病例简介

患者:
男性, 47岁
主诉:
突发头痛、呕吐8小时,意识不清6小时。
现病史:
8小时前无明显诱因突发头痛,伴频繁喷射性呕吐,呕吐物为咖啡色胃内容物,6小时前送来我院途中意识不清,小便失禁。
于我院急查头颅CT示“蛛网膜下腔出血”,因血氧饱和度下降行气管插管。
急查CTA显示“右侧椎动脉V4段梭形动脉瘤”,遂以“颅内动脉瘤破裂、蛛网膜下腔出血”收入院。
既往史:
无特殊。
入院检查:
BP:160/100mmHg,R:26次/分。
经口气管插管状态,中度昏迷,双侧瞳孔正大等圆,直径约2mm,对光反射灵敏,颈项强直,双肺闻及广泛湿罗音,四肢刺痛躲避,肌力检查不合作,肌张力正常,双侧腱反射正常,巴氏征(-)。
Hunt-Hess分级4级。
术前准备
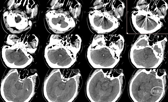
头颅CT:
蛛网膜下腔出血,以脑干前方密度较高,
并逆流入四脑室。
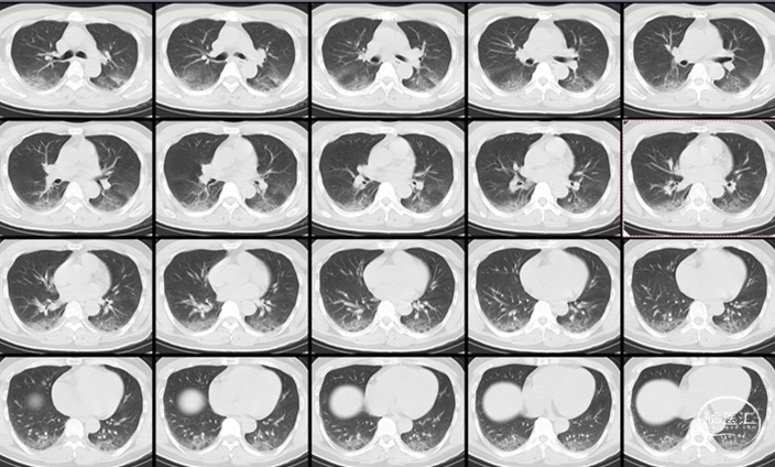
肺CT:
双肺多发炎性改变,符合吸入性肺炎表现。
CTA:
右侧椎动脉(优势侧)V4段梭形动脉瘤,
左侧椎动脉纤细,后交通动脉未显影。


影像科提供的重建图像就像美颜照片,虽然好看,但丢失了诸多细节。
我们使用影像工作站重建的图像能够看到更多细节:
动脉瘤处有明显的凹陷,考虑为动脉夹层的内膜瓣;动脉瘤累及小脑后下动脉(PICA)的开口。


初步诊断:
颅内动脉瘤(右椎、V4、夹层)
蛛网膜下腔出血
吸入性肺炎
应激性溃疡
对于椎动脉的夹层动脉瘤,可采用重建或闭塞患侧椎动脉,如果是非优势侧的病变应首选闭塞血管,如果是优势侧椎动脉则需要保留动脉;
后循环动脉瘤的开颅手术难度大、风险高,首选介入治疗;
血流导向装置应用于动脉瘤破裂出血急性期仍有争议,专家共识推荐急性期首选支架辅助弹簧圈治疗;
支架的选择:
激光雕刻支架金属覆盖率低,复发率高;编织支架可局部推密以增加金属覆盖率,同时可使用“推灯笼技术”保护受累PICA。
器械耗材:
6F导引导管
LVIS支架+Headway21微导管
Synchro 14微导丝
泰杰弹簧圈+微导管

术中操作
造影显示左侧椎动脉非优势侧
(5F造影导管即造成造影剂的滞留)


右侧椎动脉造影证实V4段夹层动脉瘤
(可见内膜瓣/瘤内造影剂滞留)


3D造影:动脉瘤处有明显的凹陷,符合夹层内膜瓣表现;PICA从动脉瘤远端发出,动脉瘤大小约6.5×12.8mm,受累椎动脉直径约4.3mm,覆盖远近端达正常血管约需30mm支架长度。



手术过程:
选取工作角度清晰显示PICA开口与动脉瘤关系,路图引导下先输送Headway21支架微导管到位,然后将另一微导管置于动脉瘤腔内,填入首枚弹簧圈(泰杰,5-10-3D)几个环,经支架管送人LVIS支架(4.5-30mm);
采用“推灯笼”技术释放支架,一方面利用支架膨隆保护PICA开口,另一方面增加局部的金属覆盖率;释放支架后填入首枚弹簧圈,经动脉注射欣维宁6ml,然后以4ml/h泵入;
再填入两枚弹簧圈(泰杰,3.5-15-3D,3-10-3D),造影显示动脉瘤完全栓塞,载瘤动脉和PICA通畅,手术结束。


术后情况
围手术期管理:
●欣维宁4ml/h泵入,24小时后桥接阿司匹林100mg+波立维75mg/日;
●尼莫地平4ml/h持续泵入,2周后改为口服;
●连续多次腰穿,释放血性脑脊液;
●泮托拉唑抑制胃酸;
●肺部抗炎治疗,强化拍背吸痰等肺部护理;
●术后2天,意识清醒后拔除气管插管。
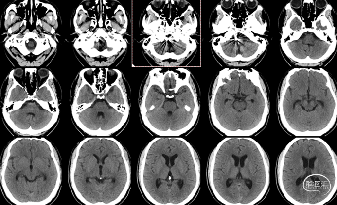
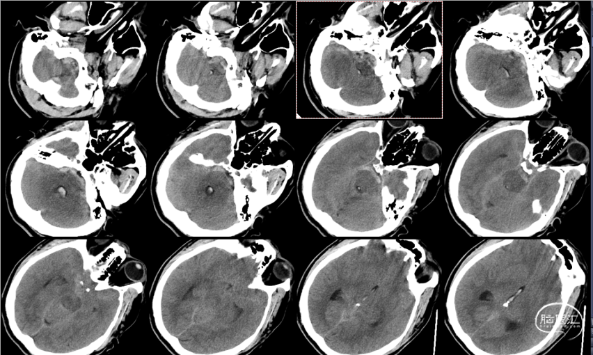
术后检查:次日CT
术后4天,肺部CT显示吸入性肺炎明显好转
术后14天,头颅CT示蛛网膜下腔出血完全吸收,头痛缓解,痊愈出院。
临床随访:
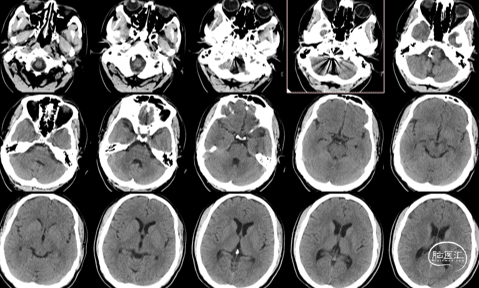
术后3个月门诊复查,恢复良好,无头痛及认知功能障碍,已恢复正常工作。头颅CT正常,无脑积水表现。MRA显示椎动脉血流通畅,无明显复发。
停用波立维和尼莫地平片,继续口服阿司匹林。
影像学检查
术后12个月复查DSA,右椎动脉术后改变,无复发。停用阿司匹林。

总结
●椎动脉V4段的破裂动脉瘤,急性期采用支架辅助弹簧圈栓塞较为合理;
●对于夹层动脉瘤,LVIS准密网支架有较高的金属覆盖率,可作为首选;
●可利用编织支架的“推灯笼”技术保护边支,同时提高金属覆盖率;
●对于夹层动脉瘤,支架外不需要致密填塞以防加重撕裂,利用弹簧圈的致栓作用促进夹层愈合;
●椎动脉瘤破裂出血常直接刺激或压迫脑干呼吸中枢,积极治疗仍可获得较好的预后;
●椎动脉夹层动脉瘤复发率较高,需定期随访,必要时补充治疗。

术者简介
郭辉
航天中心医院
航天中心医院神经外科副主任,脑血管病亚专业带头人,医学博士,主任医师
北京医学会神经介入学分会常务委员
北京医学会神经外科学分会颅底外科学组委员
中国医药教育协会医疗器械管理专业委员会神经外科学组常务委员
中国医疗保健国际交流促进会神经损伤学分会委员
北京大学医学部神经外科学学系委员
中国生命关怀协会远程医学专业委员会委员
北京对外医学交流协会神经外科专业委员会委员等
先后发表SCI及核心期刊论文20余篇,译著一部
持有国家发明专利一项

点击上方二维码
查看更多“介入”内容
声明:脑医汇旗下神外资讯、神介资讯、脑医咨询、Ai Brain 所发表内容之知识产权为脑医汇及主办方、原作者等相关权利人所有。
投稿邮箱:NAOYIHUI@163.com
未经许可,禁止进行转载、摘编、复制、裁切、录制等。经许可授权使用,亦须注明来源。欢迎转发、分享。
投稿/会议发布,请联系400-888-2526转3。