狭窄。


6
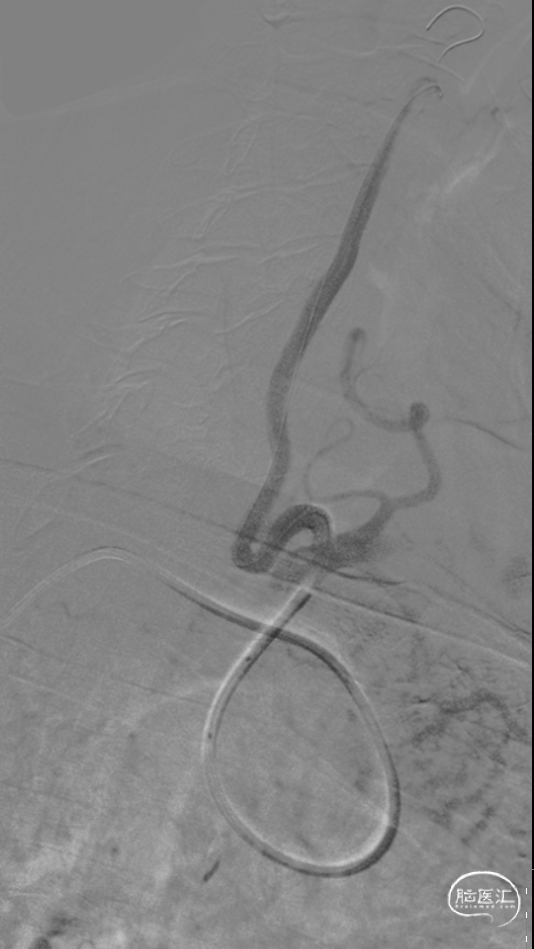
术后造影:


正位
侧位
药物治疗
患者双抗1周化验血栓弹力图,AA抑制率偏低,阿司匹林改为西洛他唑口服
西洛他唑 100mg bid
氯吡格雷 75mg qd
阿托伐他汀 20mg qn
硝苯地平控释片 30mg qd
替米沙坦片 40mg qd

随访:患者术后一般情况好,神经系统查体无明显异常,血压控制良好。
小结
该患者为左侧椎动脉开口处重度狭窄,病变长度短且病变处血管迂曲,需选取有良好支撑力和强抗疲劳性,顺应血管形态,减少支架断裂并发症,同时可选取药物辅助抑制中膜平滑肌的增殖和迁移,降低再狭窄率。
雷帕霉素药物支架相比裸支架可以有效降低再狭窄率。
Bridge椎动脉雷帕霉素靶向洗脱支架独特的载药设计,药物储存于支架贴血管壁表面的凹槽内,载药量更低,仅向血管内膜面靶向释放,血管腔内无药物,避免了对管腔面的支架表面内皮化的影响、降低了支架植入后的炎症反应、保证了支架表面的光滑,减少对支架表面内皮化影响,能更早完成内皮化进程,减少血栓事件与再狭窄,提高安全性。
术者简介
柳志一
沈阳市第一人民医院神经内科
副主任医师
发表国家级论文7篇,参与国家级十三五课题2项、省级课题4项,负责市级课题2项
辽宁省细胞生物学学会脑血管病分会理事
大连市脑血管病专科联盟理事
辽宁省生命科学学会神经重症与介入专委会委员
孙延宝
沈阳市第一人民医院神经内科
住院医师
掌握神经系统的常见病的诊治以及神经系统急危重症的急诊急救。擅长脑血管介入治疗,可独立完成脑血管造影,动脉溶栓,取栓,弓上血管球囊成形及支架置入。辅助完成脑血管慢闭再通,有良好学习及经验积累,目前是辽宁省最年轻的独立神经介入术者。2022年参与沈阳市卫健委科研课题一项
-END-
点击上方二维码
查看更多“介入”内容
声明:脑医汇旗下神外资讯、神介资讯、脑医咨询、Ai Brain 所发表内容之知识产权为脑医汇及主办方、原作者等相关权利人所有。
投稿邮箱:NAOYIHUI@163.com
未经许可,禁止进行转载、摘编、复制、裁切、录制等。经许可授权使用,亦须注明来源。欢迎转发、分享。
投稿/会议发布,请联系400-888-2526转3。









